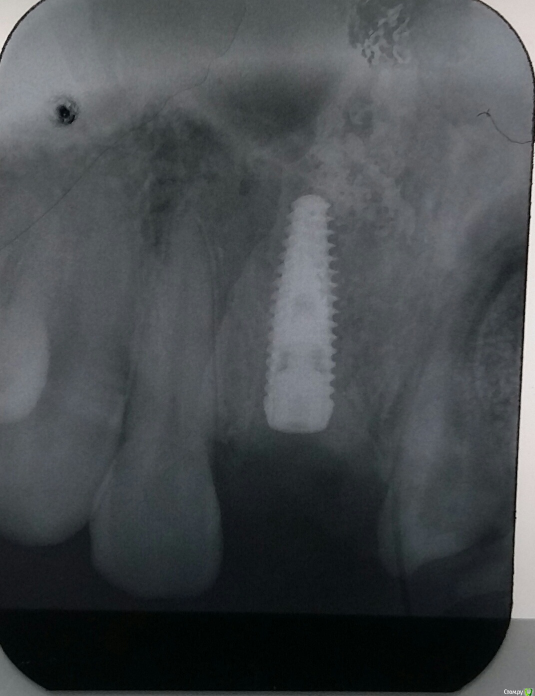
Kostoprav Опубликовано 8 ноября, 2017 Поделиться Опубликовано 8 ноября, 2017 заранее извиняюсь за качество фотографийдумал сделать все в один этап но торка ожидаемого не получил, поэтому пришлось накрыть винт випом.(материал osteobiol putyy) мне он очень понравиля ,удобный в работе. 17 Ссылка на комментарий
колесников Опубликовано 8 ноября, 2017 Поделиться Опубликовано 8 ноября, 2017 (изменено) Здравствуйте!Почему Вип,а не сст? Что за замазка? Какой период наблюдения с реставрацией? Изменено 8 ноября, 2017 пользователем колесников Ссылка на комментарий
red_butler Опубликовано 8 ноября, 2017 Поделиться Опубликовано 8 ноября, 2017 Что за замазка? (материал osteobiol putyy) Ссылка на комментарий
Santi Опубликовано 8 ноября, 2017 Поделиться Опубликовано 8 ноября, 2017 Добрый день , а какой получили торк по итогу? И можете ли выложить срезы КТ до ? Ссылка на комментарий
Kostoprav Опубликовано 8 ноября, 2017 Автор Поделиться Опубликовано 8 ноября, 2017 (изменено) putty перевод с английского как замазка, с випом больше шансов что он выживет поскольку есть питающая ножка, период наблюдения приблизительно год Изменено 8 ноября, 2017 пользователем Kostoprav Ссылка на комментарий
Kostoprav Опубликовано 8 ноября, 2017 Автор Поделиться Опубликовано 8 ноября, 2017 Торк был не достаточный для временной реставрации. Около 20. Я не рискнул.Срезы если найду выложу, хотя там ситуация стандартная ничего из ряда вон выходящего Ссылка на комментарий
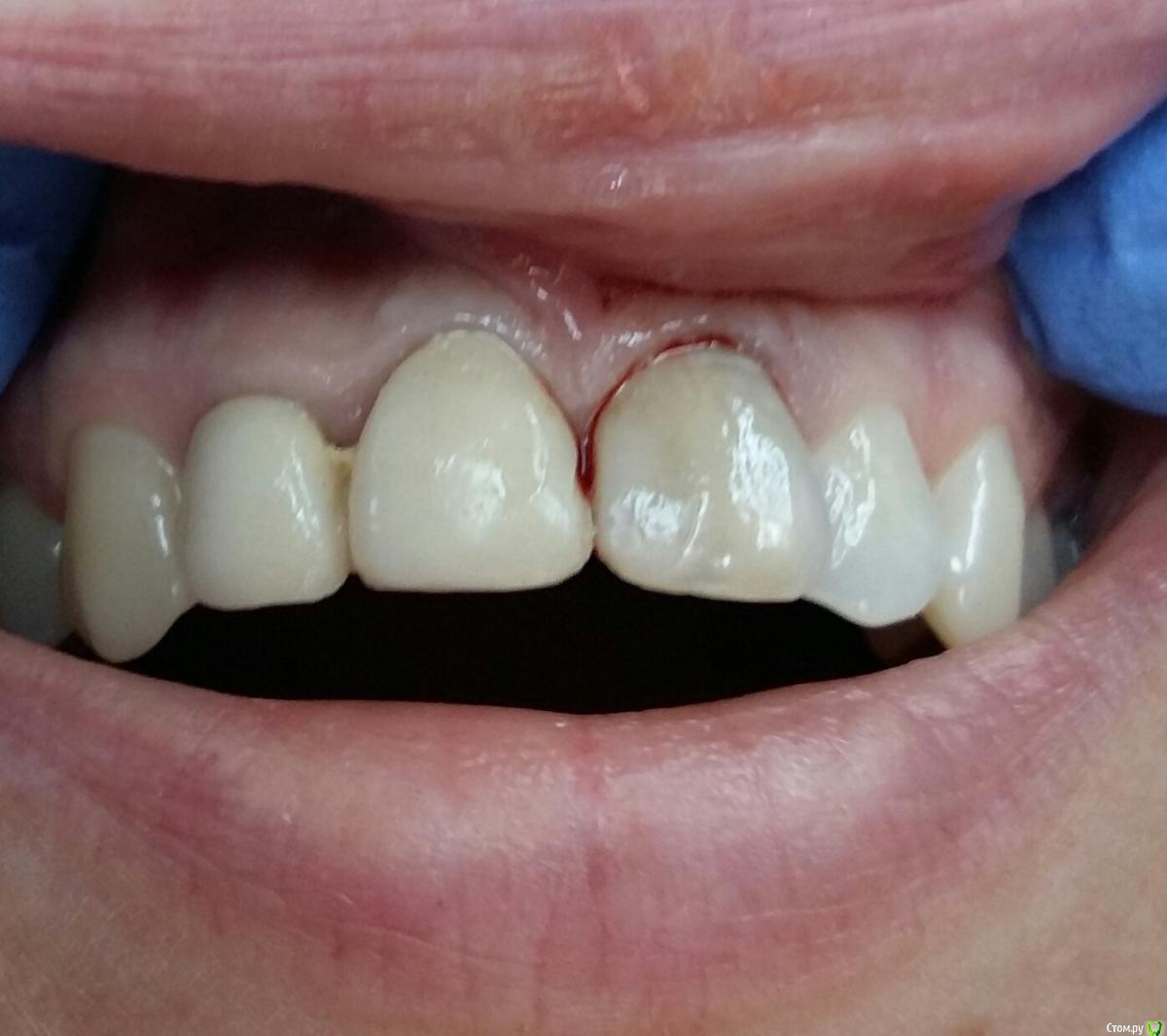
StomV Опубликовано 9 ноября, 2017 Поделиться Опубликовано 9 ноября, 2017 Итоговый результат нравится,хорошо получилось. Ссылка на комментарий
Рекомендуемые сообщения
Для публикации сообщений создайте учётную запись или авторизуйтесь
Вы должны быть пользователем, чтобы оставить комментарий
Создать аккаунт
Зарегистрируйте новый аккаунт в нашем сообществе. Это очень просто!
Регистрация нового пользователяВойти
Уже есть аккаунт? Войти в систему.
Войти