Xael Опубликовано 17 ноября, 2017 Поделиться Опубликовано 17 ноября, 2017 (изменено) Доброго всем дня/вечера/ночи/утра. Не прошло и недели, а у меня уже новая и очень серьезная проблема Все местные врачи отказываются помогать, некоторые говорят, что, якобы, все в порядке. Другие, даже те, кто признают, что ситуация очень нездоровая, не понимают, что происходит с моими (многострадальными уже) зубами, и тоже отказывают в лечении. Итак, что называется, клиническая картина. Ряд зубов и только он (1.1, 1.2, 1.3 и 2.1, 2.2, 2.3), т.е. только! верхняя челюсть и только передние резцы, клыки стремительно разрушаются, пока что, в пределах эмали. Эмаль этих зубов блестящая, прозрачная, но покрыта горизонтальными как-бы волнами, идущими от основания зуба к режущему краю. Кончики зубов прозрачные совсем, как стекло. Примерно 2 недели назад эмаль на этих зубах начала выкрашиваться по всей их передней (губной) поверхности, потом уже просто глубоко скалываться у десневого края, обнажая подлежащий эмалевый слой, очень неровный, угловато-бугристый. Края сколов тоже неровные, любой формы, имеют резкий переход по глубине с еще незатронутыми участками. При сильном, боковом освещении видно, что на некоторых зубах есть небольшой кариес в стадии белого пятна. Он настолько слабо выражен, что большинство стоматологов его просто не замечают (их световое оборудование не дает необходимого уровня интенсивности освещения). Но зубы крошатся по всей передней поверхности, гораздо сильнее у десен, но и там, где белых пятен не видно вовсе. Если это кариес, то какой-то очень зверско-быстрый и скрытный, на зубах нет никаких коричневых, темных участков. Почему он только на этих зубах. Это точно не клиновидный дефект, разрушения не гладкие, есть и у режущего края. Не похоже и на абфракцию (у меня бруксизм), т.к. она бывает у десны только. На других зубах никаких абфракций пока нет. Такое ощущение, что эмаль этих зубов стала совсем слабой, хрупкой. Но почему именно этих. Может, какие-то гормональные нарушения? Но они бывают на всех зубах сразу, как я понимаю. Одеваю капу на ночь (только верхняя челюсть), произошло кислотное поражение зубов в изоляции от слюны? Неужели за неделю так убил себе зубы Откуда взялась тогда эта кислота. Последние пару месяцев беспокоил стоматит языка, округлые язвы 1 см в диаметре, обнажающие подлежащие ткани слизистой.Меня чем-то заразили в стоматологии где-то, судя по всему. Был и обширный гингивит, но сейчас его уже нет. Сначала я уверял себя, слушая местных стоматологов, что ничего ужасного, все обойдется, но теперь мне уже реально страшно за эти зубы. Зуб 2.3 настолько сильно уже выкрошился, что это видно теперь даже посторонним людям, не врачам. Зубы 1.1 и 2.1. обширно скололись вчера по боковым краям Уважаемые врачи форума, помогите спасти зубы! Что же ЭТО ТАКОЕ с ними происходит? ( П.С. Еще вспомнил - пользуюсь ROCS Minerals (ремин. гель), тоже, только на верхних зубах, заливаю в каппу. Может ли так быть, что его состав - питательная среда для кариесогенных бактерий? Может, они расплодились на этих зубах из-за геля? На всех остальных зубах вообще нет белого кариеса. Изменено 17 ноября, 2017 пользователем Xael Ссылка на комментарий
red_butler Опубликовано 17 ноября, 2017 Поделиться Опубликовано 17 ноября, 2017 http://forum.stom.ru/topic/20613-sovety-patcientam-obiazatelno-k-prochteniiu/ Ссылка на комментарий
