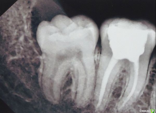
София С Опубликовано 22 ноября, 2017 Поделиться Опубликовано 22 ноября, 2017 Здравствуйте, уважаемые специалисты!После лечения ( уже второй раз ) появилась лёгкая боль при попадании твёрдой частички пищи на задний край пломбы в 37. Зуб лечили 3 месяца назад, боль не увеличивается, но и не исчезает. Четыре месяца назад был удалён 38. Возраст 21 год. Прошу вас посмотреть снимок, и прокомментировать. Ссылка на комментарий
red_butler Опубликовано 22 ноября, 2017 Поделиться Опубликовано 22 ноября, 2017 на снимке все нормально. В идеале замена пломбы на керамическую вкладку Ссылка на комментарий
София С Опубликовано 22 ноября, 2017 Автор Поделиться Опубликовано 22 ноября, 2017 Да, большое спасибо. Ссылка на комментарий
igorstom Опубликовано 22 ноября, 2017 Поделиться Опубликовано 22 ноября, 2017 Снимок является дополнительным методом диагностики. Остальное нужно увидеть, потрогать, пощупать, постучать, подавить. Только тогда можно будет точно сказать причину Вашего беспокойства. А так причин возникновения боли при накусывании много. По Вашему снимку ничего предосудительного не видно. Разве что большая по площади пломба, с вытекающими последствиями. Да, можно ещё примерно возраст определить. На мой взгляд Вам по снимку примерно около 20-25 лет. Серьёзным видом спорта не увлекаетесь, не курите. Ссылка на комментарий
София С Опубликовано 22 ноября, 2017 Автор Поделиться Опубликовано 22 ноября, 2017 Вам по снимку примерно около 20-25 лет. Серьёзным видом спорта не увлекаетесь, не курите. Всё верно Ссылка на комментарий
inSight Опубликовано 22 ноября, 2017 Поделиться Опубликовано 22 ноября, 2017 Я пойду еще глубже, вам 21 год, по задиаку вы лев, занимаетесь спортом но не профессионально, табаком не увлекались, беспокоит вас зуб нижний с лева для вас, после лечения был дискомфорт, он не проходит, если что-то кусать им , возникает боль. Открою тайну, вам нужно идти к стоматологу. Пломба завышена! Занавес! Ссылка на комментарий
igorstom Опубликовано 24 ноября, 2017 Поделиться Опубликовано 24 ноября, 2017 Я пойду еще глубже, вам 21 год, по задиаку вы лев, занимаетесь спортом но не профессионально, табаком не увлекались, беспокоит вас зуб нижний с лева для вас, после лечения был дискомфорт, он не проходит, если что-то кусать им , возникает боль. Открою тайну, вам нужно идти к стоматологу. Пломба завышена! Занавес!Ёрничать не нужно. На рентгеновском снимке виден размер пульповой камеры. Просвет в каналах достаточно широкий, даже при наличии обширной пломбы. Что говорит о молодом возрасте и отсутствии нарушений микроциркуляции. Межзубная костная перегородка нормальной высоты. Но Вы астролог, откуда Вам это знать? И да, очень много орфографических ошибок ("Вы" пишется с большой буквы, перед "но" ставится запятая, "с лева" пишется слитно). Занавес! 1 Ссылка на комментарий
igorstom Опубликовано 24 ноября, 2017 Поделиться Опубликовано 24 ноября, 2017 "зАдиак" - пишется через О. Ссылка на комментарий
София С Опубликовано 24 ноября, 2017 Автор Поделиться Опубликовано 24 ноября, 2017 (изменено) Большое спасибо за ответы.Есть ещё вопрос:- 38 был удалён вследствие воспаления, нагноения, возникшего под капюшёном, и распространившемся далее, в неблагоприятное время в неблагоприятном месте ( учёба в далёкой азиатской стране ). Там, во время визитов к стоматологу, делались промывки, удаление было отложено к возвращению домой...Теперь 48 - так же закрыт капюшёном, вот снимки. Может, достаточно иссечь его и всё? Визит к хирургу ещё только планируется, снимок 48 сделан заблаговременно, одновременно с 37 Изменено 24 ноября, 2017 пользователем София С Ссылка на комментарий
red_butler Опубликовано 24 ноября, 2017 Поделиться Опубликовано 24 ноября, 2017 4.8 удалять Ссылка на комментарий
inSight Опубликовано 24 ноября, 2017 Поделиться Опубликовано 24 ноября, 2017 Но Вы астролог, откуда Вам это знать? Спасибо экстрасенсу. Ссылка на комментарий
София С Опубликовано 24 ноября, 2017 Автор Поделиться Опубликовано 24 ноября, 2017 Я пойду еще глубже, вам 21 год, по задиаку вы лев Эти данные на скане распечатки с визиографа Ссылка на комментарий
inSight Опубликовано 24 ноября, 2017 Поделиться Опубликовано 24 ноября, 2017 Эти данные на скане распечатки с визиографа Именно, далее данные в профиле, харьков , женский пол - не курящих по статистике больше, а профессиональных спортсменов еще меньше. Итого . Экстрасенсорные возможности. igorstom"Да, можно ещё примерно возраст определить. На мой взгляд Вам по снимку примерно около 20-25 лет. Серьёзным видом спорта не увлекаетесь, не курите." Ссылка на комментарий
