Перейти к содержанию
Стоматология для всех

Оправдано ли удаление


Новикова И.А.

Рекомендуемые сообщения

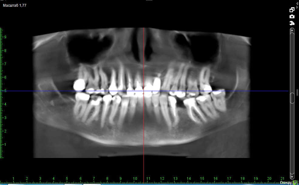
Добрый день, уважаемые доктора. При планировании плана лечения стоматологи рекомендуют удалить несколько зубов:

17 - большая пломба

36 - киста зуба (сделала отдельный скриншот)

34 - невозможность запломбировать канал до конца из-за изогнутого корня

46 - большая пломба и сломан инструмент в канале.

38 - говорят, что вообще не нужен.

Действительно ли надо удалять все эти зубы или можно поставить коронку на 17; перепломбировать 34 или вообще его не трогать, он меня не беспокоит; вылечить кисту на 36 зубе. 

Заранее спасибо за ответ.

post-37334-0-32128200-1512417396_thumb.png

post-37334-0-03189900-1512417415_thumb.png

Ссылка на комментарий

Для публикации сообщений создайте учётную запись или авторизуйтесь

Вы должны быть пользователем, чтобы оставить комментарий

Создать аккаунт

Зарегистрируйте новый аккаунт в нашем сообществе. Это очень просто!

Регистрация нового пользователя

Войти

Уже есть аккаунт? Войти в систему.

Войти
×
×
  • Создать...
Вверх