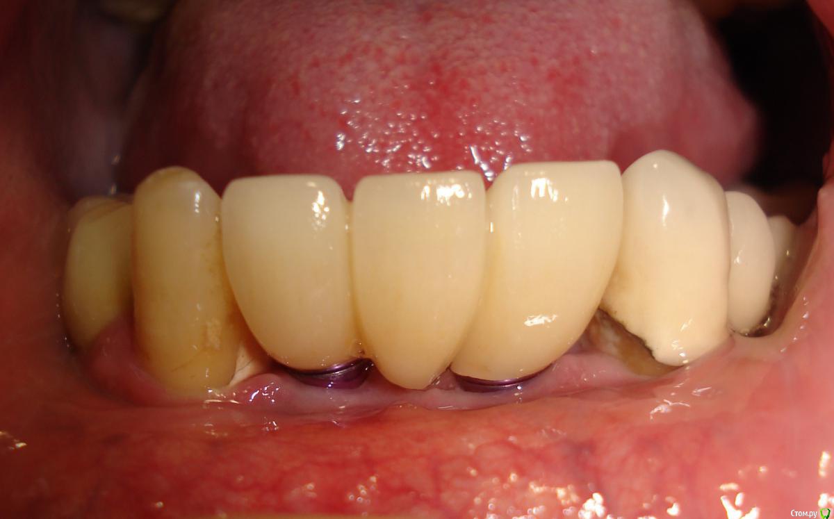
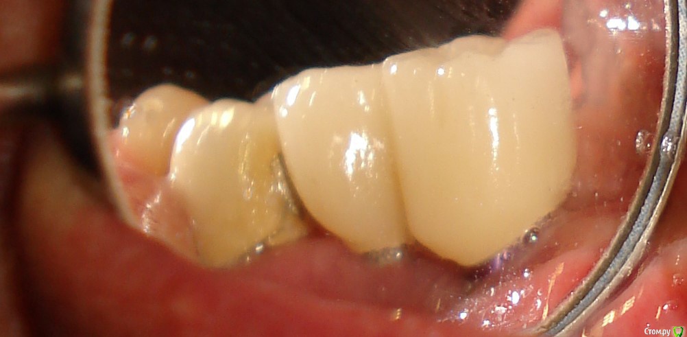
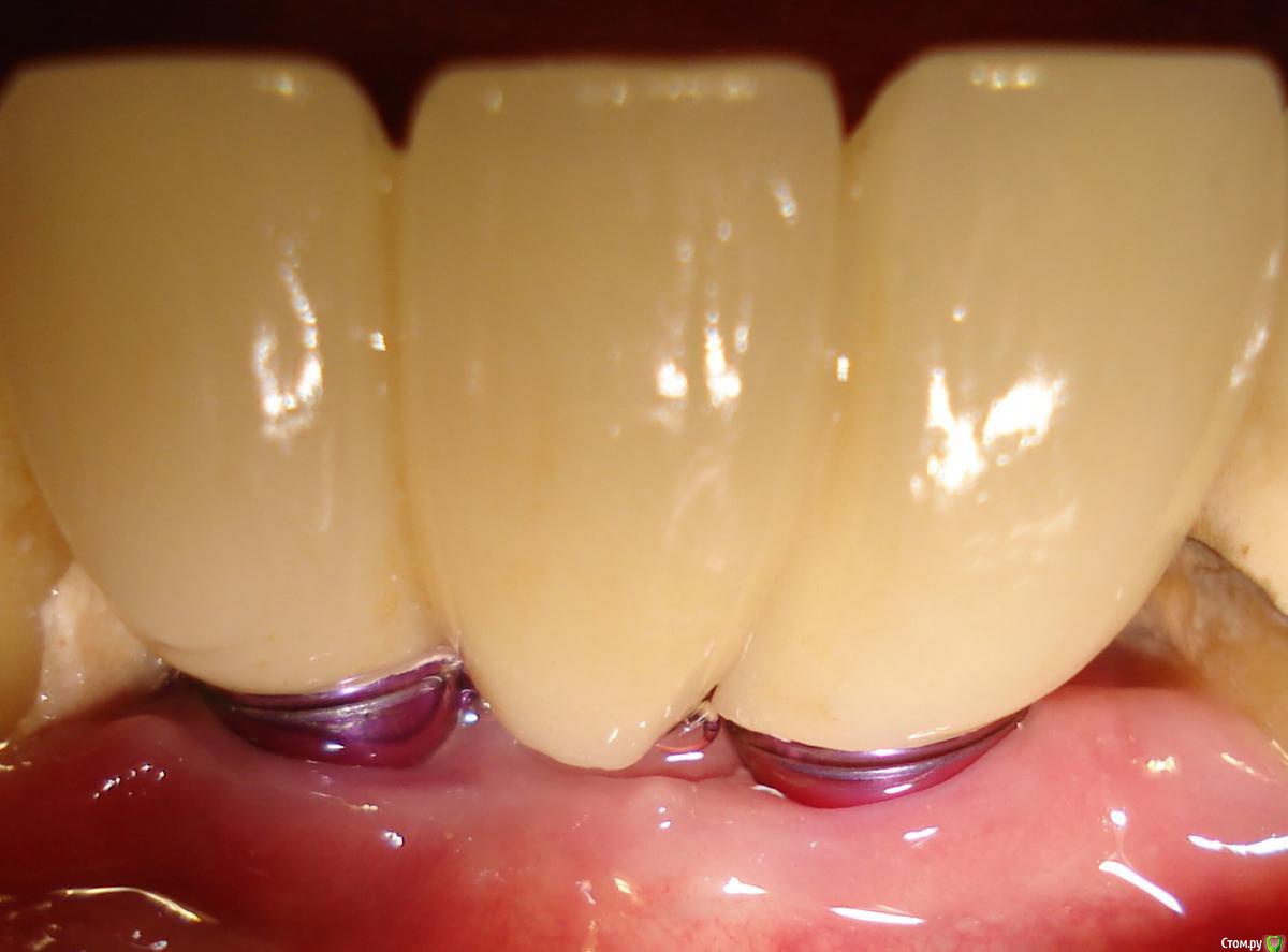
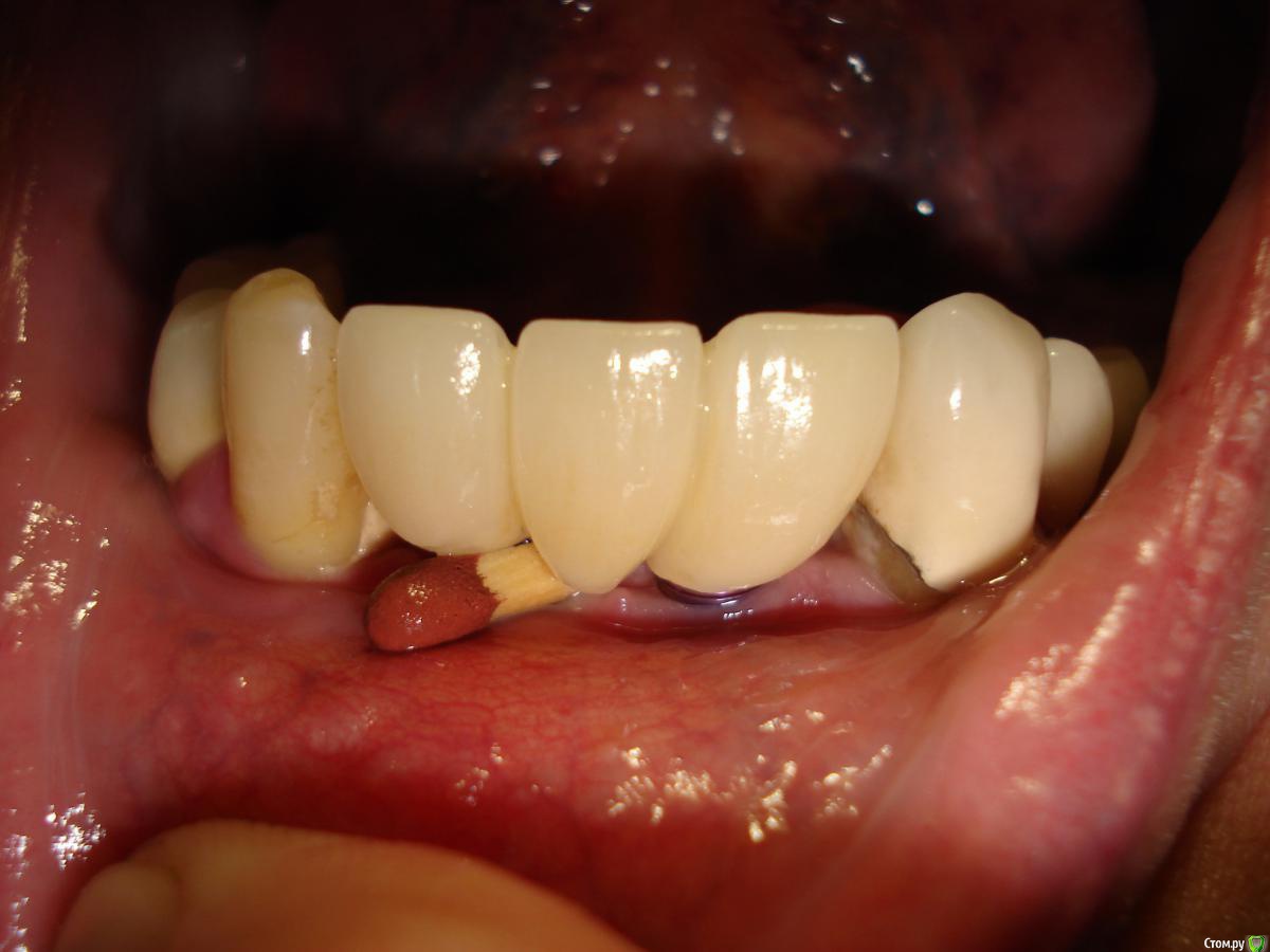
Antikwar Опубликовано 26 ноября, 2017 Поделиться Опубликовано 26 ноября, 2017 Доброго времени суток .Хотелось бы узнать компетентное мнение, врачей, З.техников. Вчера было установленно 2 моста (оксид циркония) на имплантанты перед низ и 2 коронки с боку правая сторона низ ..НА мой не опытный взгляд конструкция и сама работа не качественная и эстетика здесь полностью отсутствует. 1.Видно тело абатмента в обоих конструкциях. 2.Мост и коронки висят в воздухе и не прилегают к десне,как в первом так и во втором случае. Между десной и мостом (перед низ) проходит спичка. Вопрос, должен ли мой доктор переделать эту (на мой взгляд) не качественную работу ! Что вы мне посоветуете .... Заранее благодарю всех откликнувшихся. Ссылка на комментарий
chervoncevdaniil Опубликовано 26 ноября, 2017 Поделиться Опубликовано 26 ноября, 2017 Доброго времени суток .Хотелось бы узнать компетентное мнение, врачей, З.техников. Вчера было установленно 2 моста (оксид циркония) на имплантанты перед низ и 2 коронки с боку правая сторона низ ..НА мой не опытный взгляд конструкция и сама работа не качественная и эстетика здесь полностью отсутствует. 1.Видно тело абатмента в обоих конструкциях. 2.Мост и коронки висят в воздухе и не прилегают к десне,как в первом так и во втором случае. Между десной и мостом (перед низ) проходит спичка. Вопрос, должен ли мой доктор переделать эту (на мой взгляд) не качественную работу ! Что вы мне посоветуете .... Заранее благодарю всех откликнувшихся.СУдя по фото у вас убыль костной и мягких тканей в области ипмлантов.А состояние соседних коронок на зубах вас не смущают? Ссылка на комментарий
