ellenchik Опубликовано 4 февраля, 2019 Автор Поделиться Опубликовано 4 февраля, 2019 Вот новая ссылка на КТ. https://drive.google.com/open?id=1EwSRZ27cWP7Db-e7HNDXlEHf6pIaYeYO Очень надеюсь,что правильно. Ссылка на комментарий
___49___ Опубликовано 4 февраля, 2019 Поделиться Опубликовано 4 февраля, 2019 404. Произошла ошибка.Не удалось найти запрошенный URL на этом сервере. Это все, что мы знаем. Ссылка на комментарий
ellenchik Опубликовано 4 февраля, 2019 Автор Поделиться Опубликовано 4 февраля, 2019 ОК, Спасибо огромное Вам за Ваше терпение и внимание... вот корректная ссылкаhttps://drive.google.com/drive/folders/1EwSRZ27cWP7Db-e7HNDXlEHf6pIaYeYO Ссылка на комментарий
___49___ Опубликовано 4 февраля, 2019 Поделиться Опубликовано 4 февраля, 2019 (изменено) Елена вы же культурный , вежливый человек - для вас приятно работать качаю/Скачал , увы у меня на компе это выглядит вот так при попытке распаковать .....Попробую еще сегодня вечером помучить комп . Изменено 4 февраля, 2019 пользователем ___49___ 1 Ссылка на комментарий
ellenchik Опубликовано 4 февраля, 2019 Автор Поделиться Опубликовано 4 февраля, 2019 ...sorri, просто засада какая-то... Программист подсказал такое решение: "Ошибка при запуске программы возникает из-за того, что путь до архива, в Вашем случае это B:\работа\кт2\ , - содержит русские символы - кириллицу . Скопируйте архив в корень диска B:\ и запустите оттуда." Даже уже и не смею надеяться, Доктор... :-) Спасибо! Ссылка на комментарий
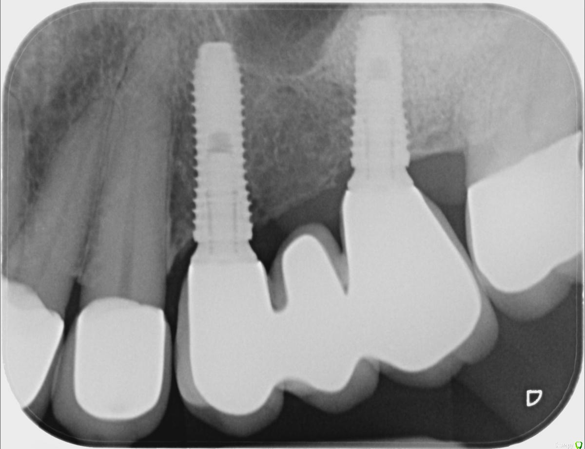
ellenchik Опубликовано 6 февраля, 2019 Автор Поделиться Опубликовано 6 февраля, 2019 Добрый вечер. Сделала сегодня прицельный снимок . Врач говорит,что проблема в имплантате. Она видит там воспаление. Прокомментируйте,пожалуйста, снимок. Спасибо! С уважением Елена Ссылка на комментарий
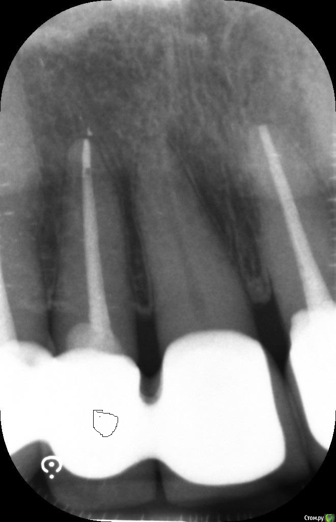
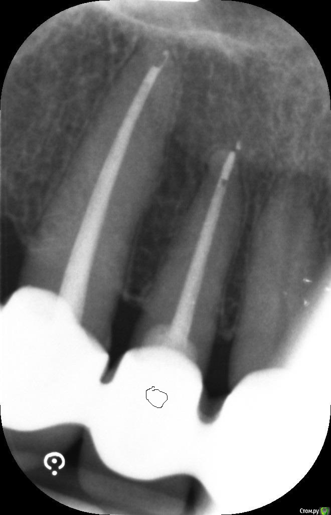
ellenchik Опубликовано 9 января, 2020 Автор Поделиться Опубликовано 9 января, 2020 Добрый день, уважаемые Доктора.Я снова к Вам за советом. После отпуска ( Перемена климата -прилетела из +25 в +2 град.) уже неделю болит уже другой передний зуб под коронкой (канал пролечен 4,5 г. назад) Болит очень высоко с внешней стороны десны в самом вверху. Особенно при нажатии точки прямо под правой ноздрёй носа. Боль жгучая,ноющая. С нёбной стороны никаких болевых ощущений. Временами такая "гуляющая" боль по передним верхним зубам. Врач сделал снимки и сказал, что надо делать резекцию верхушки корня у этого зуба и заодно у рядом стоящего зуба (по моему клык) с пролеченным каналом. Еще он где-то увидел трещину.В рот заглянул,но зубы ни на какие реакции не проверял. На снимках причинный зуб (по моим ощущениям ) с "кривым кружочком"Буду очень признательна за советы. Действительно все так плохо по снимкам и необходима резекция обоих зубов? Или есть другие варианты. И на каком зубе видна трещина? С уважанием ЕленаP.S-Прикрепляю на всякий случай старый снимок ( третий по счету ) этих зубов после лечения в 2015 г. Ссылка на комментарий
ellenchik Опубликовано 10 января, 2020 Автор Поделиться Опубликовано 10 января, 2020 Посмотрите ,пожалуйста снимки. Что можно по ним сказать?К кому лучше с этим обратиться, к хирургу или эндодонтисту?У меня еще и в понедельник 13.01 запланирована небольшая операция,отменить нельзя. (не с зубами связано) 1)Можно ли отложить лечение зуба на неделю?2). может пока Антибиотики? С уважением Елена Ссылка на комментарий
ellenchik Опубликовано 12 января, 2020 Автор Поделиться Опубликовано 12 января, 2020 Посмотрите ,пожалуйста снимки. Что можно по ним сказать?К кому лучше с этим обратиться, к хирургу или эндодонтисту?У меня еще и в понедельник 13.01 запланирована небольшая операция,отменить нельзя. (не с зубами связано) 1)Можно ли отложить лечение зуба на неделю?2). может пока Антибиотики? С уважением Елена Ссылка на комментарий
ellenchik Опубликовано 12 января, 2020 Автор Поделиться Опубликовано 12 января, 2020 Если мои снимки малоинформативны,подскажите плиииз... Сделаю новые.Но всё же надеюсь Ваши мнения по поводу резекции корней. Очень нужен компетентный взгляд со стороны. Может есть другие варианты и не так всё критично по снимку. Буду очень признательна. Ссылка на комментарий
Рекомендуемые сообщения
Для публикации сообщений создайте учётную запись или авторизуйтесь
Вы должны быть пользователем, чтобы оставить комментарий
Создать аккаунт
Зарегистрируйте новый аккаунт в нашем сообществе. Это очень просто!
Регистрация нового пользователяВойти
Уже есть аккаунт? Войти в систему.
Войти