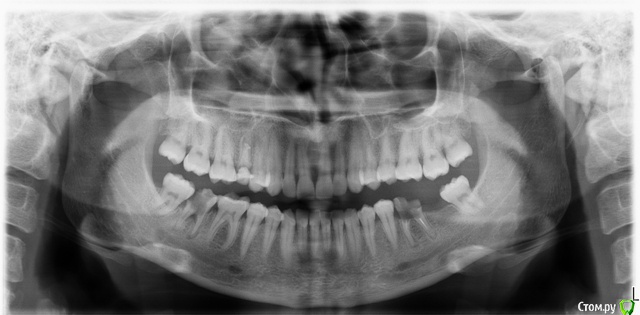
Kattrin Опубликовано 2 декабря, 2017 Поделиться Опубликовано 2 декабря, 2017 Подскажите есть ли шанс спасти зубы или придётся удалять? Рентген прилагаю, думаю сразу попятно о каких зубах идёт речь Ссылка на комментарий
red_butler Опубликовано 2 декабря, 2017 Поделиться Опубликовано 2 декабря, 2017 где снимок? Ссылка на комментарий
Kattrin Опубликовано 2 декабря, 2017 Автор Поделиться Опубликовано 2 декабря, 2017 Прошу прощения Ссылка на комментарий
___49___ Опубликовано 2 декабря, 2017 Поделиться Опубликовано 2 декабря, 2017 (изменено) 47, 36 - удалять. 15 - ? плохо видно . решайте вопрос с протезированием - сверху слева предпоследний зуб уже начал выдвигаться вниз из-за отсутствия зуба снизу. Изменено 2 декабря, 2017 пользователем ___49___ Ссылка на комментарий
Kattrin Опубликовано 2 декабря, 2017 Автор Поделиться Опубликовано 2 декабря, 2017 47, 36 - удалять. 15 - ? плохо видно . решайте вопрос с протезированием - сверху слева предпоследний зуб уже начал выдвигаться вниз из-за отсутствия зуба снизу.15-залечен, на нем пломба. 47,36 значит никак не спасти? Ссылка на комментарий
brg Опубликовано 3 декабря, 2017 Поделиться Опубликовано 3 декабря, 2017 15-залечен, на нем пломба.это не значит, что его не нужно лечить. может получится как с 36 и 47 зубами. Ссылка на комментарий
Marika Опубликовано 3 декабря, 2017 Поделиться Опубликовано 3 декабря, 2017 Снимок очень неудачный, но, по-моему, зуб 15 нежизнеспособен. Ссылка на комментарий
Рекомендуемые сообщения
Для публикации сообщений создайте учётную запись или авторизуйтесь
Вы должны быть пользователем, чтобы оставить комментарий
Создать аккаунт
Зарегистрируйте новый аккаунт в нашем сообществе. Это очень просто!
Регистрация нового пользователяВойти
Уже есть аккаунт? Войти в систему.
Войти