red_butler Опубликовано 26 ноября, 2017 Поделиться Опубликовано 26 ноября, 2017 НА мой не опытный взгляд конструкция и сама работа не качественная и эстетика здесь полностью отсутствует. почему Вы вчера приняли работу???Покажите Rg c коронками 1 Ссылка на комментарий
Antikwar Опубликовано 26 ноября, 2017 Автор Поделиться Опубликовано 26 ноября, 2017 СУдя по фото у вас убыль костной и мягких тканей в области ипмлантов.А состояние соседних коронок на зубах вас не смущают?Конечно же смущает,.... но они в плане на лечение.НО как же ответ на мой вопрос ? Ссылка на комментарий
chervoncevdaniil Опубликовано 26 ноября, 2017 Поделиться Опубликовано 26 ноября, 2017 Конечно же смущает,.... но они в плане на лечение.НО как же ответ на мой вопрос ?Так это и есть ответ на ваш вопрос,конечно по фото судить сложно,нужен рентген,но если это убыль костной ткани,то коронки могут быть досажены корректно,относительно импланта,проблема может быть в том,что уже кость ушла ниже уровня имплантата,а это коронкой не перекрыть никак 2 Ссылка на комментарий
Antikwar Опубликовано 26 ноября, 2017 Автор Поделиться Опубликовано 26 ноября, 2017 Конечно же смущает,.... но они в плане на лечение.НО как же ответ на мой вопрос ?А, что нельзя сделать коронки по больше, что бы они легли на десну, ведь так просто???? Ссылка на комментарий