Xael Опубликовано 18 ноября, 2017 Автор Поделиться Опубликовано 18 ноября, 2017 http://forum.stom.ru/topic/20613-sovety-patcientam-obiazatelno-k-prochteniiu/ Добавляю снимки. Много читал Сеть, вывод простой: зубы стерты зубной щеткой (да, за 2 недели вот так дико сильно стерты).Эмаль стала хрупкая, как грязь.Причина стираемости: скорее всего, сильнейший гормональный сбой, неизвестной (пока) природы. Анализы сдам в понедельник, смысла особого нет, правда Гормональные сбои лечатся очень долго, а зубы пожираются кариесом и крошатся просто на глазах.А ведь у меня еще и бруксизм ((Увы, их не спасти (((( Ссылка на комментарий
red_butler Опубликовано 18 ноября, 2017 Поделиться Опубликовано 18 ноября, 2017 Выложите еще раз снимки. Но без "художеств" Ссылка на комментарий
Xael Опубликовано 19 ноября, 2017 Автор Поделиться Опубликовано 19 ноября, 2017 Выложите еще раз снимки. Но без "художеств" Хорошо, вот без каракулей моих снимки: Ссылка на комментарий
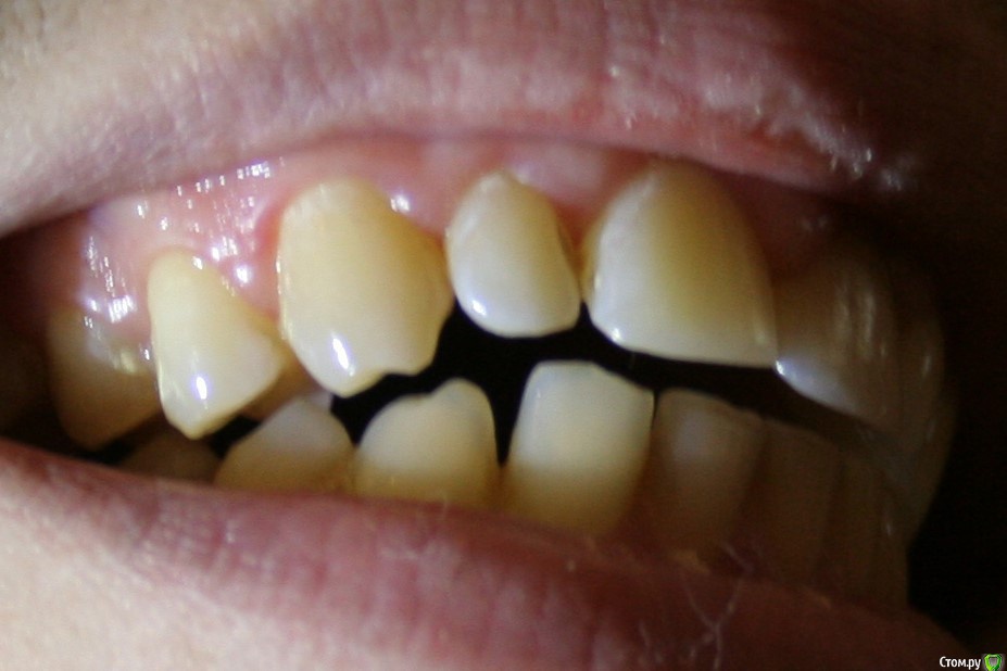
red_butler Опубликовано 19 ноября, 2017 Поделиться Опубликовано 19 ноября, 2017 похоже это кариес...нужна профгигиена с коррекцией индивидуальной и ремотерапия Ссылка на комментарий
Xael Опубликовано 19 ноября, 2017 Автор Поделиться Опубликовано 19 ноября, 2017 еще пара фото тут: http://www.fotolink.su/v.php?id=40fad3dc000fede9d86b5793b6bcdd8bhttp://www.fotolink.su/v.php?id=b358f8ef21562d357f150a013a5d2fdd Ссылка на комментарий
Xael Опубликовано 19 ноября, 2017 Автор Поделиться Опубликовано 19 ноября, 2017 похоже это кариес...нужна профгигиена с коррекцией индивидуальной и ремотерапия Все эти белые разводы внутри зубов это кариес? Они очень обширные, там, где эмаль не крошилась пока. Просто я думал, что это от гормональных изменений в тканях зуба. А кариес появился уже после выкрашивания поверхности эмали, т.к. она крайне шероховатая теперь. Вы считаете, можно отполировать эти зубы? Но они поражены сильнее всего возле десны, и даже под ней, на шейке зуба уже есть кариес черный. Пугает стремительность гниения. Сегодня прочитал, что гингивит может давать некую кислоту в рот. полость, которая убивает эмаль. Может, мой случай? Ссылка на комментарий
red_butler Опубликовано 19 ноября, 2017 Поделиться Опубликовано 19 ноября, 2017 Сегодня прочитал, что гингивит может давать некую кислоту в рот. полость, которая убивает эмаль. Может, мой случай? кислоту продуцируют микробы, гингивит и частичная деминерализация следствие огрехов в индивидуальной гигиене. Ссылка на комментарий
Xael Опубликовано 19 ноября, 2017 Автор Поделиться Опубликовано 19 ноября, 2017 нужна профгигиена с коррекцией индивидуальной и ремотерапия Прочитал сейчас, что нужно пломбировать все эти неровности и сколы, ремотерапия поможет только, если пятна еще гладкие. Я не заметил, что зубы покрылись этой деминерализацией и посдирал эмаль щеткой, выходит. Вот жесть... Просто слишком быстро они появились... Многие из этих дефектов глубокие достаточно, в них обязательно будет развиваться кариес? Сейчас там просто негладкие участки эмали, чисто визуально, во всяком случае. Получается, нужно сверлить и пломбировать множество мест на каждом зубе? Капец... Ссылка на комментарий
