miep Опубликовано 13 декабря, 2017 Поделиться Опубликовано 13 декабря, 2017 При лечении кистогранулемы остался инструмент в канале. насколько опасно это? какие последствия могут быть?достать даже под микроскопом не получилось (хотя особо то и не пытались, так 15 мин покопались, испугались перфорации и оставили) . Можно ли будет под коронку этот зуб?Через сколько можно коронку ставить? Всегда считала что такие зубы лучше оставить так -мало ли вдруг рецедив...Врач изначально сказал удалять. я уломала полечить... и вот удивительные результаты....) Ссылка на комментарий
DmitrySH Опубликовано 13 декабря, 2017 Поделиться Опубликовано 13 декабря, 2017 Динамика хорошая, сколько прошло после лечения? Ссылка на комментарий
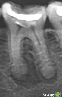
miep Опубликовано 13 декабря, 2017 Автор Поделиться Опубликовано 13 декабря, 2017 Динамика хорошая, сколько прошло после лечения?начали лечение 8 августа. снимок сегодняшний последний который. еще кальций на месяц положили. Дальше он говорит постоянно хочет запломбировать каналы, если не будет ухудшений. это в середине января должно быть Ссылка на комментарий
miep Опубликовано 22 декабря, 2017 Автор Поделиться Опубликовано 22 декабря, 2017 Так и никто не может сказать по снммку что с инструментом делать то ?) Ссылка на комментарий
Marika Опубликовано 22 декабря, 2017 Поделиться Опубликовано 22 декабря, 2017 А либо не трогать кардинально(обойти), либо к микроскописту и пытаться достать (без гарантий). Ссылка на комментарий
Marika Опубликовано 22 декабря, 2017 Поделиться Опубликовано 22 декабря, 2017 У Вас реально очень хорошая динамика. Ссылка на комментарий
DmitrySH Опубликовано 23 декабря, 2017 Поделиться Опубликовано 23 декабря, 2017 Так и никто не может сказать по снммку что с инструментом делать то ?)Ничего не делать, запломбировать как есть и наблюдать. 2 Ссылка на комментарий
DmitrySH Опубликовано 23 декабря, 2017 Поделиться Опубликовано 23 декабря, 2017 либо к микроскописту и пытаться достать Это значит придется порядочно разнести зуб, не самый лучший вариант. Лучше уж РВК Ссылка на комментарий
Marika Опубликовано 23 декабря, 2017 Поделиться Опубликовано 23 декабря, 2017 Это значит придется порядочно разнести зуб, не самый лучший вариант. Лучше уж РВКОчевидно,да. Но проще всего именно не трогать. Ссылка на комментарий
Рекомендуемые сообщения
Для публикации сообщений создайте учётную запись или авторизуйтесь
Вы должны быть пользователем, чтобы оставить комментарий
Создать аккаунт
Зарегистрируйте новый аккаунт в нашем сообществе. Это очень просто!
Регистрация нового пользователяВойти
Уже есть аккаунт? Войти в систему.
Войти