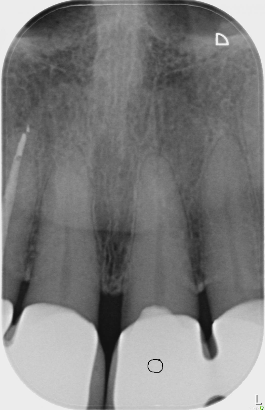
ellenchik Опубликовано 31 октября, 2017 Поделиться Опубликовано 31 октября, 2017 Уважаемые Стоматологи, Год с небольшим назад протезировала зубы в клинике в Венгрии. Летом начал болеть верхний левый передний зуб под коронкой. Реагировал на холодное, ноющая боль периодически. На очном приеме стоматолог (протезировал не он) по снимку и по пробам азотом,перкуссии ничего не находил. Сказал, ждать-наблюдать. Нерв живой,возможно всё стабилизируется. Но боль повторялась периодически. ( Чистила спец.пастой для особо чувствительных зубов, принимала ибупрофен) В сентябре на приеме тоже самое, врач не видит причины ни по снимку, ни при осмотре) Неделю назад пришла к врачу с этой же проблемой. Ноет, болит зуб под коронкой. Посмотрел зуб, проба азотом, простучал этот зуб и соседние. Надкусывание тоже безболезненное. Снимок не стал делать, сказал,слишком часто не надо. Но вот 3 дня назад я откусила булочку и на этот зуб попал тведый орешек. Через час зуб разболелся прилично и болит уже 3 дня. Боль нерезкая,ноющая, жгучая, будто заноза внутри . . Завтра иду на прием. ( я сейчас в Германии ). У меня несколько вопросов : 1. Можно ли провести еще какую-либо диагностику?2. При необходимости лечения - возможно ли провести его через коронку? Или ...?3. Можно ли что-то сказать по снимкам ? Общая рентгенопанорама - июль 2017 . Зуб уже болел.Прицельный снимок - сентябрь/ Проблемный зуб отмечен кружочком. Заранее спасибо. Ссылка на комментарий
shishok Опубликовано 31 октября, 2017 Поделиться Опубликовано 31 октября, 2017 Можно попробовать через коронку.На Рг.снимках криминала нет(при пульпитах и не бывает изменений как правило). Ссылка на комментарий
ellenchik Опубликовано 31 октября, 2017 Автор Поделиться Опубликовано 31 октября, 2017 Спасибо за ответ. Ну а ждать еще и наблюдать, как предлагает врач ( т.е. когда уже появятся изменения на снимке) ? Есть ли вероятность того, что всё же зуб "успокоиться? ( как хотелось бы верить :-) нам,пациентам ) Или уже сверлить коронку и депульпировать зуб ? Ссылка на комментарий
Гарриевич Опубликовано 1 ноября, 2017 Поделиться Опубликовано 1 ноября, 2017 Азотом через коронку вряд ли сработает. По Вашим описаниям наблюдать нет смысла, можете получить потом резкое обострение. Через коронку такой зуб лечить можно и даже желательно, при условии что коронки выполнены как надо Ссылка на комментарий
ellenchik Опубликовано 1 ноября, 2017 Автор Поделиться Опубликовано 1 ноября, 2017 Спасибо, доктор. Надеюсь,что коронки выполнены, как надо :-) Нужно ли перед лечением делать снимок? Ссылка на комментарий
Гарриевич Опубликовано 1 ноября, 2017 Поделиться Опубликовано 1 ноября, 2017 Если этих не хватать, то можно сделать Ссылка на комментарий
ellenchik Опубликовано 31 января, 2018 Автор Поделиться Опубликовано 31 января, 2018 Уважаемые доктора. Продолжу мою тему,к сожалению. В начале ноября зуб депульпировали-месяц ходила с лекарством. Боль так и не ушла. В декабре на приеме снова почистили, поставили лек-во еще на месяц. Боль периодически проходила ,потом возобновлялась снова. 8 января врач сказала, что с зубом все ОК,( хотя боль так и не прошла). Канал запломбировали, коронку закрыли пост. пломбой. Зуб болел как и прежде. Появилась небольшая боль при постукивании. На десятый день после пломбировки сделали снимок . По снимку она тоже проблемы не видит. С 18 янв . назначен Клиндазол 600 х 2 в день, 6 дней курс. После полного 6 дневного курса я жила 3 дня без боли. Сейчас уже снова все симптомы вернулись. Боль жгучая , ноющая, колющая, как будто заноза в челюсти над зубом ,или открытая рана, "растекается" иногда на два соседних зуба слева ( по рентгену они тоже вроде как ОК ), отдает в переносицу, усиливается ночью. Врач подозревает, что все же проблема в другом зубе. Но я почему-то четко чувствую этот зуб. Десна над зубом не отличается от других. Как же выяснить причину этой боли? Прицельные снимки, панорамный или комп. томография? Посмотрите,пожалуйста , снимок. Что-то можно по нему сказать? Огромное спасибо,что уделяете внимание и помогаете советами. Ссылка на комментарий
