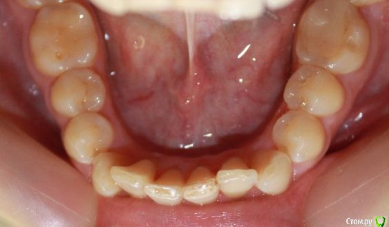
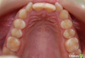
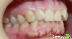
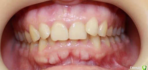
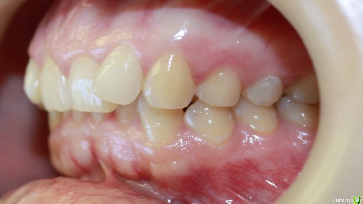
kapyulia Опубликовано 22 декабря, 2017 Поделиться Опубликовано 22 декабря, 2017 Добрый день! Могли бы Вы подсказать есть ли необходимость в удалении зубов (пятерки) с верхней челюсти? Спасибо за помощь. Ссылка на комментарий
Brigita Опубликовано 24 декабря, 2017 Поделиться Опубликовано 24 декабря, 2017 Сложно сказать без очного осмотра, по фото показаний нет. Ссылка на комментарий
Рекомендуемые сообщения
Для публикации сообщений создайте учётную запись или авторизуйтесь
Вы должны быть пользователем, чтобы оставить комментарий
Создать аккаунт
Зарегистрируйте новый аккаунт в нашем сообществе. Это очень просто!
Регистрация нового пользователяВойти
Уже есть аккаунт? Войти в систему.
Войти