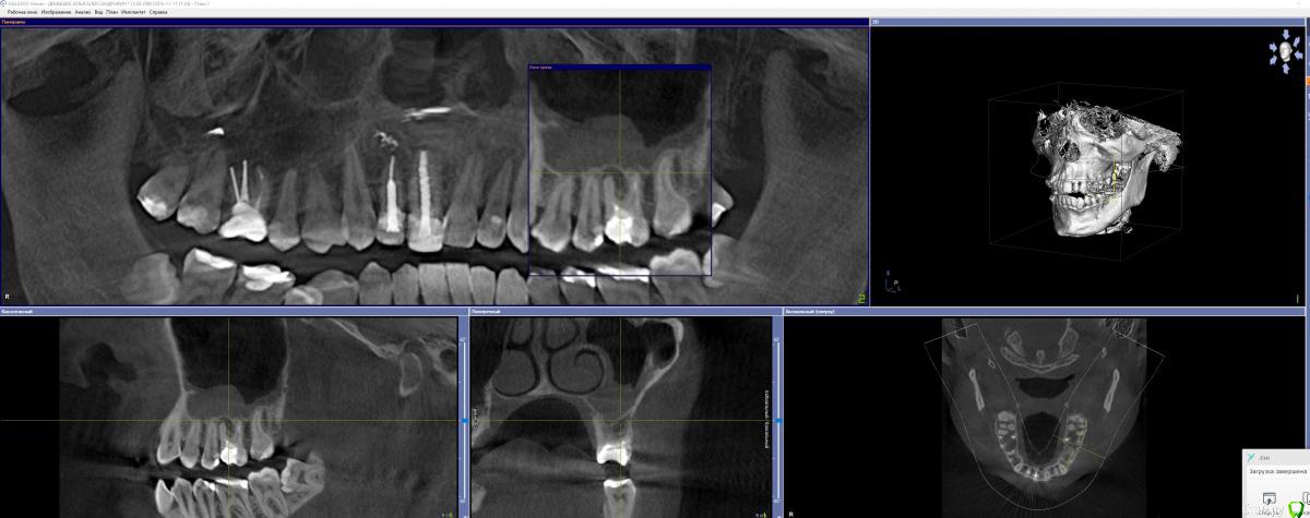
GoldJoker Опубликовано 3 декабря, 2017 Поделиться Опубликовано 3 декабря, 2017 Прошу совета знающих людей. Страдаю левосторонним гайморитом 5 лет, постоянные подтекания гноевидной слизи по задней стенке изредка выходящей через нос. На КТ 26 зуб киста, прикладываю 2 КТ с разницей в 1 год. Пролечли каналы под микраскопом, щечный канал был не пролечен ранее. Изначально зуб лечили 13 лет назад. Кистагранулема уменьшилась, проблема не ушла. Стоит ли ждать еще время либо нужно вырывать зуб, если вырывать. То будет ли сообщение посмотрите по снимку, если будет сообщение то чем его закрывать. И что с имплонтацией... Вообщем дайте совет что делать. КТ прикладываю. http://joxi.net/LmGp1LJueEWXb2- 2017 год фото http://joxi.net/82Q46k0Fj0XGKm- 2016 год фото https://yadi.sk/d/FB3RZAKD3QFND8- 2016 год полное кт 300мб. https://yadi.sk/d/rz8evJ5B3QFNDA- 2017 год полное кт 300мб. Ссылка на комментарий
Irouil Опубликовано 3 декабря, 2017 Поделиться Опубликовано 3 декабря, 2017 Я думаю, проблема в пазухе уже живёт отдельно от зуба. После перелечивания состояние сильно улучшилось, что в кости, так и в слизистой. Надо посмотреть как зуб реагирует на перкуссию (постукивания) и сравнить бы с тем, как он реагировал раньше. Создаётся впечатление, что повторное лечение оказалось успешным и зуб можно было бы не трогать, а прооперировать только саму пазуху. Если примете решение всё-таки удалять зуб, я бы подождал после этого два месяца, повторно снимок, если ситуация радикально не улучшается - эндоскопия пазухи, одномоментно синус лифт (по необходимости) и имплантация. Хотя тут возможны варианты. Сужу только по срезам, посмотреть всё КТ сейчас не могу. 1 Ссылка на комментарий
Гарриевич Опубликовано 6 декабря, 2017 Поделиться Опубликовано 6 декабря, 2017 У кого лечили в Новосибе? Ссылка на комментарий
Bier Опубликовано 6 декабря, 2017 Поделиться Опубликовано 6 декабря, 2017 нужно КТ на большом датчике, посмотреть соустье пазухи с носом (на этом КТ соустье не влезло) и консультация с ЛОРом приличным. Кто слышал про FESS. Ссылка на комментарий
GoldJoker Опубликовано 7 декабря, 2017 Автор Поделиться Опубликовано 7 декабря, 2017 (изменено) У кого лечили в Новосибе?В Новосибирске, Дентал сервис. У Папенко Татьяны Михайловны. Специализируется на лечение каналов, писала диссертацию по этой проблеме. Использует микроскоп. Это с подвигло выбрать ее. Изменено 7 декабря, 2017 пользователем GoldJoker Ссылка на комментарий