ellenchik Опубликовано 31 января, 2018 Автор Поделиться Опубликовано 31 января, 2018 Снимок от 17.01.2018. Ссылка на комментарий
red_butler Опубликовано 31 января, 2018 Поделиться Опубликовано 31 января, 2018 По снимку все хорошо, нужен очный осмотр Ссылка на комментарий
ellenchik Опубликовано 31 января, 2018 Автор Поделиться Опубликовано 31 января, 2018 По снимку все хорошо, нужен очный осмотрСпасибо за быстрый ответ! ... ну вот по очному осмотру уже два раза тоже всё хорошо :-) ...а болит и болит. Через неделю пойду снова с этой же проблемой. Врач тоже не знает, что же со мной дальше делать. Ссылка на комментарий
ellenchik Опубликовано 1 февраля, 2018 Автор Поделиться Опубликовано 1 февраля, 2018 Еще такой вопрос, подскажите пожалуйста. Пред тем, как пломбировать канал,врач еще почистила стенки канала инструментом, всё ОК - ничего не больно. Потом она нажала на дно канала. И тут я снова почувствовала резко боль. Врач сказала, что это нормально, ничего особенного, так и должно быть. Это действительно так? Ссылка на комментарий
ellenchik Опубликовано 3 мая, 2018 Автор Поделиться Опубликовано 3 мая, 2018 Уважаемые Доктора! Я снова к Вам с просьбой. Продолжу мою тему.После депульпирования 21 зуба, боль в области трех обозначенных на снимке верхних передних зубов осталась прежней. Появляется спонтанно в любое время. На перкуссию - спокойно. Боль жгучая,ноющая,разлитая.Иногда отдает в переносицу. Врач говорит,возможно у зуба № 2 большая пломба давит на нерв. Я ощущаю часто боль в зубе № 3. Несколько дней может быть всё спокойно. Принимаю Ибупрофен 400. Иногда помогает иногда нет. Ощущение,что болят эти 3 зуба. Конкретно уже не могу сказать. Будучи проездом в Питере ,сделала 3 Д томографию,но только диск без описания, к врачу не попала, к сожалению. Здесь врач (в Германии в маленьком городке ) с этим не работает. Посмотрите ,пожалуйста, общий срез-снимок. Зубы 1-2-3. Номер 1 депульпирован в январе, как предполагаемый источник проблемы и боли. Подскажите,пожалуйста, какие срезы сделать и выложить для бОльшей информативности. Очень надеюсь на Вашу помощь. Спасибо всем откликнувшимся. С уважением Елена Ссылка на комментарий
kramer Опубликовано 4 мая, 2018 Поделиться Опубликовано 4 мая, 2018 Дайте срез через зуб, который вы пометили №3 Ссылка на комментарий
ellenchik Опубликовано 5 мая, 2018 Автор Поделиться Опубликовано 5 мая, 2018 kramer, спасибо за ответ.Срез сделала,но не уверена, что правильно. Подскажите,пожалуйста, если что не так. Буду делать другие. Ссылка на комментарий
ellenchik Опубликовано 7 мая, 2018 Автор Поделиться Опубликовано 7 мая, 2018 ...похоже, я неправильно делаю срезы :-( Подскажите, пожалуйста. Тема по прежнему актуальна. Мой врач предположил, что есть воспаление у зуба № 1 (отмечен на снимке) и предлагает глубокую хирургическую чистку (вероятно резекцию корня) Хотелось бы услышать еще мнения уважаемых докторов. Ссылка на комментарий
Гарриевич Опубликовано 21 мая, 2018 Поделиться Опубликовано 21 мая, 2018 резекцию точно не надо покасимптомы не те Ссылка на комментарий
ellenchik Опубликовано 22 мая, 2018 Автор Поделиться Опубликовано 22 мая, 2018 резекцию точно не надо покасимптомы не теСпасибо большое за быстрый ответ! Я Вам ответила в личку. Ссылка на комментарий
ellenchik Опубликовано 31 января, 2019 Автор Поделиться Опубликовано 31 января, 2019 Уважаемые доктора! Подниму свою старую тему, т.к. актуальна. Летом 2018 была у 2-х врачей на консультации. Ничего не нашли. Последние 3 недели снова обострились непонятные боли слева в районе 1-2-3 зубов. Но теперь больше над зубом № 3, именно НАД зубом - отдает вверх в переносицу . Такая разлитая ,жгучая,колющая боль. На холодное-горячее вроде как не реагирует. Болит спонтанно и ночью тоже. Врач смотрела - ничего не находит. Делала какую-то пробу над этим зубом чем-то типа бора - жужжащим приборчиком . Было прилично больно,как по нерву. Сказала,что это неплохо. По рентгену тоже говорит всё ОК. Свежий рентген прилагаю.Посмотрите пожалуйста. Есть еще КТ апреля 2018 в формате GALILEOS Viewer фирмы Sirona Dental SystemsВот ссылка https://dropmefiles.com/5XIaY (Эта проблема была уже тогда) Была бы очень признательна,если бы кто-нибудь глянул. С уважением Елена Ссылка на комментарий
