Перейти к содержанию
Стоматология для всех

Подскажите что за система имплантата?


Рекомендуемые сообщения

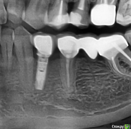
Коллеги добрый вечер. Может кто узнает систему - очень надо, со слов пациента ставил 10 лет назад. Внешне размер платформы примерно 3.5 мм, ключ подошел корейский 1.2, формирователь закрутилс(хоть и не до конца) от Osstem mini/ Внешне напоминает xive или antogyr. Буду очень благодарен.

post-30892-0-44371500-1509647331_thumb.jpg

post-30892-0-11759400-1509647340_thumb.jpg

post-30892-0-40246600-1509647348_thumb.jpg

post-30892-0-12090600-1509647409_thumb.jpg

post-30892-0-25993700-1509647415_thumb.jpg

Ссылка на комментарий

Для публикации сообщений создайте учётную запись или авторизуйтесь

Вы должны быть пользователем, чтобы оставить комментарий

Создать аккаунт

Зарегистрируйте новый аккаунт в нашем сообществе. Это очень просто!

Регистрация нового пользователя

Войти

Уже есть аккаунт? Войти в систему.

Войти
×
×
  • Создать...
Вверх