chervoncevdaniil Опубликовано 26 ноября, 2017 Поделиться Опубликовано 26 ноября, 2017 А, что нельзя сделать коронки по больше, что бы они легли на десну, ведь так просто????Если то,что выступает над десной уже сам имплант,а не абатмент(а скорее всего так оно и есть),то нельзя Ссылка на комментарий
Antikwar Опубликовано 26 ноября, 2017 Автор Поделиться Опубликовано 26 ноября, 2017 Так это и есть ответ на ваш вопрос,конечно по фото судить сложно,нужен рентген,но если это убыль костной ткани,то коронки могут быть досажены корректно,относительно импланта,проблема может быть в том,что уже кость ушла ниже уровня имплантата,а это коронкой не перекрыть никакк сожалению у меня есть только промежуточный ренге ренген но он неважного качества по пробую его отправить Ссылка на комментарий
AndyAndy Опубликовано 26 ноября, 2017 Поделиться Опубликовано 26 ноября, 2017 Довольно щекотливая тема, учитывая что вы вчера все же приняли работу, а сегодня уже хотите переделать. Общайтесь с вашим доктором, приходите к компромиссу. Касаемо имплантатов на н/ч, по снимку они в находятся в кости, видимых проблем с ними нет 2 Ссылка на комментарий
parallax Опубликовано 26 ноября, 2017 Поделиться Опубликовано 26 ноября, 2017 Делали в Германии? Ссылка на комментарий
Antikwar Опубликовано 26 ноября, 2017 Автор Поделиться Опубликовано 26 ноября, 2017 Делали в Германии? Делали в Германии?.....да в Гамбурге . Ссылка на комментарий
Pavel-Pskov Опубликовано 27 ноября, 2017 Поделиться Опубликовано 27 ноября, 2017 Скорее всего для приемлемого эстетического результата нужна мягкотканная аугментация. А по поводу," куда вы смотрели", посещение стоматолога для многих стресс, и все нюансы пациент не всегда в состоянии сразу оценить. 5 Ссылка на комментарий
