Fatality Опубликовано 20 декабря, 2017 Поделиться Опубликовано 20 декабря, 2017 Здравствуйте! Помогите, пожалуйста. Обратилась с жалобой на периодическую боль при накусывании 4.7 зуба. Зуб 13.12.17 депульпировали, заложили лекарство под временную пломбу. В этот же день сразу поднялась 37,2, лихорадочное состояние, задняя стенка зуба болела, при перкуссии боль усиливалась. 19.12.17 было принято решение повторно вскрыть зуб, удалили лекарство, при проверке каналов на апекслокаторе в одном из каналов была резкая боль. Сказали, что воспаление не проходит, заложили каласепт и отправили домой.Лихорадочное состояние усилилось, температура так и держится 37,2, зуб все еще болит. Подскажите, нормальная ли это реакция организма на воспаление в зубе?Стоматолог утверждает, что температура и лихорадка не связаны с зубом, но у меня нет признаков ОРЗ и началось это сразу как только первый раз вскрыли зуб. Единственное, что сказал - если боль не пройдет зуб нужно будет открывать и оставлять на какое-то время открытым, а потом опять закладывать лекарство в каналы. Ссылка на комментарий
Marika Опубликовано 21 декабря, 2017 Поделиться Опубликовано 21 декабря, 2017 Добрый вечер! Такая температура может быть, но это не показание оставлять зуб открытым. Открыть, всё заново промыть, закрыть с лекарством. Ваш доктор также решает вопрос о назначении НПВС. 1 Ссылка на комментарий
Fatality Опубликовано 22 декабря, 2017 Автор Поделиться Опубликовано 22 декабря, 2017 Ваш доктор также решает вопрос о назначении НПВС. Пила 5 дней Кетонал 150мг Ссылка на комментарий
Marika Опубликовано 22 декабря, 2017 Поделиться Опубликовано 22 декабря, 2017 Пила 5 дней Кетонал 150мгНадо домывать каналы. 1 Ссылка на комментарий
Fatality Опубликовано 22 декабря, 2017 Автор Поделиться Опубликовано 22 декабря, 2017 Надо домывать каналы. В третий раз еще пройтись? Прогнозы по поводу постоянной пломбировки мне не дали, сказали только - ждите. Сейчас боль притупилась по сравнению с первым разом, но после 2й промывки и закладки Каласепта неприятные ощущения сохраняются при сильном надавливании на зуб. А стоит ли менять лекарство? Врач на втором приеме сомневался насчет выбора лекарства, хотел изначально положить Метапекс, но решил, что соединение с йодом весьма агрессивно и остановил свой выбор на Каласепте. Ссылка на комментарий
Marika Опубликовано 23 декабря, 2017 Поделиться Опубликовано 23 декабря, 2017 Вы изначально обратились с жалобой на боль при надкусывании, соответствии но ткани, окружающие зуб уже были повреждены. Либо немного подождать, либо кальций снова, он работает не бесконечное количество времени. 1 Ссылка на комментарий
Fatality Опубликовано 24 декабря, 2017 Автор Поделиться Опубликовано 24 декабря, 2017 Вы изначально обратились с жалобой на боль при надкусывании, соответствии но ткани, окружающие зуб уже были повреждены. Либо немного подождать, либо кальций снова, он работает не бесконечное количество времени.Большое спасибо за советы! Ссылка на комментарий
Marika Опубликовано 24 декабря, 2017 Поделиться Опубликовано 24 декабря, 2017 Пожалуйста, надеюсь Вам станет получше в ближайшее время! 2 Ссылка на комментарий
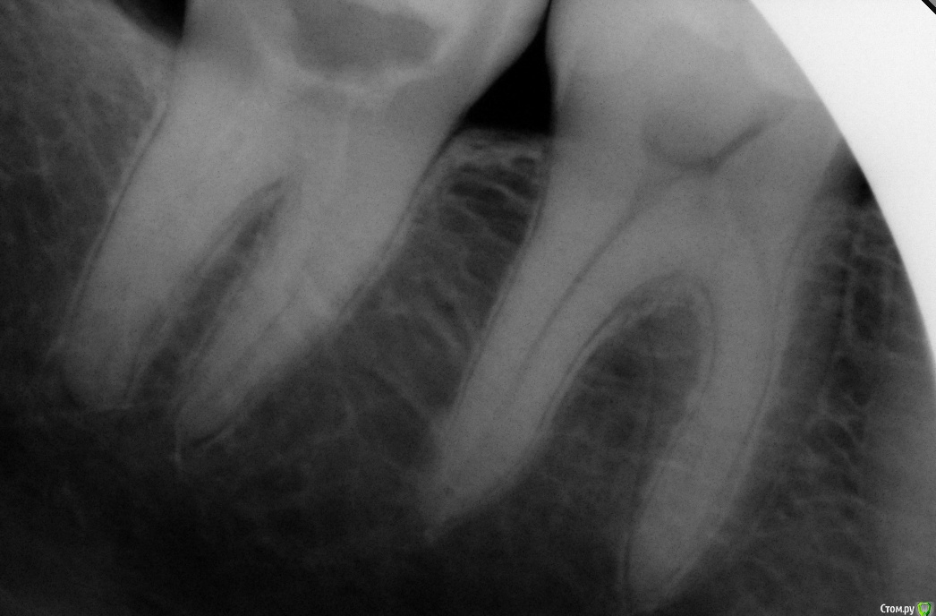
Fatality Опубликовано 7 января, 2018 Автор Поделиться Опубликовано 7 января, 2018 Уважаемые врачи, ищу вашей помощи! У меня нет никаких улучшений со стороны зуба - болит при накусывании, болят стенки при постукивании по ним. Каналы чистили и мыли 4 раза два разных специалиста.13 и 19 декабря после промывки закладывали Каласепт,4 января вскрыли зуб, прочистили и заложили хлоргексидин гель (была нарушена герметичность временной пломбы и врач решил, что в зубе могли начать размножаться грибы Кандида),6 января убрали хлоргексидин и снова положили Каласепт. Мне делали 2 снимка на протяжении лечения, но комментариев по поводу ситуации никто толком не дает. Единственное, сказали, что в коронке зуба появилась трещина, но не знают, дошла ли она до корня. Последний врач сказал, что если воспаление и болевые ощущения не будут проходить, то зуб придется удалить. Я не знаю как нужно поступить в данной ситуации - если нет улучшения в ходе лечения и зуб удалить, либо стоит бороться за зуб и продолжать с периодичностью раз в две недели закладывать лекарство до улучшения ситуации? Пожалуйста, расшифруйте снимки - у меня ощущение, что около корня увеличилось затемнение. Ссылка на комментарий
dok1 Опубликовано 8 января, 2018 Поделиться Опубликовано 8 января, 2018 У вас неполная механическая обработка каналов. Соответственно страдает антисептическая обработка и полнота заполнения временным материалом. Ищите специалиста, который "пройдёт" каналы полностью. Ссылка на комментарий
Рекомендуемые сообщения
Для публикации сообщений создайте учётную запись или авторизуйтесь
Вы должны быть пользователем, чтобы оставить комментарий
Создать аккаунт
Зарегистрируйте новый аккаунт в нашем сообществе. Это очень просто!
Регистрация нового пользователяВойти
Уже есть аккаунт? Войти в систему.
Войти