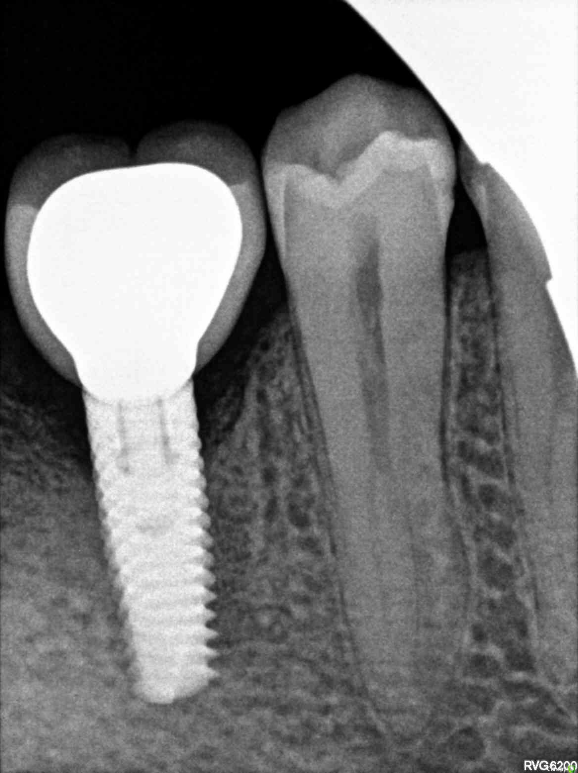
freeman22 Опубликовано 18 декабря, 2017 Поделиться Опубликовано 18 декабря, 2017 Здравствуйте. Что можете сказать по данному импланту и установленной на него коронкой? 6 нижний зуб. Ссылка на комментарий
red_butler Опубликовано 18 декабря, 2017 Поделиться Опубликовано 18 декабря, 2017 Что Вас беспокоит? Ссылка на комментарий
колесников Опубликовано 18 декабря, 2017 Поделиться Опубликовано 18 декабря, 2017 Альфа био? Ставили одномоментно? Ссылка на комментарий
freeman22 Опубликовано 18 декабря, 2017 Автор Поделиться Опубликовано 18 декабря, 2017 (изменено) Установка импланта прошла нормально, когда отошла анестезия вообще ничего не болело (на удивление), хотя уже приготовил Кетанов)) И вообще меня имплант никак не беспокоил, но спустя 3 месяца появилась ноющая, даже какая-та тянущаяся боль отдающая на передние зубы (точнее даже скорее на один из передних зубов), потом добавилась резкая пульсирующая боль, но она не долгая и иногда бывает. В основном какая-то словно тянущая передний зуб боль. Я спустя 3 месяца, когда появилась эта боль (ещё без коронки на имплант) показывал имплант имплантологу, который его ставил, но он лишь обнаружил значительное рассасывание (убывание) кости причём его удивляло, что сама соединительная ткань чистая без фиброзной ткани, но почему-то не происходит интеграция соединительной ткани ещё с какой-то, там что-то добавлял (возможно костную ткань), но кость всё равно убывает на этом снимке это отчётливо видно.Насколько я понимаю имплант остеоинтегрирован и с ним всё в порядке. Собственно вопрос может ли данный имплант давать такие боли (спустя несколько месяцев после установки, до этого нормально всё было) или это скорее всего другие жевательные зубы (с живыми, не удалёнными нервами) так отдают на передний зуб(ы) боль.Ещё до установки импланта на соседнем 7 зубе лечил пришеечный кариес (был сбоку и близко к десне) и стал виден, после удаления зуба. После лечения спустя сутки появилась реакция зуба на холодные раздражители и потом была такая боль, как я описал выше. Где-то спустя 3-4 недели всё прошло. Опять же ходил к тому терапевту который лечил кариес, он сказал, что там был лёгкий кариес, ну максимум средний и таких болей быть не должно...Вот снимки 7 зуба после лечения кариеса. Изменено 18 декабря, 2017 пользователем freeman22 Ссылка на комментарий
Irouil Опубликовано 18 декабря, 2017 Поделиться Опубликовано 18 декабря, 2017 (изменено) Костная резорбция есть, она не криминальная, можно закрыть мягкотканной пластикой (десны пришить немного). Надо ещё фото в полости рта, возможно именно это Вам и сделали. Болит, по моему мнению, что-то ещё. Может следующий зуб. Надо проверить витальность зубов на этой половине нижней челюсти. Главный подозреваемый - следующий зуб (4.7), там хронический пульпит судя по всему. Также не стоит исключать неврологию, но это если в полости рта ничего не найдете. Альфа био? Ставили одномоментно?Там разве не намек на конус? Изменено 18 декабря, 2017 пользователем Irouil Ссылка на комментарий
red_butler Опубликовано 18 декабря, 2017 Поделиться Опубликовано 18 декабря, 2017 Там разве не намек на конус? нет Ссылка на комментарий
red_butler Опубликовано 18 декабря, 2017 Поделиться Опубликовано 18 декабря, 2017 или это скорее всего другие жевательные зубы (с живыми, не удалёнными нервами) так отдают на передний зуб(ы) боль. стоит поискать скрытый пульпит Ссылка на комментарий
freeman22 Опубликовано 18 декабря, 2017 Автор Поделиться Опубликовано 18 декабря, 2017 В общем исходя из описанной мною ситуации и представленных снимков наверное стоит удалить нервы и так сказать "умертвить" 7 зуб? Я правильно понял? Ссылка на комментарий
колесников Опубликовано 18 декабря, 2017 Поделиться Опубликовано 18 декабря, 2017 У вашего импланта проблема локальная,таких болей он не может давать. Где то пульпитный зуб. Ссылка на комментарий
Marika Опубликовано 18 декабря, 2017 Поделиться Опубликовано 18 декабря, 2017 При лечении приведенного кариеса анатомии если нерв ближе к стенке, бывают проблемы при, казалось бы, не глубоких полостях. Тем более в 7м дентикльP.S. Визуально много кариозных полостей на контактах.P. P. S. Хочу повосхищаться каналами 5 го зуба( кому-то может повезти)))! Ссылка на комментарий
red_butler Опубликовано 19 декабря, 2017 Поделиться Опубликовано 19 декабря, 2017 В общем исходя из описанной мною ситуации и представленных снимков наверное стоит удалить нервы и так сказать "умертвить" 7 зуб? Я правильно понял?Нет не правильно, нужно найти причинный зуб, это может быть не седьмой. 1 Ссылка на комментарий
red_butler Опубликовано 21 декабря, 2017 Поделиться Опубликовано 21 декабря, 2017 Тему можно закрывать? Ссылка на комментарий
Рекомендуемые сообщения
Для публикации сообщений создайте учётную запись или авторизуйтесь
Вы должны быть пользователем, чтобы оставить комментарий
Создать аккаунт
Зарегистрируйте новый аккаунт в нашем сообществе. Это очень просто!
Регистрация нового пользователяВойти
Уже есть аккаунт? Войти в систему.
Войти