Xael Опубликовано 19 ноября, 2017 Автор Поделиться Опубликовано 19 ноября, 2017 (изменено) Блин, сейчас еще прочитал, что такие разрушения могут начаться из-за ультразвуковой чистки зубов. А ведь мне ее делали, и как раз примерно 2-3 месяца назад Практически уверен теперь, что из-за ультразвука пошли все эти трещины и сколы. Бруксизм у меня был давно, но он зубы не колол, пока я не сходил в эту долбанную деревенскую стоматологию и не сделал эту чистку ( Изменено 19 ноября, 2017 пользователем Xael Ссылка на комментарий
St. Опубликовано 19 ноября, 2017 Поделиться Опубликовано 19 ноября, 2017 сейчас еще прочитал, что такие разрушения могут начаться из-за ультразвуковой чистки зубов. А ведь мне ее делали, и как раз примерно 2-3 месяца назад Извините, но глупости читаете, на проф.чистке повредить зубы невозможно Ссылка на комментарий
Xael Опубликовано 19 ноября, 2017 Автор Поделиться Опубликовано 19 ноября, 2017 (изменено) Извините, но глупости читаете, на проф.чистке повредить зубы невозможно Дело в том, что тут сложились сразу 2 неблагоприятных фактора, судя по всему. Непрофессионализм "врача" (просто студентка, как потом выяснилось), которая, видимо, выставила максимальную мощность работы инструмента, длительно касалась зубов, отключила подачу воды к обрабатываемым зубам и т.п. И тот момент, что у меня, скорее всего, была уже частично деминерализована эмаль в некоторых областях зубов (сейчас сколы самые глубокие у десен, прям по контуру десны у зуба, т.е. там, где был вредоносный зуб камень, плюс, она могла понаделать мне микротрещин и в других областях зубов, отсюда и белый кариес там уже сейчас). Т.е. такие последствия вполне возможны, на мой взгляд, если пациент не совсем со здоровыми зубами, а врач (в моем случае, просто "рвач") - никакой специалист. П.С. Кстати, раз уж Вы ответили один раз в этой теме... Может, посоветуете какой-то вариант лечения моих зубов. Пломбировать или шлифовать или только под коронки теперь их. Я сам в растерянности полной, ото всех ужасов и проблем, которые на меня навалились со стороны зубов, за последние 2 месяца Изменено 19 ноября, 2017 пользователем Xael Ссылка на комментарий
red_butler Опубликовано 21 ноября, 2017 Поделиться Опубликовано 21 ноября, 2017 Дело в том, что тут сложились сразу 2 неблагоприятных фактора, судя по всему.все намного проще... она могла понаделать мне микротрещинне могла врач (в моем случае, просто "рвач") - никакой специалист. за это можно и бан на форуме получить... Ссылка на комментарий
Xael Опубликовано 21 ноября, 2017 Автор Поделиться Опубликовано 21 ноября, 2017 за это можно и бан на форуме получить... Хорошо, прошу извинить, если чем-то задел, нервы сдают уже, просто. не могла Здесь, на форуме есть тема о вреде ультразвука для не самых идеальных зубов. Я поверил сообщениям там, еще было много подобных тем на других форумах. Думаю, нет смысла дальше об этом спорить, утраченного уже, все равно, не вернуть. все намного проще... Необходимая профгигиена включает в себя шлифовку/полировку зубов? Или можно оставить их прям такими выщербленными (не знаю, будет ли кариес усугубляться от неровностей в эмали, но точно будет клиновидный дефект в ближайшем будущем, я так понимаю). Так и не понял, каким лечением спасти эти зубы. В любом случае, спасибо за ответы, спасибо, что тратите на меня свое время. Ссылка на комментарий
Рекомендуемые сообщения
Для публикации сообщений создайте учётную запись или авторизуйтесь
Вы должны быть пользователем, чтобы оставить комментарий
Создать аккаунт
Зарегистрируйте новый аккаунт в нашем сообществе. Это очень просто!
Регистрация нового пользователяВойти
Уже есть аккаунт? Войти в систему.
Войти