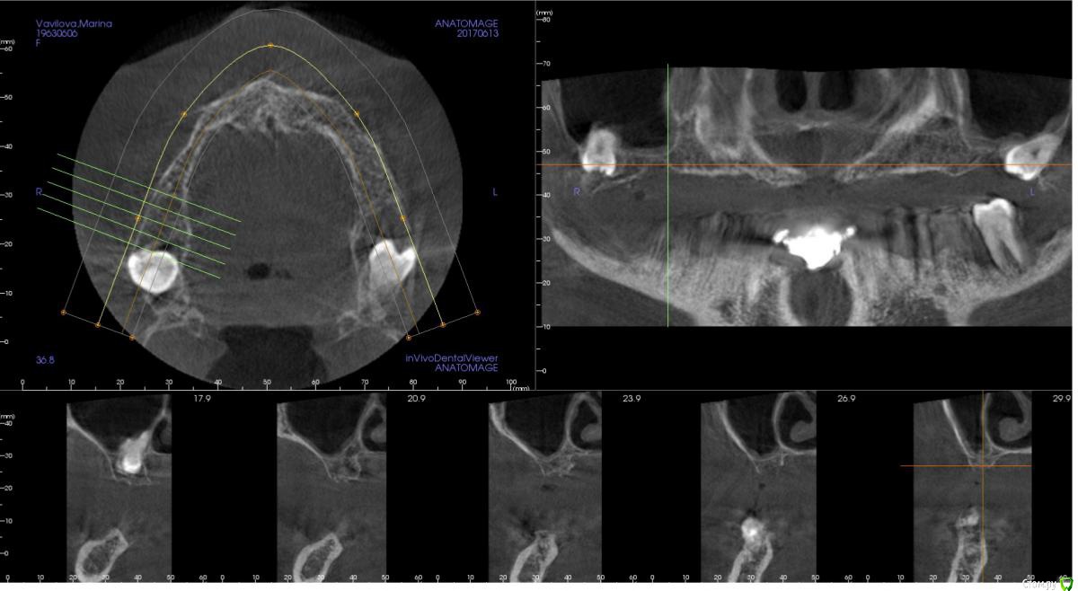
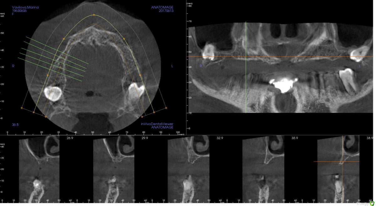
kamranchick Опубликовано 2 ноября, 2017 Поделиться Опубликовано 2 ноября, 2017 (изменено) Планируется установка 3 имплантатов в 1 сегменте, и будет балочная конструкция.хочется пойти двухэтапным протоколом. так как гигиена и вредные привычки меня отпугивают.Какой вариант тут будет предпочтительным Изменено 2 ноября, 2017 пользователем kamranchick Ссылка на комментарий
Павел7809 Опубликовано 2 ноября, 2017 Поделиться Опубликовано 2 ноября, 2017 А сколько всего планируется имплантов? А если только во фронте 4 поставить? Ссылка на комментарий
kamranchick Опубликовано 2 ноября, 2017 Автор Поделиться Опубликовано 2 ноября, 2017 А сколько всего планируется имплантов? А если только во фронте 4 поставить?6 имплантатов, 3 с одной поставил, теперь 3 с другой, во фронте кости кот наплакал( Ссылка на комментарий
Тимур86 Опубликовано 2 ноября, 2017 Поделиться Опубликовано 2 ноября, 2017 яб синус лучше сделал Ссылка на комментарий
Павел7809 Опубликовано 2 ноября, 2017 Поделиться Опубликовано 2 ноября, 2017 А зачем тогда балка? Можно и привинтить на 6.. Ссылка на комментарий
Evikrol Опубликовано 2 ноября, 2017 Поделиться Опубликовано 2 ноября, 2017 Две зигомы без нкр с нагрузкой Ссылка на комментарий
kamranchick Опубликовано 2 ноября, 2017 Автор Поделиться Опубликовано 2 ноября, 2017 Гигиена просто катастрофа.Балка чтобы конструкция была условно сьеигаячСинусы планирую тоже сделать.А насчёт зигом ну это слишком)))) Ссылка на комментарий
zzkz Опубликовано 3 ноября, 2017 Поделиться Опубликовано 3 ноября, 2017 согласен за синус и отсроченную нагрузку через 6 мес Ссылка на комментарий
Bier Опубликовано 3 ноября, 2017 Поделиться Опубликовано 3 ноября, 2017 синус и сосидж 1 Ссылка на комментарий
kamranchick Опубликовано 3 ноября, 2017 Автор Поделиться Опубликовано 3 ноября, 2017 Крутяк, спасибо Хлопцы Ссылка на комментарий
Рекомендуемые сообщения
Для публикации сообщений создайте учётную запись или авторизуйтесь
Вы должны быть пользователем, чтобы оставить комментарий
Создать аккаунт
Зарегистрируйте новый аккаунт в нашем сообществе. Это очень просто!
Регистрация нового пользователяВойти
Уже есть аккаунт? Войти в систему.
Войти