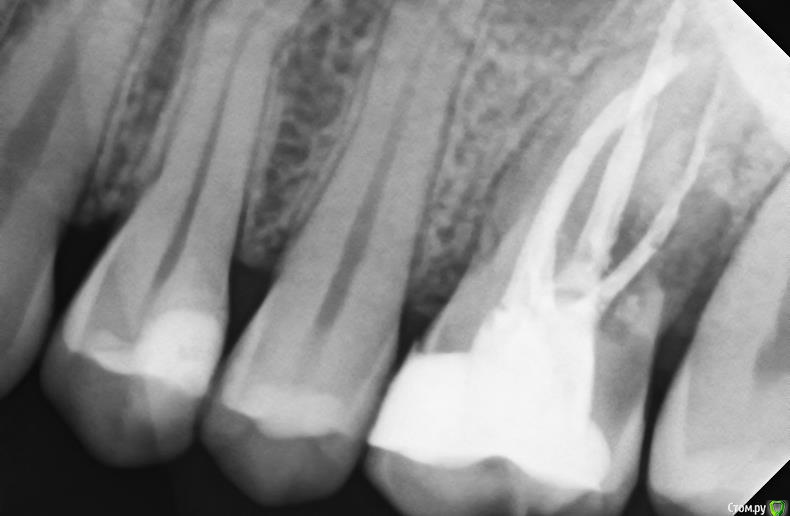
sole13 Опубликовано 18 декабря, 2017 Поделиться Опубликовано 18 декабря, 2017 Уважаемые врачи,посмотрите, пожалуйста, снимок зуба Очень хочется сохранить зуб 7 лет назад 26 зуб -удалили нервы, залечили зуб 2 года назад сильные нарастающие боли и несколько врачей сказали что зуб не подлежит восстановлению, т к воспаление на уровне кости (?), пропила антибиотики, один врач взялся без гарантии перелечивать каналы: 2 перелечил, а при прохождении третьего пошла кровь и он сказал, что корень был препарирован при удалении нервов ранее=> поэтому ситуация с воспалением, месяца 3-4 я проходила с пастой на основе кальция(?) зуб не болел, потом запломбировали на протяжении этих 2 лет при простывании 2 раза в год болит зуб, иногда пью антибиотики иногда сам прорывает гной через десну и боль проходит. 1. реально ли сохранить такой зуб? как?2. темное на снимке - это разреженная кость ( идет на убыль из-за воспаления)? можно ли как-то удалить воспаленные ткани и восстановить кость за счет искусственного материала?3. не могу понять по фотографиям 2015 и 2017 годов: есть ли положительная динамика? спасибо!2017 год 2015 год Ссылка на комментарий
red_butler Опубликовано 19 декабря, 2017 Поделиться Опубликовано 19 декабря, 2017 Удалять Ссылка на комментарий
sole13 Опубликовано 19 декабря, 2017 Автор Поделиться Опубликовано 19 декабря, 2017 какие варианты сохранения все-таки есть? Ссылка на комментарий
red_butler Опубликовано 19 декабря, 2017 Поделиться Опубликовано 19 декабря, 2017 какие варианты сохранения все-таки есть? Удалять ??? Ссылка на комментарий
sole13 Опубликовано 19 декабря, 2017 Автор Поделиться Опубликовано 19 декабря, 2017 я спрашивала не про удалить а как спасти Ссылка на комментарий
red_butler Опубликовано 19 декабря, 2017 Поделиться Опубликовано 19 декабря, 2017 я спрашивала не про удалить а как спастиЗуб спасти нельзя Ссылка на комментарий
sole13 Опубликовано 18 января, 2018 Автор Поделиться Опубликовано 18 января, 2018 да, решилась на удаление и имплант Ссылка на комментарий
Рекомендуемые сообщения
Для публикации сообщений создайте учётную запись или авторизуйтесь
Вы должны быть пользователем, чтобы оставить комментарий
Создать аккаунт
Зарегистрируйте новый аккаунт в нашем сообществе. Это очень просто!
Регистрация нового пользователяВойти
Уже есть аккаунт? Войти в систему.
Войти