GoldJoker Опубликовано 7 декабря, 2017 Автор Поделиться Опубликовано 7 декабря, 2017 (изменено) Соустье работает исправно, нос дышит когда слизи нет. Слизь исправно отходит. Если были бы проблемы с соустьем я бы по скорой уже попал. FESS это вырывание крючковидного отростка и расширение соусиья что меняет аэродинамику. Читал что исследование на кроликах в 69 году показало что развивается хронический процесс из за изменения аэродинамики. Одно дело соустье бы не работало. Полагаю там у меня все ок чтобы не лезть через нос туда. Если и лезть то через собачью ямку да вот только что там они искать будут ((( у меня вся надежда что зуб вырву все пройдет. Ведь после лечения видно что слизистая уменьшилась значит проблема явно зуб. Вот только зуб крепкий и совсем не беспокоит. А гайморит достал...Только вот самый интересный для меня вопрос. Вырву зуб если будет сообщение чем его закрывать в моем случае? Надкостницой с неба? Говорят имплантации потом условие попортит да и не ужели ничего менее варварского не предумали? Изменено 7 декабря, 2017 пользователем GoldJoker Ссылка на комментарий
GoldJoker Опубликовано 7 декабря, 2017 Автор Поделиться Опубликовано 7 декабря, 2017 Был на днях у ЧХЛ Главного по НСК Сысолятин Павел Гаврилович. Посоветовал своего сына профессора Сысолятина Святослва Павловича. Он в МСК занимается подобными проблемами. С ним связался, его мнение нужно вырывать зуб и смотреть. Только он не ответил что с перфорацией делать если она произойдет. Вот если ничего лучше не надумаю и лучше кого не найду. Полечу к нему зуб вырывать да за мной следить. Ссылка на комментарий
Irouil Опубликовано 7 декабря, 2017 Поделиться Опубликовано 7 декабря, 2017 (изменено) Все смешалось, кони, люди... Как-то Вы странно спрашиваете совета. Я бы Вас лечил так: 1) рекомендую досконально исследовать зуб, судя по срезам его лечение было успешным и удалять его поскорее я не советую (первичный очаг инфекции из зуба судя по всему изолирован качественной эндодонтией) 2) нужно оперировать пазуху, если соустье исправно (нужно кт, "нос дышит" не аргумент) - просто эндоскопически провести санацию. Доступ через нижний носовой ход или клыковую ямку (вероятнее второй вариант) 3) если удалите зуб и сформируется перфорация, способов закрыть соустье есть достаточно много, самый простой - щечным лоскутом (можно было бы закрыть только надкостницей - все бы закрывали, но пользуются обычно слизистыми или слизисто-надкостничными лоскутами). Под АБ защитой можно консервировать лунку (если есть шанс избежать синус лифта), а можно и не консервировать если все равно намечается синус лифт в будущем (этот вариант реальнее в Вашем случае). На имплантацию повлияет в первую очередь не тип лоскута (это решаемо) а костная поддержка мягких тканей 4) после удаления зуба ждите два месяца, дальше вилка: эндоскопия пазухи + синус лифт + имплантация или просто имплантация с/без синус лифтом/-а 5) Станислав Сысолятин спикер FESS дней у Андрея Лопатина от ЧЛХ, так что есть все шансы попасть к хорошему специалисту (если решитесь ехать к нему) Изменено 7 декабря, 2017 пользователем Irouil 1 Ссылка на комментарий
