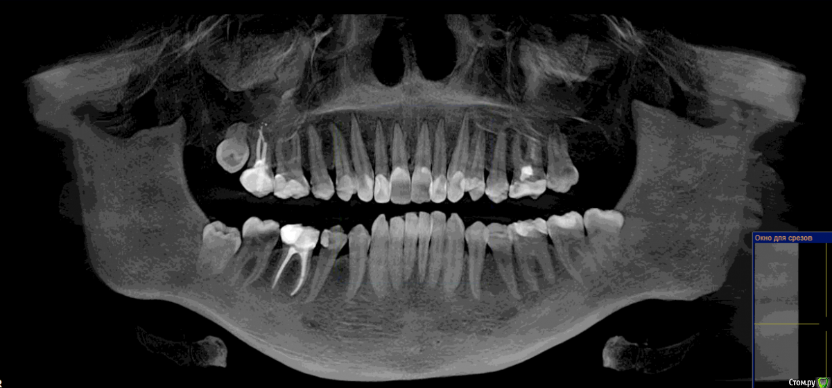
mayron Опубликовано 19 ноября, 2017 Поделиться Опубликовано 19 ноября, 2017 Добрый день! Прокомментируйте пож-та план лечения 16, 27, 25, 45 - лечение пульпита.15, 14, 23, 24, 35, 36, 37 - лечение кариеса18, 38, 48, 26 - удаление Точно ли везде нужно лечить пульпит? И можно ли сохранить 26ой зуб, или нет смысла? Ссылка на комментарий
mayron Опубликовано 19 ноября, 2017 Автор Поделиться Опубликовано 19 ноября, 2017 Так же могу дать архив с КТ, или выложить фото в нужной проекции. Ссылка на комментарий
Гарриевич Опубликовано 20 ноября, 2017 Поделиться Опубликовано 20 ноября, 2017 Пульпиты однозначно или врач будет смотреть по ситуации?Выложите срезы в области 26: по какой причине говорят удалять? Ссылка на комментарий
IvanK Опубликовано 20 ноября, 2017 Поделиться Опубликовано 20 ноября, 2017 Прокомментируйте пож-та план лечения очень похоже по поводу 26 - надо смотреть срезы и определиться с Вашими желаниями) Ссылка на комментарий
mayron Опубликовано 7 декабря, 2017 Автор Поделиться Опубликовано 7 декабря, 2017 Тему можно закрывать, всем спасибо, лечение в процессеУдалили 8ки и 26Пролечили пульпит Ссылка на комментарий
Рекомендуемые сообщения