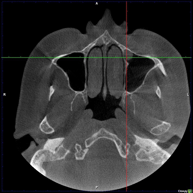
Aleksey_Mironov Опубликовано 11 января, 2018 Поделиться Опубликовано 11 января, 2018 здравствуйте коллеги!! вот такой сюрприз..хочу сделать синус лифтинг.. что за образование можеть быть? Ссылка на комментарий
Aleksey_Mironov Опубликовано 11 января, 2018 Автор Поделиться Опубликовано 11 января, 2018 здравствуйте коллеги!! вот такой сюрприз..хочу сделать синус лифтинг.. что за образование можеть быть? Ссылка на комментарий
Борис80 Опубликовано 11 января, 2018 Поделиться Опубликовано 11 января, 2018 Не совсем уверен, тк недостаточно срезов видно, но я бы сказал насморк или что-либо подобное(это по поводу тени) и , что значительно неприятнее, это костная перегородка на дне пазухи Ссылка на комментарий
колесников Опубликовано 11 января, 2018 Поделиться Опубликовано 11 января, 2018 (изменено) Может образоваться перфорация мембраны. Делайте 2 окна Изменено 11 января, 2018 пользователем колесников Ссылка на комментарий
Рекомендуемые сообщения
Для публикации сообщений создайте учётную запись или авторизуйтесь
Вы должны быть пользователем, чтобы оставить комментарий
Создать аккаунт
Зарегистрируйте новый аккаунт в нашем сообществе. Это очень просто!
Регистрация нового пользователяВойти
Уже есть аккаунт? Войти в систему.
Войти