GoldJoker Опубликовано 24 декабря, 2017 Автор Поделиться Опубликовано 24 декабря, 2017 нужно КТ на большом датчике, посмотреть соустье пазухи с носом (на этом КТ соустье не влезло) и консультация с ЛОРом приличным. Кто слышал про FESS. Приличные лоры отправляют разбираться с зубом или удалять его. Ренгенологи с ряд стомотологов считает что лечение зуба успешно и проблему пазухи это не решит. А получится что останусь без зуба в пазухе воспаление имплонтация не возможна. Вот и думай что делать. Ссылка на комментарий
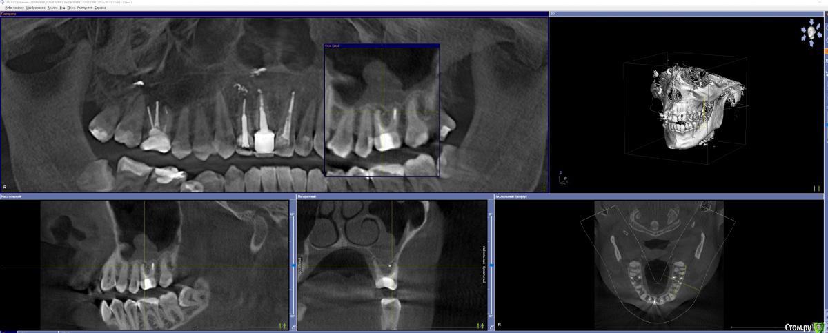
GoldJoker Опубликовано 24 декабря, 2017 Автор Поделиться Опубликовано 24 декабря, 2017 Все смешалось, кони, люди... Как-то Вы странно спрашиваете совета. Я бы Вас лечил так: 1) рекомендую досконально исследовать зуб, судя по срезам его лечение было успешным и удалять его поскорее я не советую (первичный очаг инфекции из зуба судя по всему изолирован качественной эндодонтией) 2) нужно оперировать пазуху, если соустье исправно (нужно кт, "нос дышит" не аргумент) - просто эндоскопически провести санацию. Доступ через нижний носовой ход или клыковую ямку (вероятнее второй вариант) 3) если удалите зуб и сформируется перфорация, способов закрыть соустье есть достаточно много, самый простой - щечным лоскутом (можно было бы закрыть только надкостницей - все бы закрывали, но пользуются обычно слизистыми или слизисто-надкостничными лоскутами). Под АБ защитой можно консервировать лунку (если есть шанс избежать синус лифта), а можно и не консервировать если все равно намечается синус лифт в будущем (этот вариант реальнее в Вашем случае). На имплантацию повлияет в первую очередь не тип лоскута (это решаемо) а костная поддержка мягких тканей 4) после удаления зуба ждите два месяца, дальше вилка: эндоскопия пазухи + синус лифт + имплантация или просто имплантация с/без синус лифтом/-а 5) Станислав Сысолятин спикер FESS дней у Андрея Лопатина от ЧЛХ, так что есть все шансы попасть к хорошему специалисту (если решитесь ехать к нему)Немного вывели материал в кость. Вокруг него небольшое потемнение. Правда что вокруг пломбировочного материала образуется фиброзная ткать. И это потемнение нужно считать ей а не оставшимся воспалением. Ссылка на комментарий
Рекомендуемые сообщения
Для публикации сообщений создайте учётную запись или авторизуйтесь
Вы должны быть пользователем, чтобы оставить комментарий
Создать аккаунт
Зарегистрируйте новый аккаунт в нашем сообществе. Это очень просто!
Регистрация нового пользователяВойти
Уже есть аккаунт? Войти в систему.
Войти