igorstom Опубликовано 24 ноября, 2017 Поделиться Опубликовано 24 ноября, 2017 Именно, далее данные в профиле, харьков , женский пол - не курящих по статистике больше, а профессиональных спортсменов еще меньше. Итого . Экстрасенсорные возможности. igorstom"Да, можно ещё примерно возраст определить. На мой взгляд Вам по снимку примерно около 20-25 лет. Серьёзным видом спорта не увлекаетесь, не курите." Я не обратил внимание на возраст на рентгеновском снимке. В профиль пациентки не заходил. Это можно проверить в моем аккаунте, где прослеживаются мои похождения, в том числе и по профилям форумчан.. У курящих из-за нарушения микроциркуляции происходят достаточно сильные изменения в зубо-челюстной системе. Так же у меня есть пациенты чемпионы мира и Европы, и в силу запредельных физических нагрузок и биохимии обмена их зубо-челюстной аппарат также претерпевает достаточно серьезные изменения. Открою ещё несколько профессиональных секретов. По леченным зубам и вообще по зубо-челюстной системе, по гигиене, и многим другим вещам можно многое рассказать о пациенте, начиная с его материального положения в различные периоды лечения, заканчивая его характером, типом нервной деятельности и уровнем развития интеллекта. Но это другая тема для разговора. И все аспекты раскрывать в отрытой теме не собираюсь. Ничего личного. С уважением Игорь. Ссылка на комментарий
igorstom Опубликовано 24 ноября, 2017 Поделиться Опубликовано 24 ноября, 2017 Может, достаточно иссечь его и всё? Визит к хирургу ещё только планируется, снимок 48 сделан заблаговременно, одновременно с 37Когда дело касается: удалять или решить проблему иссечением, то предыдущий опыт должен подсказать решение: если удаление было сложным, а процесс заживления и болезненности достаточно не быстрым, на мой взгляд лучше иссечь. Другой разговор, если Вы будете в недалеком будущем заниматься ортодонтией (то есть исправлять положение зубного ряда), в этом случае лучше заблаговременно удалить восьмой зуб. То что мы часто советуем пациентам не значит, что точно также поступаем со своими зубами. Был у меня случай, когда у меня лечился мой близкий товарищ и коллега стоматолог-ортопед. С руками у него всё порядке. И когда я возразил ему, мол, ну ты же сам ортопед и знаешь, что в твоем случае показана вкладка и коронка, он чуть ли не со слезами: "Игорь, я не хочу коронку!". 1 Ссылка на комментарий
igorstom Опубликовано 24 ноября, 2017 Поделиться Опубликовано 24 ноября, 2017 Каналы на последнем рентгеновском снимке вылечены, если судить рентгенологически очень неплохо. А вот пломбы оставляют желать лучшего. Хотя опять же, по снимку, в силу огромной пломбы явные показания к протезированию. Ссылка на комментарий
София С Опубликовано 24 ноября, 2017 Автор Поделиться Опубликовано 24 ноября, 2017 Когда дело касается: удалять или решить проблему иссечением, то предыдущий опыт должен подсказать решение: если удаление было сложным, а процесс заживления и болезненности достаточно не быстрым, на мой взгляд лучше иссечь. Предыдущий 38, при наличии воспаления, перешедшего, наверное, в хроническую стадию, удалялся, возможно проще, чем это предстоит 48-му...Заживление было беспроблемным. Ссылка на комментарий
igorstom Опубликовано 25 ноября, 2017 Поделиться Опубликовано 25 ноября, 2017 Ну тогда лучше удалить. "С глаз долой, из сердца вон". Всё равно, рано или поздно придется от него избавиться. Почему? Изначально непрорезавшиеся полностью или кривовато, восьмые сложнее поддаются адекватной гигиене и самоочищаемости. И соответственно быстрее разрушаются. И часто способствуют разрушению стенки соседнего 7-го зуба, с краями которого соприкасаются. Ссылка на комментарий
София С Опубликовано 25 ноября, 2017 Автор Поделиться Опубликовано 25 ноября, 2017 Большое всем спасибо за ответы, бум удалять. Ссылка на комментарий
София С Опубликовано 25 ноября, 2017 Автор Поделиться Опубликовано 25 ноября, 2017 Я пойду еще глубже, вам 21 год, по задиаку вы лев, занимаетесь спортом но не профессионально, табаком не увлекались, беспокоит вас зуб нижний с лева для вас, после лечения был дискомфорт, он не проходит, если что-то кусать им , возникает боль. Открою тайну, вам нужно идти к стоматологу. Пломба завышена! Занавес!спасибо, КЭП Ссылка на комментарий
Рекомендуемые сообщения
Для публикации сообщений создайте учётную запись или авторизуйтесь
Вы должны быть пользователем, чтобы оставить комментарий
Создать аккаунт
Зарегистрируйте новый аккаунт в нашем сообществе. Это очень просто!
Регистрация нового пользователяВойти
Уже есть аккаунт? Войти в систему.
Войти