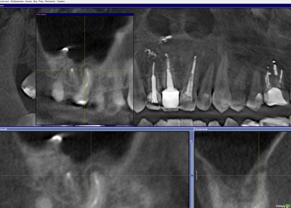
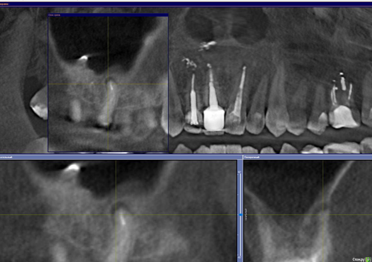
GoldJoker Опубликовано 11 декабря, 2017 Поделиться Опубликовано 11 декабря, 2017 Сломан инструмент/Киста - Удалять, резекция, пробовать достать инструмент. 16 зуб. Шестерка.Говорят при попытке достать можно протолкнуть инструмент. Как считаете пробовать доставать под микроскопом, резекция или сразу удалять?После грипа дискомфорт в десне над зубом, чувствую воспаление. Срезы прикрепил. Ссылка на комментарий
red_butler Опубликовано 11 декабря, 2017 Поделиться Опубликовано 11 декабря, 2017 Срезы не информативны, но я за лечение 1 Ссылка на комментарий
GoldJoker Опубликовано 11 декабря, 2017 Автор Поделиться Опубликовано 11 декабря, 2017 Срезы не информативны, но я за лечениеИнструмент за изгибом думаете достать пробовать? Добавляю срезы. Просто что делать если его выбьют за верхушку корня при попытки достать его ультразвуком?http://joxi.net/V2VvZN4SxPvbO2http://joxi.ru/xAeXqnbIpGl9D2 Ссылка на комментарий
Marika Опубликовано 11 декабря, 2017 Поделиться Опубликовано 11 декабря, 2017 Достать не самоцель, в данном случае. Пройти мимо,чтобы обработать, а затем обтурировать. 2 Ссылка на комментарий
GoldJoker Опубликовано 12 декабря, 2017 Автор Поделиться Опубликовано 12 декабря, 2017 За изгибом инструмент можно обойти? Если не достанут инструмент, резекция или удаление? Ссылка на комментарий
Marika Опубликовано 12 декабря, 2017 Поделиться Опубликовано 12 декабря, 2017 Теоретически можно, всё очень сложно предсказать заранее. Вам необходимо решить, будете ли Вы пытаться перелечивать или сразу хирургия. Ссылка на комментарий
GoldJoker Опубликовано 14 декабря, 2017 Автор Поделиться Опубликовано 14 декабря, 2017 Теоретически можно, всё очень сложно предсказать заранее. Вам необходимо решить, будете ли Вы пытаться перелечивать или сразу хирургия.При попытке боюсь того что инструмент уйдет за пределы канала. И если не удачно пройдет попытка перелечивания. Вы вообще как видите успех в прохождении подобного канала где на конце инструмент по КТ? Если не получится. Удалять или резекция? Что думаете на счет этого. Ссылка на комментарий
сирена Опубликовано 14 декабря, 2017 Поделиться Опубликовано 14 декабря, 2017 Забудьте про этот инструмент,от него нет никакого вреда.Если врач-терапевт сможет пройти (почистить и запломбировать) каналы до верхушки,то зуб оставить,если нет-возможны варианты:резекция верхушки,ампутация корня,удаление зуба. 1 Ссылка на комментарий
Marika Опубликовано 14 декабря, 2017 Поделиться Опубликовано 14 декабря, 2017 При попытке боюсь того что инструмент уйдет за пределы канала. И если не удачно пройдет попытка перелечивания.Если уйдет за канал, значит не фиксирован в стенке. А причина отломов, обычно, в заклинивании. Вы уже не настроены на перелечивание,как мне кажется. Это всегда риск. Тогда и не мучайтесь, сразу хирургия. Ссылка на комментарий
GoldJoker Опубликовано 24 декабря, 2017 Автор Поделиться Опубликовано 24 декабря, 2017 Если уйдет за канал, значит не фиксирован в стенке. А причина отломов, обычно, в заклинивании.Вы уже не настроены на перелечивание,как мне кажется. Это всегда риск. Тогда и не мучайтесь, сразу хирургия. Какая хирургия. Одни считают норм делать резекцию. Другие херурги так не считают. Какое ваше мнение тут уместна резекция? 1 Ссылка на комментарий
red_butler Опубликовано 15 января, 2018 Поделиться Опубликовано 15 января, 2018 Какое ваше мнение тут уместна резекция? нет Ссылка на комментарий
GoldJoker Опубликовано 3 февраля, 2018 Автор Поделиться Опубликовано 3 февраля, 2018 нет Иду на перелечивание, если не удастся удаление. Такой вопрос там в пазухе кусочек пломбировочного. Один имплантолог говорит не надо его трогать. Другой предлагает убрать за раз во время удаления доступом с десны, мол там же потом делать будет синус лифтинг расширил ту дырку. Как думаете удалять тот кусочек или нет и делать синус лифтинг не трогая кусочек пломбировочного. Ссылка на комментарий
Irouil Опубликовано 3 февраля, 2018 Поделиться Опубликовано 3 февраля, 2018 Лучше во время синус лифта решить, удалять или нет, т.к. все равно одним доступом (если открытый синус лифт будет) его производить. Ссылка на комментарий
red_butler Опубликовано 3 февраля, 2018 Поделиться Опубликовано 3 февраля, 2018 Я бы не трогал Ссылка на комментарий
Рекомендуемые сообщения
Для публикации сообщений создайте учётную запись или авторизуйтесь
Вы должны быть пользователем, чтобы оставить комментарий
Создать аккаунт
Зарегистрируйте новый аккаунт в нашем сообществе. Это очень просто!
Регистрация нового пользователяВойти
Уже есть аккаунт? Войти в систему.
Войти