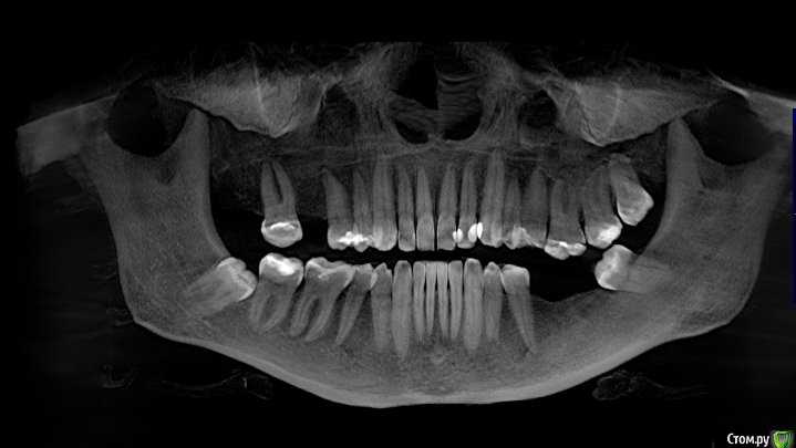
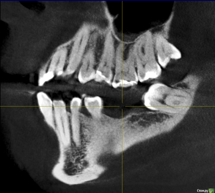
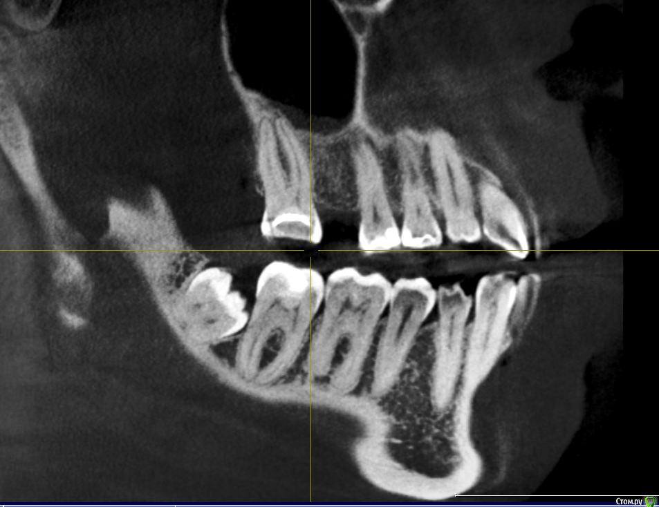
Mariia Опубликовано 9 ноября, 2017 Поделиться Опубликовано 9 ноября, 2017 Уважаемые доктора, добрый день!Посоветуйте, пожалуйста, что можно сделать в моем случае. Давно нет 3-х зубов (более 10 лет), стали стираться 7-ки справа, верхняя 6-ка слева стала опускаться.После нескольких консультаций окончательно запуталась в планах лечения.Понятно, что необходимо устанавливать 3 импланта, но как это сделать? - предлагают ортодонтическое лечение на верхней 6 справа (ставить миниипланты и поднимать) и верхней 7 слева (сдвигать ее, освобождая место для установки импланта, полностью имитирующий нормальный жевательный зуб). - и второе мнение: 7 не сдвигать, поставить вкладку, а 6 спиливать, депульпировать (скорее всего) и ставить керамическую вкладку. 6-ку не поднимать, так как гайморова пазуха находится близко к корню. Собственно, в комплексе с ортодонтией все лечение выходит очень дорогим.Что скажете? КТ по ссылкеhttps://yadi.sk/d/cSYIaF3p3PZFnb Ссылка на комментарий
Bier Опубликовано 10 ноября, 2017 Поделиться Опубликовано 10 ноября, 2017 Посмотрел Вашу КТ.Справа в принципе можно ортодонтией не заниматься, а поставить имплантат в позицию 16зуба, коронка будет чуть меньше стандартной. Проблемы скорее всего не будет. Слева ситуация сложнее. Надо удалить 28,38 зубы, внедрить на миниимплантатах 26з и имплантировать 36,37з Ссылка на комментарий
Mariia Опубликовано 10 ноября, 2017 Автор Поделиться Опубликовано 10 ноября, 2017 Спасибо, что уделили время. Хотела уточнить, что, помимо 6, хотят поставить брекеты на 7 и 5. Это действительно необходимо? Или только нужно тянуть 6. Ссылка на комментарий
колесников Опубликовано 10 ноября, 2017 Поделиться Опубликовано 10 ноября, 2017 48,28,38 удалить. Импланты 16,36,37. Пластика десны в области имплантов 36,37. Керамическая вкладка (пломба) на 17,26,27 Ссылка на комментарий
Bier Опубликовано 11 ноября, 2017 Поделиться Опубликовано 11 ноября, 2017 Имеется в виду слева? Возможно это нужно ортодонту для контроля вектора перемещения. Ссылка на комментарий
Mariia Опубликовано 11 ноября, 2017 Автор Поделиться Опубликовано 11 ноября, 2017 Да, слева. Если можно, перенесите, пожалуйста, тему в ортодонтию. Не понятно, что делать с 5 и 7 зубами слева. Требуют ли они ортопедического и ортодонтического контроля? Спасибо Ссылка на комментарий
red_butler Опубликовано 11 ноября, 2017 Поделиться Опубликовано 11 ноября, 2017 Да, слева. Если можно, перенесите, пожалуйста, тему в ортодонтию. Не понятно, что делать с 5 и 7 зубами слева. Требуют ли они ортопедического и ортодонтического контроля? Спасибо Перенес, но данный раздел требует больше информации http://forum.stom.ru/topic/4655-patcientam/ Ссылка на комментарий
Mariia Опубликовано 12 ноября, 2017 Автор Поделиться Опубликовано 12 ноября, 2017 Добрый день, и еще одно мнение: 7 справа не трогать, поставить вкладку. А в будущем провести ортодонтическое лечение: 7ку или поставить на место 6ки или отодвинуть и освободить место под полноценный имплант (доктор видит риск резорбции и травмы соседних зубов из-за недостатка места, тонкий имплант ставить не рекомендует)А слева предлагает сделать подсадку костной ткани на нижней челюсти - 6 и 7 зубы, чтобы поставить полноценный имплант (тонкий не рекомендует, хотя на прошлых консультациях мне предлагали как раз полноценный и костной ткани хватало). К сожалению, по моей КТ не показали, где идет истончение. Предложил сделать на другом оборудовании и с другим просмотрщиком, чтобы аргументировать свою точку зрения. Соответственно, 8 удаляем. Настолько ли моя КТ не информативна? Нужна ли КТ на операции? Возможен ли такой план лечения? Есть ли какой-то стандартизированный план лечения по моему случаю? Фото выложу чуть позже.Спасибо. Ссылка на комментарий
Рекомендуемые сообщения
Для публикации сообщений создайте учётную запись или авторизуйтесь
Вы должны быть пользователем, чтобы оставить комментарий
Создать аккаунт
Зарегистрируйте новый аккаунт в нашем сообществе. Это очень просто!
Регистрация нового пользователяВойти
Уже есть аккаунт? Войти в систему.
Войти