Xael Опубликовано 6 ноября, 2017 Поделиться Опубликовано 6 ноября, 2017 (изменено) Здравствуйте, уважаемые врачи и просто читатели этого замечательного (безо всякого сарказма) форума! У меня, как неожиданно выяснилось, уже несколько лет бруксизм, сильная стираемость зубов А 2 недели назад болезнь, внезапно, вообще, нанесла непоправимый и катастрофический урон моим зубам (С проблемами большинства пострадавших зубов удалось как-то, худо-бедно, но справиться, но вот один... так и не могу вылечить, местные врачи разводят руками. 1. начал он болеть после особо сильного приступа бруксизма (днем был большой стресс, затем сильно сжал и тер зубы во сне)2. на 4 зубах, включая и этот, сбоку появились вертикальные трещины, еще один стал болеть от стертости (прошел за пару дней после Фторлака), на еще одном выкрошилась пломба (починили уже)3. визуально: жеват. поверхность коронки зуба не расколота, трещина выглядит неглубокой и не уходит под десну, но сама десна покрасневшая, под двумя соседними зубами она теперь постоянно содержит какие-то белесые пятна, но именно классич. свища и гноетечения не видно нигде4. на рентгене ничего криминального (смотрели разные врачи), да и рано еще для изменений в кости5. болит явно больше вечером6. всегда болит при накусывании, шевелении его языком и т.д. (движение зуба из стороны в сторону)7. если сильно разболелся, то болит постоянно, любое, даже самое нежнейшее, прикосновение резко усиливает боль8. если сильно разболелся, то реагирует даже на изменение температуры окружающей среды (улица- помещение)9. постоянная боль ощущается как очень сильное онемение, с толикой жжения, зуб "горячий", иногда боль отдает в зубы над ним, но в глаза, шею или уши не иррадирует, никогда10. если его СОВСЕМ не трогать (это чрезвычайно сложно) в течение 4-5 часов, то он может постепенно совсем перестать болеть, чувствительность к любым раздражителям почти полностью пропадает, но жевать на нем все равно нельзя, опять заболит11. очень редко его дергает, как от нарыва12. соседние с ним зубы тоже болели, похожим образом, но гораздо слабее и давно перестали13. никогда не болит от постукиваний по нему инструментом стоматолога 14. если разболелся, иногда удается успокоить очень холодным компрессом15. всегда частично помогает стомат.гель Холисал (странно, ведь он действует только на десну, по идее)16. всегда помогает препарат Кетанов (но его нельзя пить каждый день, увы)17. Фторлак не помогает совсем18. на горячее не реагирует, на холодное есть некоторая реакция19. болит уже 2 недели и не ослабевает, иногда уровень боли достигает пульпитного, почти ничего не ем и плохо сплю, т.ч. плиз ХЕЛП! П.С. знаю, по правилам форума, нужно разместить рентген-фото, но в моем случае оно не имеет особого смысла, т.к., как мне объяснили, так быстро изменения в костн. ткани не произойдут. Изменено 6 ноября, 2017 пользователем Xael Ссылка на комментарий
chervoncevdaniil Опубликовано 6 ноября, 2017 Поделиться Опубликовано 6 ноября, 2017 Бруксизм,к сожалению,не лечится,стоит вопрос лишь о защите зубов и реставраций.Чаще всего такие ситуации решаются тотальным протезированием с восстановлением стертых тканей из материалов,которые способны выдерживать нагрузки,развиваемые при бруксизме.Вам нужен очень хороший специалист,коих в Уфе я думаю найти реально Ссылка на комментарий
red_butler Опубликовано 6 ноября, 2017 Поделиться Опубликовано 6 ноября, 2017 http://forum.stom.ru/topic/20613-sovety-patcientam-obiazatelno-k-prochteniiu/ 1 Ссылка на комментарий
Xael Опубликовано 6 ноября, 2017 Автор Поделиться Опубликовано 6 ноября, 2017 Спасибо за Ваш комментарий. Дело в том, что пока так далеко я не загадываю. Остальные зубы, хотя бы, пока не болят. Мне бы как-то избавиться от боли в этом, мучающем меня Хотел уже его депульпировать, меня отговорили, сказали, что, возможно, это повреждение в десневом прикреплении, периодонте, мол, заживет. Не знаю, что и думать. Бруксизм,к сожалению,не лечится,стоит вопрос лишь о защите зубов и реставраций.Чаще всего такие ситуации решаются тотальным протезированием с восстановлением стертых тканей из материалов,которые способны выдерживать нагрузки,развиваемые при бруксизме.Вам нужен очень хороший специалист,коих в Уфе я думаю найти реально Ссылка на комментарий
