колесников Опубликовано 2 декабря, 2017 Поделиться Опубликовано 2 декабря, 2017 (изменено) Срочно-это на днях. Сделать клкт(3д снимок),Освежить края мягких тканей ,провести щадящую ревизию костной раны,применить обогащенн тромбоцитарн плазму . Далее варианты:либо одномоментно заполнить лунку костным материалом и провести консервацию либо отсрочено. Возможность проведения имплантации в этой зоне под большим вопросом,потребуется несколько пластических вмешательств. Изменено 2 декабря, 2017 пользователем колесников Ссылка на комментарий
aleksei_sataev Опубликовано 3 декабря, 2017 Автор Поделиться Опубликовано 3 декабря, 2017 (изменено) Думаю, Вы на правильном пути.По моему пошел процесс заживления? https://cloud.mail.ru/public/6mVV/He7N5QarF боли нет, температуры тоже. К пластике после заживления конечно готов. Доктор спасибо, что уделяете своё время моей проблеме.. Изменено 3 декабря, 2017 пользователем aleksei_sataev Ссылка на комментарий
Irouil Опубликовано 4 декабря, 2017 Поделиться Опубликовано 4 декабря, 2017 Мало что видно на фото. Процесс заживления пошел ещё на предыдущем. Вам сейчас кроме как ждать полного заживления десны ничего особо не остаётся. Ссылка на комментарий
aleksei_sataev Опубликовано 14 декабря, 2017 Автор Поделиться Опубликовано 14 декабря, 2017 (изменено) Мало что видно на фото. Процесс заживления пошел ещё на предыдущем. Вам сейчас кроме как ждать полного заживления десны ничего особо не остаётся. Возможность проведения имплантации в этой зоне под большим вопросом,потребуется несколько пластических вмешательств. Добрый вечер уважаемые врачи.После удаления прошло 2,5 недели. 1.Может ли быть в теории, что всё таки пластика не понадобится? Т.е стенка сама собой затянется без пластики? https://cloud.mail.ru/public/HYZX/8hw9HD3yD 2.Есть у меня пару камней больших размеров, один в протоке в подчелюстном, а другой пока не понятно, есть ли в 2017 году щадящие операции? Например всунуть какой нибудь сиалоскоп и раздробить или оперативно убрать не трогая слюную железу? Повторюсь второй камень может быть в самой железе, рентгена пока нет...Просто бесспокоить уже начинает..В последний раз делал снимок этой области лет 10 назад... 3.В гайморовых пазухах у меня есть пару кист которые мне жизнь портят, почитал забугорную прессу и остановился на FESS, практикуется ли у нас в России данный метод? Спасибо большое.Извините за множество вопросов, просто решил основательно собой заняться. Изменено 14 декабря, 2017 пользователем aleksei_sataev Ссылка на комментарий
Irouil Опубликовано 15 декабря, 2017 Поделиться Опубликовано 15 декабря, 2017 Правильно решили. 1) с вероятностью 99 из 100 костная пластика потребуется. Мягкотканная 100 из 100. 2) я не слышал про дробление и сиалоскоп, честно сказать этим особо не занимаюсь, но из протока достать можно из полости рта достаточно аккуратно. Разрез небольшой и все. 3) конечно, fess в разных вариантах практикуется в РФ. Надо смотреть КТ чтобы говорить в какой степени и каким доступом требуется вмешательство. 2 Ссылка на комментарий
aleksei_sataev Опубликовано 12 января, 2018 Автор Поделиться Опубликовано 12 января, 2018 я не слышал про дробление и сиалоскоп, честно сказать этим особо не занимаюсь, но из протока достать можно из полости рта достаточно аккуратно. Разрез небольшой и все. Может кому из хирургов будет интересно посмотреть, камень мой достаточно редких размеров. Если любопытно, могу выложить всё.https://cloud.mail.ru/public/K4KM/K17uk2uDr 2 Ссылка на комментарий
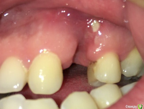
колесников Опубликовано 18 января, 2018 Поделиться Опубликовано 18 января, 2018 Все плохо Ссылка на комментарий
aleksei_sataev Опубликовано 18 января, 2018 Автор Поделиться Опубликовано 18 января, 2018 Все плохо Вроде затягивается. Ссылка на комментарий
aleksei_sataev Опубликовано 18 января, 2018 Автор Поделиться Опубликовано 18 января, 2018 Все плохоТо что зубом необходимо заниматься, я уже понял. Имплант планирую ставить в феврале и скорее всего обращусь к Вам, но пока у меня впереди очень скоро другая операция. Кладут в больницу. Ссылка на комментарий
aleksei_sataev Опубликовано 18 января, 2018 Автор Поделиться Опубликовано 18 января, 2018 с вероятностью 99 из 100 костная пластика потребуется. Мягкотканная 100 из 100. Доктор, а Вы, как считаете? Чуть лучше стало? Ссылка на комментарий
Irouil Опубликовано 1 февраля, 2018 Поделиться Опубликовано 1 февраля, 2018 Доктор, а Вы, как считаете? Чуть лучше стало? Мои прогнозы не изменились и до того как Вы сделаете КТ не изменятся. Но трагедии нет, все решаемо. 1 Ссылка на комментарий
Рекомендуемые сообщения
Для публикации сообщений создайте учётную запись или авторизуйтесь
Вы должны быть пользователем, чтобы оставить комментарий
Создать аккаунт
Зарегистрируйте новый аккаунт в нашем сообществе. Это очень просто!
Регистрация нового пользователяВойти
Уже есть аккаунт? Войти в систему.
Войти