ellenchik Опубликовано 2 февраля, 2019 Автор Поделиться Опубликовано 2 февраля, 2019 Подскажите, плииз, дорогие доктора, возможно ли в моем случае что-то увидеть по КТ? Или снимать все 3 коронки и смотреть по ситуации? При консультации у 3-х врачей - мнения разные. 1). Делать резекцию зуба № 1 , т.к. после удаления нерва боль осталась прежней и возможно воспаление. 2). подозревает, что у зуба № 2 пломба стоит близко к нерву и возможно давит на него и в этом причина. 3) маловероятно, но возможно это зуб № 3, хотя там даже и кариеса не было.Но в последнее время разлитая, жгучая, ноющая боль как будто в корне этого зуба № 3. Уже и не знаю к какому врачу пойти. Но и удалять нервы в оставшихся зубах на удачу, тоже не хочется. С первым зубом уже не повезло. Буду очень рада любому мнению. С уважением ЕленаВ среду опять на прием-сделаю еще прицельный этих 3-х зубов. Может что-то еще сделать,подскажите, плииз... Ссылка на комментарий
___49___ Опубликовано 3 февраля, 2019 Поделиться Опубликовано 3 февраля, 2019 Ваше КТ распаковать не смог , были ли вы у невролога ? Ссылка на комментарий
ellenchik Опубликовано 3 февраля, 2019 Автор Поделиться Опубликовано 3 февраля, 2019 Спасибо большое за ответ. У невролога еще не была, не направляли. Подскажите плииз, на какой ресурс лучше разместить КТ. Я всё же надеюсь,что там можно что-то увидеть. Ссылка на комментарий
___49___ Опубликовано 3 февраля, 2019 Поделиться Опубликовано 3 февраля, 2019 Спасибо большое за ответ. У невролога еще не была, не направляли. Подскажите плииз, на какой ресурс лучше разместить КТ. Я всё же надеюсь,что там можно что-то увидеть. по ресурсу не подскажу. Жжение, самопроизвольные боли больше похоже на невролгию . От физической нагрузки или прибывания в парилке или на морозе - боли усиливаются ? Ссылка на комментарий
ellenchik Опубликовано 3 февраля, 2019 Автор Поделиться Опубликовано 3 февраля, 2019 иногда замечаю,что после холодного воздуха на улице, усиливаются. После горячего душа-нет. После физ . нагрузки тоже не всегда. Последние 2-3 недели может болеть несколько дней,потом на 2 дня затихает, но совсем не уходит, как бы сидит где-то, затаившись :-) Завтра сдам кровь - может покажет воспаление. Спасибо вам за отклик. Ссылка на комментарий
___49___ Опубликовано 3 февраля, 2019 Поделиться Опубликовано 3 февраля, 2019 иногда замечаю,что после холодного воздуха на улице, усиливаются. После горячего душа-нет. После физ . нагрузки тоже не всегда. Последние 2-3 недели может болеть несколько дней,потом на 2 дня затихает, но совсем не уходит, как бы сидит где-то, затаившись :-) Завтра сдам кровь - может покажет воспаление. Спасибо вам за отклик.Есть ощущения потери чувствительности каких то участков во время болевого синдрома(проверьте , пощупайте, сравните здоровую и больную сторону когда будет болеть), мурашки , покалывание, ощущение что мягкие ткани над участком боли как будто "отекли"? . Ощущение как будто вы чувствуете весь зуб целиком ? Ссылка на комментарий
ellenchik Опубликовано 3 февраля, 2019 Автор Поделиться Опубликовано 3 февраля, 2019 Ощущения потери чувствительности точно нет. Ощущение отека ,да, бывает, тяжесть такая внутри. Мурашки - нет, Легкое покалывание - редко. А вот про ощущение всего зуба целиком, пока не могу сказать. Буду наблюдать , потом отпишусь . Иногда как будто заноза внутри ноет и отдает в висок и в переносицу слева. Спасиб! Ссылка на комментарий
Рекомендуемые сообщения
Для публикации сообщений создайте учётную запись или авторизуйтесь
Вы должны быть пользователем, чтобы оставить комментарий
Создать аккаунт
Зарегистрируйте новый аккаунт в нашем сообществе. Это очень просто!
Регистрация нового пользователяВойти
Уже есть аккаунт? Войти в систему.
Войти