Irina_S Опубликовано 6 января, 2018 Поделиться Опубликовано 6 января, 2018 Здравствуйте, уважаемые спеицалисты! С наступившим вас Новым годом!!! В конце августа были установлены три имплантата Xive - 36, 46, 47. Одновременно с установкой выпиливалась кость и прикручивалась винтиками в те места, где по мнению хирурга её не хватало. В середине октября сквозь десну с язычной стороны стали просматриваться верхушки имплантатов 36 и 46. Во время периодических осмотров врач говорил, что всё в порядке.В декабре пришло время установки формирователей десны. Установивший имплантаты хирург стал работать в другой клинике. Он пригласил на осмотр, сказал, что надо будет добавить десну в области 36 и 46, взяв кусочки с нёба, а с самими имплантатами всё хорошо, можно одновременно с пластикой десны ставить формирователи и через 2-3 недели отправляться к ортопеду.Следуя логике сохранения гарантии на установку имплантатов, которую даёт не врач, а клиника, я пошла к другому хирургу в ту клинику, где устанавливались имплантаты. Он посмотрел на выступающие верзушки имплантатов, причём 36 успел к этому времени уже прорвать десну. Посмотрел КТ и сказал, что предварительно видит проблемы и помимо пластики десны может понадобиться переустановка имплантатов. Самый проблемный, по его мнению, 46, а 36 - под вопросом. Сказал, что окончательное решение можно будет принять только после разрезания десны, чтобы увидеть фактическую ситуацию. Причём переустановка - по гарантии, и она будет делаться сразу - выкручивается старый имплантат и ставится новый, тоньше (3,8мм вместо 4,5мм) и длиннее. Соответственно, в этом случае снова ждать 3-4 месяца, и только после этого ставить формирователи. Присутствовавший на консультации ортопед был полностью с ним согласен и сказал, что на имплантаты в таком состоянии, как он их видит на КТ, он коронки ставить не будет. Аргументировалось тем, что кости в принципе достаточно, но имплантаты надо было устанавливать глубже, а так, как сейчас, они протянут максимум 3-4 года, а потом расшатаются и выпадут. Клиника даёт гарантию 10 лет, поэтому они считают, что нужно хорошо установить изначально.На месяц раньше ставились имплантаты в верхнюю челюсть, с ними всё хорошо. Но, рассматривая проекции КТ, я вижу обширные тёмные области в районе всех имплантатов как дефект засветки при формировании КТ. В связи с чем вопрос: может ли картина на КТ с отсутствием видимой костной ткани происходить из-за самого оборудования, на котором делается КТ, и не совсем соответствовать действительности? Иначе, есть ли шанс, что при вскрытии десны окажется, что с расположением импллантатов всё в порядке (как и уверяет "сбежавший" их этой клиники хирург), а альтернативное мнение связано в некотором роде с желанием опозорить уволившегося сотрудника и удержать пациента у себя, ведь потом предстоит большая ортопедическая работа? И ещё один вопрос: чего мог категорически не принимать ортопед, говоря, что в подобных случаях он всегда отправляет к хирургу, если заведомо было известно, что недостающая десна в любом случае будет наращиваться?С имплантатом 47 ситуация, вроде бы, не такая критическая. Это на самом деле так? Ссылка на комментарий
Irina_S Опубликовано 6 января, 2018 Автор Поделиться Опубликовано 6 января, 2018 Дополнительно - как это выглядит снаружи в динамике с октября по сегодняшний день: https://fotki.yandex.ru/next/users/alex-sun/album/1489613/view/1789522https://fotki.yandex.ru/next/users/alex-sun/album/1489613/view/1789523https://fotki.yandex.ru/next/users/alex-sun/album/1489613/view/1789524https://fotki.yandex.ru/next/users/alex-sun/album/1489613/view/1789525https://fotki.yandex.ru/next/users/alex-sun/album/1489613/view/1789526https://fotki.yandex.ru/next/users/alex-sun/album/1489613/view/1789527https://fotki.yandex.ru/next/users/alex-sun/album/1489613/view/1789528https://fotki.yandex.ru/next/users/alex-sun/album/1489613/view/1789529 Ссылка на комментарий
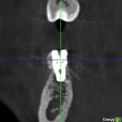
