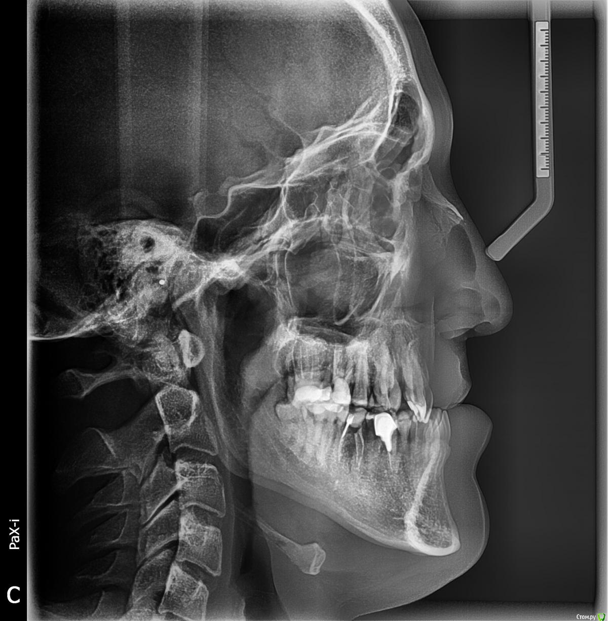
pickuper Опубликовано 5 января, 2018 Поделиться Опубликовано 5 января, 2018 Узкая ВЧ, в детстве стояла специальная пластинка для расширения челюсти, значительного результата это не дало. Потом в силу разных причин лечение забросил.Сейчас 25 лет, поставлен диагноз - верхняя ретромикрогнатия, нижняя прогнатия. Челюстно лицевой хирург, совместно с ортодонтом предлагают следующий план лечения.1) лечение у ортодонта, установка брекетов на верхнею и нижнею челюсть2) горизонтальная дистракция ВЧ3) фронтальная дистракция ВЧ по ФОР 1 или 24) операция Дель Понта на НЧ Ссылка на комментарий
pickuper Опубликовано 5 января, 2018 Автор Поделиться Опубликовано 5 января, 2018 Правильно ли составлен план лечения? И так ли необходима дистракция во фронтальной плоскости, и что еще более интересует для чего нужна операция на нижней челюсти? Ссылка на комментарий
red_butler Опубликовано 5 января, 2018 Поделиться Опубликовано 5 января, 2018 http://forum.stom.ru/topic/4655-patcientam/ Ссылка на комментарий
Brigita Опубликовано 6 января, 2018 Поделиться Опубликовано 6 января, 2018 План составлен верно. Как правило операция на верхней челюсти одномоментно проводится, одна, это и ле-фор и дистракция, может что то не так поняли. Ссылка на комментарий
Brigita Опубликовано 6 января, 2018 Поделиться Опубликовано 6 января, 2018 План составлен верно. Как правило операция на верхней челюсти одномоментно проводится, одна, это и ле-фор и дистракция, может что то не так поняли.Согласно поставленному диагнозу и трг.А что не понятно с нижней челюстью? Ссылка на комментарий
Рекомендуемые сообщения
Для публикации сообщений создайте учётную запись или авторизуйтесь
Вы должны быть пользователем, чтобы оставить комментарий
Создать аккаунт
Зарегистрируйте новый аккаунт в нашем сообществе. Это очень просто!
Регистрация нового пользователяВойти
Уже есть аккаунт? Войти в систему.
Войти