Перейти к содержанию
Стоматология для всех

Имплантация после тяжелой травмы, нужны советы


Павел7809

Рекомендуемые сообщения

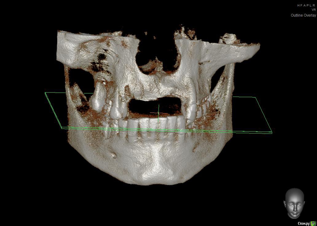
Собственно ситуация такая. Фронтальные зубы сверху были потеряны в результате серьезной травмы,  ! Фактически полное отсутствие костной ткани в области фронтальных зубов и по толщине и по высоте. Пациент ходит с чс протезом и хочет нечто несъемное.

  Интересует как лучше это сделать при таких объемных дефектах.  Мои мысли первым этапом сосидж, потом 4 импланта. Но как быть с временным протезированием?

 

post-39546-0-03145500-1516001941_thumb.jpg

post-39546-0-92897000-1516003193_thumb.jpg

post-39546-0-70288600-1516003194_thumb.jpg

post-39546-0-22314400-1516003195_thumb.jpg

post-39546-0-73200200-1516003195_thumb.jpg

post-39546-0-28152600-1516003196_thumb.jpg

post-39546-0-77722700-1516003196_thumb.jpg

post-39546-0-28897300-1516003197_thumb.jpg

post-39546-0-79685900-1516003197_thumb.jpg

post-39546-0-33145800-1516003198_thumb.jpg

Ссылка на комментарий

какой тут сосидж? Он для фронтального отдела не очень то годится.

Тут нужна вертикальная аугментация с каркасной мембраной.

Ссылка на комментарий

Для публикации сообщений создайте учётную запись или авторизуйтесь

Вы должны быть пользователем, чтобы оставить комментарий

Создать аккаунт

Зарегистрируйте новый аккаунт в нашем сообществе. Это очень просто!

Регистрация нового пользователя

Войти

Уже есть аккаунт? Войти в систему.

Войти
×
×
  • Создать...
Вверх