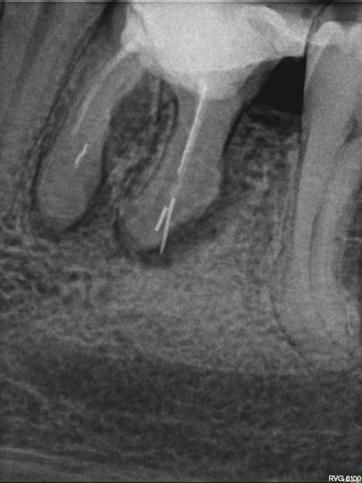
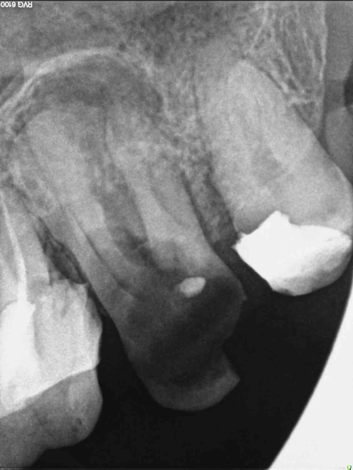
Ладонина Опубликовано 12 декабря, 2017 Поделиться Опубликовано 12 декабря, 2017 (изменено) Здравствуйте, зубы 1.6 и 3.6 в результате плохого лечения имеют кисты больших размеров. На деснах появились свищи. Киста верхнего зуба находиться в верхнечелюстной пазухе. Как быть и что делать? Удалять не хочу, только лечить или удалить кисты без удаления зубов.Зубы не болят.Scan.1.pdf Изменено 12 декабря, 2017 пользователем Ладонина 1 Ссылка на комментарий
kramer Опубликовано 12 декабря, 2017 Поделиться Опубликовано 12 декабря, 2017 Удалять Ссылка на комментарий
red_butler Опубликовано 13 декабря, 2017 Поделиться Опубликовано 13 декабря, 2017 Удалять Ссылка на комментарий
Ладонина Опубликовано 13 декабря, 2017 Автор Поделиться Опубликовано 13 декабря, 2017 Все удалять или можно побороться? Как же зубосохраняющие операции? Ссылка на комментарий
kramer Опубликовано 13 декабря, 2017 Поделиться Опубликовано 13 декабря, 2017 К сожалению, не в этом случае. 2 Ссылка на комментарий
DmitrySH Опубликовано 13 декабря, 2017 Поделиться Опубликовано 13 декабря, 2017 Как же зубосохраняющие операции? слишком поздно 2 Ссылка на комментарий
Рекомендуемые сообщения
Для публикации сообщений создайте учётную запись или авторизуйтесь
Вы должны быть пользователем, чтобы оставить комментарий
Создать аккаунт
Зарегистрируйте новый аккаунт в нашем сообществе. Это очень просто!
Регистрация нового пользователяВойти
Уже есть аккаунт? Войти в систему.
Войти