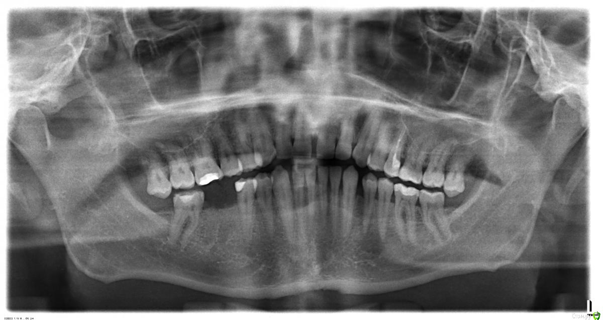
skyw Опубликовано 29 октября, 2017 Поделиться Опубликовано 29 октября, 2017 (изменено) Имеются два зуба мудрости сверху. Здоровые. но снизу нет антагонистов (и вероятно уже не будет раз до 40 лет не выросли). В связи с отсутствием нижних верхние несколько опустились судя по снимку. Врач говорит, что пользы от них нет, а скорее вред - во-первых лишний карман (между 8 и 7 сверху), что увеличивает шансы на кариес нужных седьмых зубов. И плюс в связи с опусканием 8-ых они краями травмируют края нижних седьмых.Как думаете удалить ? Врач говорит, что процедура быстрая, не травматично. И если да, то можно сразу с обеих сторон удалить, чтобы за один раз отмучиться ? Изменено 29 октября, 2017 пользователем skyw Ссылка на комментарий
DrNice Опубликовано 29 октября, 2017 Поделиться Опубликовано 29 октября, 2017 Да удалять, да можно за один раз. 3 Ссылка на комментарий
red_butler Опубликовано 30 октября, 2017 Поделиться Опубликовано 30 октября, 2017 Как думаете удалить ? Да И если да, то можно сразу с обеих сторон удалить, чтобы за один раз отмучиться ? удалить оба за раз 1 Ссылка на комментарий
skyw Опубликовано 30 октября, 2017 Автор Поделиться Опубликовано 30 октября, 2017 Спасибо всем. Вдохновляющее единодушие Ссылка на комментарий
red_butler Опубликовано 30 октября, 2017 Поделиться Опубликовано 30 октября, 2017 Спасибо всем. Вдохновляющее единодушие тему можно закрывать? Ссылка на комментарий
IvanK Опубликовано 2 ноября, 2017 Поделиться Опубликовано 2 ноября, 2017 я обычно удаляю по сторонам куда торопиться?при удалении справа спокойно кушаете слева и наоборот, 5 Ссылка на комментарий
Bier Опубликовано 4 ноября, 2017 Поделиться Опубликовано 4 ноября, 2017 да что там с верхними изобретать? как правило пациент даже не вспоминает об этом удалении на след день. 1 Ссылка на комментарий
skyw Опубликовано 4 ноября, 2017 Автор Поделиться Опубликовано 4 ноября, 2017 Удалил 2 часа назад оба.На всякий случай имеет смысл аккуратно класть на лунку Метрогил дента чтобы точно обезопасится от попадания инфекции ? Ссылка на комментарий
red_butler Опубликовано 4 ноября, 2017 Поделиться Опубликовано 4 ноября, 2017 Удалил 2 часа назад оба.На всякий случай имеет смысл аккуратно класть на лунку Метрогил дента чтобы точно обезопасится от попадания инфекции ?Если все нормально заживает, то метрогил дента не нужен. 1 Ссылка на комментарий
Doctor Vlad Опубликовано 6 ноября, 2017 Поделиться Опубликовано 6 ноября, 2017 я обычно удаляю по сторонам куда торопиться?при удалении справа спокойно кушаете слева и наоборот, Согласен с Иваном Валерьевичем! можно и 32 за раз убрать. будет ли комфортно)? 1 Ссылка на комментарий
IvanK Опубликовано 7 ноября, 2017 Поделиться Опубликовано 7 ноября, 2017 Ну и Славно, закрываем тему? Ссылка на комментарий
Рекомендуемые сообщения
Для публикации сообщений создайте учётную запись или авторизуйтесь
Вы должны быть пользователем, чтобы оставить комментарий
Создать аккаунт
Зарегистрируйте новый аккаунт в нашем сообществе. Это очень просто!
Регистрация нового пользователяВойти
Уже есть аккаунт? Войти в систему.
Войти