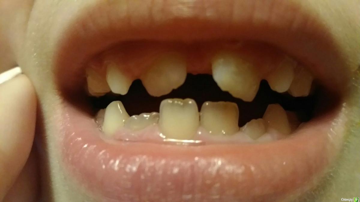
sahara17 Опубликовано 10 января, 2018 Поделиться Опубликовано 10 января, 2018 Добрый день, уважаемые доктора. Имеется ребенок 7 лет, в сентябре выпали верхние передние зубы. Отчетливо видно, что зубы идут неровно, под углом примерно 45гр, и по размерам явно не помещаются между двумя рядом стоящими молочными зубами. На нижней челюсти уже выросли два передних, изначально шли сзади молочного зуба, но после их удаления они встали ровно. По ширине поместились.Вопрос: надо ли предпринимать сейчас какие то меры по корректировке положения растущих зубов? какие? Какие? Уж больно сильный градус поворота зуба.Заранее спасибо за внимание! Ссылка на комментарий
сирена Опубликовано 10 января, 2018 Поделиться Опубликовано 10 января, 2018 Надо сделать рентген,возможно отсутствуют зачатки постоянных двоек.Это к ортодонту. Ссылка на комментарий
sahara17 Опубликовано 12 января, 2018 Автор Поделиться Опубликовано 12 января, 2018 Здравствуйте! Были у ортодонта, по рентгену все зачатки коренных зубов на месте. Сказали дистальный прикус. Врач внятно не объяснил схему лечения и прогноз, сказал только, что будем долго носить пластинку.Скажите пожалуйста, возможно ли исправить такие зубки только пластинкой или в дальнейшем понадобятся брекеты? Сколько срок службы одной пластинки?Большое спасибо! Ссылка на комментарий
red_butler Опубликовано 12 января, 2018 Поделиться Опубликовано 12 января, 2018 Здравствуйте! Были у ортодонта, по рентгену все зачатки коренных зубов на месте. Сказали дистальный прикус. Врач внятно не объяснил схему лечения и прогноз, сказал только, что будем долго носить пластинку.Скажите пожалуйста, возможно ли исправить такие зубки только пластинкой или в дальнейшем понадобятся брекеты? Сколько срок службы одной пластинки?Большое спасибо!http://forum.stom.ru/topic/4655-patcientam/ Ссылка на комментарий
St. Опубликовано 12 января, 2018 Поделиться Опубликовано 12 января, 2018 Покажите рентген снимок который делали, так вероятность получения ответов на вопросы будет существенно выше Ссылка на комментарий
sahara17 Опубликовано 15 января, 2018 Автор Поделиться Опубликовано 15 января, 2018 Здравствуйте! Старалась, как могла! Ссылка на комментарий
Brigita Опубликовано 15 января, 2018 Поделиться Опубликовано 15 января, 2018 Все зачатки постоянных зубов на местеТребуется ортодонтисеское лечение начинать уже сейчас. Настраивайтесь на долгое ношение пластинки. Ссылка на комментарий
sahara17 Опубликовано 16 января, 2018 Автор Поделиться Опубликовано 16 января, 2018 Все зачатки постоянных зубов на местеТребуется ортодонтисеское лечение начинать уже сейчас. Настраивайтесь на долгое ношение пластинки. Да, мне тоже самое сказал очный ортодонт. Но я бы еще хотела спросить:1. каков срок ношения одной пластинки, как часто их нужно заменять (все дело в стоимости, брать ли мне платную или по омс). Долгое ношение пластинки, это сколько? Несколько лет?2. Насколько вероятно, что после 12ти лет придется одевать еще и брекеты?3. Действительно ли у ребенка дистальный прикус и легкое недоразвитие нижней челюсти? Я шла к врачу только с проблемой неровных передних зубов4. Можно ли снимать пластинку во время еды или на ночь? Заранее спасибо за ответы! Ссылка на комментарий
Brigita Опубликовано 16 января, 2018 Поделиться Опубликовано 16 января, 2018 (изменено) 1. Срок службы пластинки (при условии постоянного ношения) 6-8мес. Затем ее меняют на следующую.2. Вполне вероятно. Но раннее ортодонтическое лечение избавит вас от многих ньюансов в лечении на брекетах, так как они многого не смогут сделать. Плюс в более позднем возрастном периоде некоторых вещей добиться будет уже невозможно.3. Визуально, похоже, что да. Но точно это можно сказать после специальных расчетов.4. Нет. В пластинке нужно находится постоянно. Изменено 16 января, 2018 пользователем Brigita Ссылка на комментарий
sahara17 Опубликовано 16 января, 2018 Автор Поделиться Опубликовано 16 января, 2018 Большое спасибо! Все поняла! Ссылка на комментарий
Рекомендуемые сообщения
Для публикации сообщений создайте учётную запись или авторизуйтесь
Вы должны быть пользователем, чтобы оставить комментарий
Создать аккаунт
Зарегистрируйте новый аккаунт в нашем сообществе. Это очень просто!
Регистрация нового пользователяВойти
Уже есть аккаунт? Войти в систему.
Войти