Xael Опубликовано 6 ноября, 2017 Автор Поделиться Опубликовано 6 ноября, 2017 http://forum.stom.ru/topic/20613-sovety-patcientam-obiazatelno-k-prochteniiu/ Хорошо, завтра поеду, заберу фотографию в клинике. Прошу не закрывать пока тему. Ссылка на комментарий
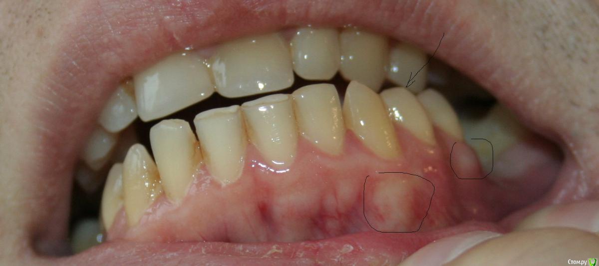
Xael Опубликовано 7 ноября, 2017 Автор Поделиться Опубликовано 7 ноября, 2017 (изменено) Добавляю рентген-фото больного зуба 3.4: Добавляю также фото больной(?) десны: Изменено 7 ноября, 2017 пользователем Xael Ссылка на комментарий
red_butler Опубликовано 7 ноября, 2017 Поделиться Опубликовано 7 ноября, 2017 снимок не информативен, верхушка корня не видна.Нужны термо проба хладагентом и/или ЭОД Ссылка на комментарий
Xael Опубликовано 7 ноября, 2017 Автор Поделиться Опубликовано 7 ноября, 2017 снимок не информативен, верхушка корня не видна.Нужны термо проба хладагентом и/или ЭОД Жаль, ладно, попозже съезжу-сделаю еще снимок. Проба хладагентом это когда стоматолог дует воздухом на зуб? Делалась неоднократно. Зуб не болит сильнее при этом, ощущение такое же, как и на здоровых. Может, потому, что в эти моменты времени он, вообще, не так сильно болел, не знаю. Спасибо Вам за ответ. Ссылка на комментарий
red_butler Опубликовано 7 ноября, 2017 Поделиться Опубликовано 7 ноября, 2017 Проба хладагентом это когда стоматолог дует воздухом на зуб? нет, это когда зуб охлаждают до - 40 Ссылка на комментарий
Xael Опубликовано 7 ноября, 2017 Автор Поделиться Опубликовано 7 ноября, 2017 нет, это когда зуб охлаждают до - 40 Понятно, тогда сейчас обзвоню местные клиники, может, где-то делают такое. Ссылка на комментарий
red_butler Опубликовано 7 ноября, 2017 Поделиться Опубликовано 7 ноября, 2017 Понятно, тогда сейчас обзвоню местные клиники, может, где-то делают такое.Как правило для этого используется газ из баллончика под давлением, например - "эндофрост" Ссылка на комментарий
Xael Опубликовано 7 ноября, 2017 Автор Поделиться Опубликовано 7 ноября, 2017 снимок не информативен, верхушка корня не видна.Нужны термо проба хладагентом и/или ЭОД Переделал снимок, термо и ЭОД только завтра возможны Ссылка на комментарий
red_butler Опубликовано 9 ноября, 2017 Поделиться Опубликовано 9 ноября, 2017 Переделал снимок, термо и ЭОД только завтра возможны up Ссылка на комментарий
Xael Опубликовано 12 ноября, 2017 Автор Поделиться Опубликовано 12 ноября, 2017 Тесты сделать не вышло , единственная клиника делает, очередь там огромная. Но зуб этот перестал болеть, пока что, отдыхаю, впервые, за долгое время. Причина сильнейших болей до сих пор непонятна, грешу на инфекцию в слизистой какую-то. Неужели из-за воспаления десны так может мучить, я прям в растерянности... Думаю, тему можно закрывать. Еще раз спасибо всем, кто помогал советами. Ссылка на комментарий
Xael Опубликовано 19 ноября, 2017 Автор Поделиться Опубликовано 19 ноября, 2017 Блин, сейчас еще прочитал, что такие разрушения могут начаться из-за непрофессиональной ультразвуковой чистки зубов. А ведь мне ее делали, и как раз примерно 2-3 месяца назад Практически уверен теперь, что из-за ультразвука пошли все эти трещины. Бруксизм у меня был давно, но он зубы не колол, пока я не сходил в эту долбанную деревенскую стоматологию и не сделал эту чистку ( Ссылка на комментарий
Рекомендуемые сообщения
Для публикации сообщений создайте учётную запись или авторизуйтесь
Вы должны быть пользователем, чтобы оставить комментарий
Создать аккаунт
Зарегистрируйте новый аккаунт в нашем сообществе. Это очень просто!
Регистрация нового пользователяВойти
Уже есть аккаунт? Войти в систему.
Войти