alin8888 Опубликовано 5 января, 2018 Поделиться Опубликовано 5 января, 2018 Здравствуйте, у ребенка 2 января заболела щека, мы поехали в стоматологию. Сделали снимок, сказали ничего страшного нет, пульпит на 4 Верху т.е. 54 зуб. Так же была припухлость. Утром ребенок встал с опухолей щекой, мы поехали в другую стоматологическую больницу, сказали периодонтит, но вроде не значительный, в рекомендации написали полоскать и т.д., но обязательно лечить, а лучше вырвать, так как уже воспаление есть. Отправили нас в следующую больницу, там подтвердили хронический периодонтит, сказав что такие зубы молочные не лечат, так как уже затронуть костная ткань и т.д. НАМ ВЫРВАЛИ, но как оказалось остался корень, в итоге успокоили, сказав что все вытолкнет новый зуб. Я в ужасе, мама говорит что можно было вылечить. Нам 6 лет, девочка рослая 132 см. Может зуб 4 и вырастет раньше, но не через пол года же, прикус теперь меняться будет, почему все врачи не хотели лечить. Объясните пожалуйста. В этом больном зубе один корешок уже рассосался. Ссылка на комментарий
Brigita Опубликовано 6 января, 2018 Поделиться Опубликовано 6 января, 2018 Что объяснить? Мы ситуацию только с Ваших слов видим. Давайте снимки до и после, тогда уже будем понимать о чём идёт речь.Для того, чтобы не было смещения зубов на место удаленного, обратитесь к ортодонту, профилактические конструкции легко переносятся детьми. Ссылка на комментарий
сирена Опубликовано 6 января, 2018 Поделиться Опубликовано 6 января, 2018 По описанию - периодонтит в обострении,удаляется однозначно.Дальше, согласна с Brigita,к ортодонту.Корень оставили,ничего страшного,вылезет через пару месяцев,наблюдайте.Доставать его в обострении травматично для ребёнка. Ссылка на комментарий
red_butler Опубликовано 6 января, 2018 Поделиться Опубликовано 6 января, 2018 http://forum.stom.ru/topic/20613-sovety-patcientam-obiazatelno-k-prochteniiu/ Ссылка на комментарий
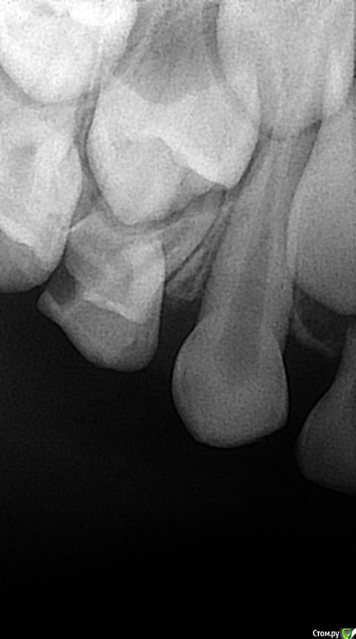
alin8888 Опубликовано 6 января, 2018 Автор Поделиться Опубликовано 6 января, 2018 Что объяснить?Мы ситуацию только с Ваших слов видим. Давайте снимки до и после, тогда уже будем понимать о чём идёт речь.Для того, чтобы не было смещения зубов на место удаленного, обратитесь к ортодонту, профилактические конструкции легко переносятся детьми.снимки есть, один сделан до удаления, другой после.Какой до, какой после не понимаю. Но мне еще раз сегодня сказали, что если уже пошло восполнение,которое проявилось в виде опухшей щеки ,восполненных десен- удаление . Ссылка на комментарий
alin8888 Опубликовано 6 января, 2018 Автор Поделиться Опубликовано 6 января, 2018 (изменено) второй снимок Изменено 6 января, 2018 пользователем alin8888 Ссылка на комментарий
alin8888 Опубликовано 7 января, 2018 Автор Поделиться Опубликовано 7 января, 2018 хотелось бы получить ответ из данных снимков.спасибо Ссылка на комментарий
сирена Опубликовано 7 января, 2018 Поделиться Опубликовано 7 января, 2018 Вам же дали ответ:мезиальный корень остался,со временем "выползет" на поверхность,можно будет его атравматично удалить.Если другие врачи не пишут,значит добавить нечего.У нас ответы на вопросы пациентов - дело добровольное. 1 Ссылка на комментарий
alin8888 Опубликовано 7 января, 2018 Автор Поделиться Опубликовано 7 января, 2018 насчет корня понятно. По снимкам действительно, только удаление? Отправила снимки,чтобы не было только с моих слов... Ссылка на комментарий
Brigita Опубликовано 7 января, 2018 Поделиться Опубликовано 7 января, 2018 Да, только удаление. Врач сделал все верно. 2 Ссылка на комментарий
alin8888 Опубликовано 8 января, 2018 Автор Поделиться Опубликовано 8 января, 2018 спасибо большое за ответы ! Ссылка на комментарий
Рекомендуемые сообщения
Для публикации сообщений создайте учётную запись или авторизуйтесь
Вы должны быть пользователем, чтобы оставить комментарий
Создать аккаунт
Зарегистрируйте новый аккаунт в нашем сообществе. Это очень просто!
Регистрация нового пользователяВойти
Уже есть аккаунт? Войти в систему.
Войти