red_butler Опубликовано 27 ноября, 2017 Поделиться Опубликовано 27 ноября, 2017 А по поводу," куда вы смотрели", посещение стоматолога для многих стресс, и все нюансы пациент не всегда в состоянии сразу оценить. Я бы не назвал, то что на снимках нюансами... Тем более мы не знаем, возможно всЁ ЭТО обсуждалось на этапе планирования... Ссылка на комментарий
red_butler Опубликовано 27 ноября, 2017 Поделиться Опубликовано 27 ноября, 2017 Вопрос, должен ли мой доктор переделать эту (на мой взгляд) не качественную работу ! этот вопрос должен лежать в правовой плоскости страны в которой проводилось лечение.Улучить результат можно мягкотканной пластикой, возможно несколькими. Временным протезированием и новой конструкцией. Ссылка на комментарий
Pavel-Pskov Опубликовано 27 ноября, 2017 Поделиться Опубликовано 27 ноября, 2017 Я бы не назвал, то что на снимках нюансами... Тем более мы не знаем, возможно всЁ ЭТО обсуждалось на этапе планирования... Об этом мы можем только догадываться.) Ссылка на комментарий
Antikwar Опубликовано 27 ноября, 2017 Автор Поделиться Опубликовано 27 ноября, 2017 Вообще ни чего не обсуждалось, врач сказал все будет хорошо. Точка.... обсуждалась только сумма 3500 EUи это только мосты и коронки.Сами импланты установил челюстнолицевой хирург . И как понять.: "Я бы не назвал, то что на снимках нюансами..." ????? Что доктор хотел этим сказать. А что такое мягкотканная пластика??? Ссылка на комментарий
red_butler Опубликовано 27 ноября, 2017 Поделиться Опубликовано 27 ноября, 2017 А что такое мягкотканная пластика??? пластика десны Ссылка на комментарий