колесников Опубликовано 6 января, 2018 Поделиться Опубликовано 6 января, 2018 С десной однозначно предстоит поработать. Импланты расположены несколько язычно,что может быть проблематично. Ссылка на комментарий
Irina_S Опубликовано 6 января, 2018 Автор Поделиться Опубликовано 6 января, 2018 С десной однозначно предстоит поработать. Импланты расположены несколько язычно,что может быть проблематично. Про пластику десны говорят все. В этом разногласий нет. А про наличие или отсутствие необходимости переустановки имплантов что-то сказать можете? Ссылка на комментарий
колесников Опубликовано 6 января, 2018 Поделиться Опубликовано 6 января, 2018 Сколько врачей,столько и клинических подходов. Я бы переустановил нижние импланты заменив ксайв на Штрауман тл, плюс увеличил объём мягких тканей по гребню.Это ,как говорится ,обойтись малой кровью с благоприятным прогнозом. Если оставлять этот ксайв,то только пластики десны не достаточно,придётся перекрывать их костным материалом с мембраной и позднее Увеличить объём мягких тканей. Все бы ничего,но меня смущает язычное положение платформ имплантов и их уровень относительно соседних зубов. Это лично моё мнение,оно может отличаться от мнений коллег. Ссылка на комментарий
Irina_S Опубликовано 7 января, 2018 Автор Поделиться Опубликовано 7 января, 2018 заменив ксайв на Штрауман тл, Спасибо за подробное объяснение!Именно ксайв и именно такого размера были, по мнению имплантолога, наиболее подходящим для меня вариантом. Теперь на место 46 по гарантии планируют менять на анкилос, про остальные пока не знаю. Принципиален ли выбор системы имплантов по отношению к конкретному месту установки или по соответствию имеющемуся строению челюсти?Если предполагать, что изначально всё было установлено хорошо, но в процессе приживления положение изменилось из-за рассасывания костной ткани с язычной стороны или из-за давления прикреплённых костных блоков, то возможно ли повторение подобной ситуации?Предстоит снова 3-4 месяца ожидания, и то только потому, что планируют замену сразу же после извлечения. Но крайне не хочется услышать потом снова о каких-то проблемах. Говорят, что нужно углубить на 1-2 мм. Вы это имели в виду, когда писали про уровень относительно соседних зубов? Правда, соседние там далеко не идеальны по расположению и будут подгоняться ортопедом под прикус и под коронки на имплантах. Действительно ли надо ориентироваться их текущее состояние? Ссылка на комментарий
колесников Опубликовано 7 января, 2018 Поделиться Опубликовано 7 января, 2018 Анкилос отличный имплант,в прямом и переносном. Надо соблюсти ряд условий ,линейка размеров несколько ограничена,а заглубить желательно мм на 3,пройдёт ли вашем случае анкилос надо просчитать и как будут выглядеть коронки тоже вопрос. Штрауман тл имеет полированную шейку и может располагаться в мягких тканях ,другими словами его заглублять не надо в ваших ограниченных условиях и платформа будет максимально приближена к естественному уровню. Ссылка на комментарий
Irina_S Опубликовано 7 января, 2018 Автор Поделиться Опубликовано 7 января, 2018 Штрауман тл имеет полированную шейку и может располагаться в мягких тканях ,другими словами его заглублять не надо в ваших ограниченных условиях и платформа будет максимально приближена к естественному уровню. Раз уж всё равно будут в те же места по-новому переустанавливать, то воспользоваться уникальными свойствами имплантов штрауман точно не получится, выбираю не я. Но чисто теоретически - эти импланты как-то по-другому действовали бы на костную ткань с язычной стороны? Можно ли считать текущий результат выбором неподходящих имплантов? Ссылка на комментарий
Борис80 Опубликовано 7 января, 2018 Поделиться Опубликовано 7 января, 2018 Раз уж всё равно будут в те же места по-новому переустанавливать, то воспользоваться уникальными свойствами имплантов штрауман точно не получится, выбираю не я. Но чисто теоретически - эти импланты как-то по-другому действовали бы на костную ткань с язычной стороны? Можно ли считать текущий результат выбором неподходящих имплантов?Возьму на себя смелость ответить за коллегу. Нет, импланты другого производителя не действовали на кость бы по-другому. У Вас прекрасные импланты применены. Ссылка на комментарий
