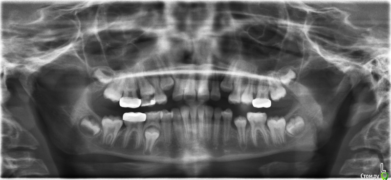
Винкс Опубликовано 22 декабря, 2017 Поделиться Опубликовано 22 декабря, 2017 Ребенок 11 лет, надо ли ждать прорезывания клыков или уже бежать к доктору. Ссылка на комментарий
Рекомендуемые сообщения
Для публикации сообщений создайте учётную запись или авторизуйтесь
Вы должны быть пользователем, чтобы оставить комментарий
Создать аккаунт
Зарегистрируйте новый аккаунт в нашем сообществе. Это очень просто!
Регистрация нового пользователяВойти
Уже есть аккаунт? Войти в систему.
Войти