Pavel-Pskov Опубликовано 27 ноября, 2017 Поделиться Опубликовано 27 ноября, 2017 А какие импланты, если не секрет? Ссылка на комментарий
Antikwar Опубликовано 27 ноября, 2017 Автор Поделиться Опубликовано 27 ноября, 2017 А какие импланты, если не секрет? Имплантанты нем. фирмы Окtagon здесь оч популярные. Говорят... по лицензии Strauman Ссылка на комментарий
red_butler Опубликовано 27 ноября, 2017 Поделиться Опубликовано 27 ноября, 2017 Посетите своего врача, может все на самом деле проще Ссылка на комментарий
Antikwar Опубликовано 27 ноября, 2017 Автор Поделиться Опубликовано 27 ноября, 2017 Обсуждение в основном шло во круг переднего мостика,...а что боковые коронки установленны правильно? ????им не обязательно лежать на десне ? Пишите пож. все я делетант и посоветоваться мне осолютно не скем.И что на ваш взгляд я должен требовать от моего доктора???? Ссылка на комментарий
krokomot Опубликовано 27 ноября, 2017 Поделиться Опубликовано 27 ноября, 2017 целевая зона на снимке замылена, четкости нет, исходя из ваших фотографий проблемма не в коронках, а в позиции имплантатов - видна шейка имплантата, так быть не должно. нужны прицельные снимки этой области. Учитывая обстоятельства коронки изготовливаются исходя из положения имплантатов.и я так понимаю вас запротезировали из позиции то что есть, и вая явно нужно что-то делать. Ссылка на комментарий
Рекомендуемые сообщения
Для публикации сообщений создайте учётную запись или авторизуйтесь
Вы должны быть пользователем, чтобы оставить комментарий
Создать аккаунт
Зарегистрируйте новый аккаунт в нашем сообществе. Это очень просто!
Регистрация нового пользователяВойти
Уже есть аккаунт? Войти в систему.
Войти