Irina_S Опубликовано 7 января, 2018 Автор Поделиться Опубликовано 7 января, 2018 Возьму на себя смелость ответить за коллегу. Нет, импланты другого производителя не действовали на кость бы по-другому. У Вас прекрасные импланты применены. Выходит, что эти прекрасные импланты были просто неправильно установлены врачом? Ссылка на комментарий
колесников Опубликовано 7 января, 2018 Поделиться Опубликовано 7 января, 2018 Не совсем так. Была совмещена костная пластика и имплантация,объема кости в итоге оказалось меньше чем планировалось получить. Ксайв хороший имплант,но должен быть окружён и погружён в достаточный объём костной ткани (тоже самое могло произойти и анкилос). Обычно этот момент обговариваемся заранее,что если кости будет в итоге мало,добавится ещё. Ваш хирург ушёл из клиники и новая команда решила пойти по более простому пути-переустановить имплант. Случай вполне распространённый. От вас не отказались,действуют гарантийные обязательства,имплант анкилос очень благодарная система. Рекомендую применить цифровое планирование и хирургический шаблон. Если на этапе планирования вам все станет понятно и понравится предполагаемый результатах-отбросьте сомнения. Ссылка на комментарий
Irina_S Опубликовано 8 января, 2018 Автор Поделиться Опубликовано 8 января, 2018 новая команда решила пойти по более простому пути То есть существует более сложный и более правильный путь? Наращивание костной ткани вокруг установленных имплантов? Ссылка на комментарий
колесников Опубликовано 8 января, 2018 Поделиться Опубликовано 8 января, 2018 Все пути правильные,т.к. итог один-дефект замещённый конструкцией на импланте. Ссылка на комментарий
Bier Опубликовано 9 января, 2018 Поделиться Опубликовано 9 января, 2018 я бы скорее всего кость не наращивал, а обошелся пластикой десны. Ссылка на комментарий
Irina_S Опубликовано 9 января, 2018 Автор Поделиться Опубликовано 9 января, 2018 я бы скорее всего кость не наращивал, а обошелся пластикой десны. Спасибо за ответ! Имплантаты при этом обязательно переустанавливать? Ссылка на комментарий
red_butler Опубликовано 9 января, 2018 Поделиться Опубликовано 9 января, 2018 Спасибо за ответ! Имплантаты при этом обязательно переустанавливать?нет, пластика делается на те что уже стоят Ссылка на комментарий
Irina_S Опубликовано 9 января, 2018 Автор Поделиться Опубликовано 9 января, 2018 нет, пластика делается на те что уже стоят Спасибо! То есть, получается, что кости с язычной стороны везде достаточно и отказ ортопеда перенимать эстафету и заниматься своей частью можно назвать капризом без всяких оснований? Ссылка на комментарий
red_butler Опубликовано 9 января, 2018 Поделиться Опубликовано 9 января, 2018 Спасибо! То есть, получается, что кости с язычной стороны везде достаточно и отказ ортопеда перенимать эстафету и заниматься своей частью можно назвать капризом без всяких оснований?Мы видим только часть клинической картины... Ссылка на комментарий
Irina_S Опубликовано 9 января, 2018 Автор Поделиться Опубликовано 9 января, 2018 Мы видим только часть клинической картины... Я правильно понимаю, что при виде всей клинической картины у ортопеда могло возникнуть основание считать пластику десны недостаточной и настаивать помимо неё на замене как минимум двух имплантатов на более тонкие и длинные с установкой их на 2-3мм глубже? Ссылка на комментарий
Irina_S Опубликовано 12 января, 2018 Автор Поделиться Опубликовано 12 января, 2018 Сегодня узнала у лечащего хирурга, что даже в случае замены плохо установленного имплантата на более углублённый новый в это же посещение на него сразу же будет установлен формирователь десны с закреплением на нём так называемомго "шашлычка" в виде трансплантата для десны. То что прижиться этот кусочек должен за три недели, как раз пока будет стоять формирователь, это понятно. Но вот потом планируют сразу ставить временные коронки везде, в том числе и на переустановленные имплантаты. А как же 3-4 месяца приживления? На каком этапе должно проверяться это самое приживление? И получается, что я буду задевать временную коронку и невольно раскачивать имплантат - это нормально? Ссылка на комментарий
Irouil Опубликовано 12 января, 2018 Поделиться Опубликовано 12 января, 2018 Интересно, почему эти вопросы Вы не задали Вашему лечащему врачу? Судя по Вашему описанию Вам грамотный специалист предлагает качественное лечение, уверен что ему по силу развеять Ваши сомнения. Временные коронки обычно выводятся из прикуса, таким образом исключается их полноценная нагрузка. При установке имплантатов достигается определенная механическая стабильность их положения в кости, которая должна составлять запас прочности на время "приживления". Есть значения этого самого запаса, от которого следует отталкиваться при принятии решения об установке временных протезов. Таким образом отрицательное влияние протезов на заживление раны практически не оказывается. Установка временных коронок положительно скажется на сроке службы имплантатов. Так как пользоваться имплантатами Вам годы и десятилетия, а ждать заживления (или реимплантации в случае неудачи) месяцы, я бы расставил приоритеты в пользу долгосрочных перспектив. Ссылка на комментарий
Irina_S Опубликовано 12 января, 2018 Автор Поделиться Опубликовано 12 января, 2018 Интересно, почему эти вопросы Вы не задали Вашему лечащему врачу? Задавала. Но Вы же, наверно, представляете, что я слышала в ответ? "Всё будет хорошо", "так надо", "это расскажет ортопед" и т.д.Вам спасибо за объяснения! Только всё равно не понимаю, а зачем я тогда вообще ждала 4 месяца, если формирователи, а потом временные коронки можно было установить почти сразу. Ссылка на комментарий
Irouil Опубликовано 12 января, 2018 Поделиться Опубликовано 12 января, 2018 Задавала. Но Вы же, наверно, представляете, что я слышала в ответ? "Всё будет хорошо", "так надо", "это расскажет ортопед" и т.д.Вам спасибо за объяснения! Только всё равно не понимаю, а зачем я тогда вообще ждала 4 месяца, если формирователи, а потом временные коронки можно было установить почти сразу.Насколько я понял, Вам одновременно с имплантацией проводили костную пластику, чаще всего ее совместить с раскрытием имплантатов невозможно. В таких ситуациях очень важна герметичность, а формирователь десны (и временная коронка) ее нарушают, кроме того стабильность (иммобилизация) раны при костной пластике влияет на заживление в разы сильнее. Ссылка на комментарий
Irina_S Опубликовано 13 января, 2018 Автор Поделиться Опубликовано 13 января, 2018 Вам одновременно с имплантацией проводили костную пластику А если планируется замена одного имплантата другим - это не препятствие для установки формирователя сразу?А ещё подскажите, пожалуйства, может ли при извлечении старого имплантата ухудшиться состояние или уменьшиться количество кости? Ссылка на комментарий
Irina_S Опубликовано 13 января, 2018 Автор Поделиться Опубликовано 13 января, 2018 И из всего написанного по моей теме я так и не поняла ещё один важный момент.Хирург, который видит и меня, и КТ неоднократно упоминает про вероятность переустановки одного или даже нескольких имплантатов. Но при этом уточняет, что это будет понятно только при вскрытии десны.Что же он видит такое, что даёт основание сомневаться в качестве установки имплантатов?И что же он не видит для того, чтобы иметь однозначное представление о ситуации до разрезания десны?Он будет руководствоваться торком или чем-то ещё? Ссылка на комментарий
Рекомендуемые сообщения
Для публикации сообщений создайте учётную запись или авторизуйтесь
Вы должны быть пользователем, чтобы оставить комментарий
Создать аккаунт
Зарегистрируйте новый аккаунт в нашем сообществе. Это очень просто!
Регистрация нового пользователяВойти
Уже есть аккаунт? Войти в систему.
Войти