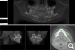
exxxtreme Опубликовано 26 октября, 2017 Поделиться Опубликовано 26 октября, 2017 (изменено) Приветствую, прошу совета, столкнулись с такой ситуацией, сначала небольшая предыстория: наблюдаем дочку (7.5 лет) в одной клинике, имеющей разные филиалы. Обычно ездили к "нашему" врачу в ней, но неудобный (территориально) филиал, а как-то у дочки заболел зуб (по итогу прикусила щеку) и мы срочно съездили в филиал рядом с домом. Там тоже врач вызвал доверие и мы стали наблюдаться в этом филиале у этого врача (поближе к дому). Посещали мы этот филиал где-то год (профосмотры и чистки у врача раз в 3 месяца) и по словам врача все у дочки с зубами хорошо. Но вот выбрались опять к нашему врачу в неудобном филиале (напомню, в рамках одной и той же клиники) и она нашла 1 глубокий кариес и кучку "неглубоких". Глубокий определила на глаз, однако погнала нас на панораму, где все и подтвердилось. Неглубокие она по большей части нашла в залитых на фиссурах герметиках, потому что я сам удивился - прямо на герметике черные точки. Врач сказала это вследствие того, что полимер скалывается и как-то прокрашивается. Т.е. на зубе кариеса может и нет, но такие зубы она помечает как кариес в стадии пятна и под наблюдение.В общем, такова предыстория. Я очень прошу совета, т.к. сейчас нам предстоит понять - то ли один врач некомпетентен и не разглядел даже глубокого кариеса (со слов второго врача кариес там очевиден, т.к. даже под эмалью цвет поменялся слегка), то ли второй врач, как говорится "разводит".Единственное, я не знаю, в каком виде надо скинуть снимки, мне дали dvd с панорамой, где куча мелких файлов, в сумме на полгигабайта и программа iCATVision. Пока приложу скрин с того, что она выдает при загрузке "обследования". Прямая ссылка на скрин панорамы:https://s8.hostingkartinok.com/uploads/images/2017/10/4a9b007f2277053c7c6749778500f887.png Или через превью: Глубокий кариес нашла на молочной нижней пятерке (если со стороны пациента, то это левая нижняя пятерка или как я нашел в интернете зуб №35). Вот просьба у специалистов подтвердить или опровергнуть, или сказать, какой фрагмент нужно догрузить. Т.к. сейчас в полном непонимании - один врач не находит ничего, второй видит кучу всего... P.S. если это важно, то врач работает в монокуляре (как я понял) и лечит под микроскопом. Ну т.е. смотрела зубы скорее всего в монокуляре, но может и под микроскопом, я не обратил внимания. Изменено 26 октября, 2017 пользователем exxxtreme Ссылка на комментарий
exxxtreme Опубликовано 27 октября, 2017 Автор Поделиться Опубликовано 27 октября, 2017 Никто не поможет? А то я на другой форум закинул, там вообще сказали кариес на четверке, а на пятерке не видят... Мы конечно еще к 3му врачу пойдем, но я уже засомневался в результате, а на форуме специалистов, которые не заинтересованы в чем-то всяко как по мне более объективно... Ссылка на комментарий
ЕленаВалерьевна Опубликовано 28 октября, 2017 Поделиться Опубликовано 28 октября, 2017 глубокого кариеса я здесь не увидела , может сможете просто фото во рту сделать? Ссылка на комментарий
red_butler Опубликовано 28 октября, 2017 Поделиться Опубликовано 28 октября, 2017 Главное правило форума, не писать о других форумах ))) 1 Ссылка на комментарий
red_butler Опубликовано 28 октября, 2017 Поделиться Опубликовано 28 октября, 2017 Реконструкция Кт не совсем подходит для диагностики кариеса. Ссылка на комментарий
exxxtreme Опубликовано 31 октября, 2017 Автор Поделиться Опубликовано 31 октября, 2017 (изменено) глубокого кариеса я здесь не увидела , может сможете просто фото во рту сделать? Реконструкция Кт не совсем подходит для диагностики кариеса. Пофотографировал как смог, посмотрите пожалуйста! Зуб залит герметиком где-то 2 года назад. Видимые сколы - в пределах герметика. Изменено 31 октября, 2017 пользователем exxxtreme Ссылка на комментарий
ЕленаВалерьевна Опубликовано 1 ноября, 2017 Поделиться Опубликовано 1 ноября, 2017 не тех фото что есть, я бы назвала уже кариесом эти пятна, но это чисто визуально. ваш доктор прав, что обратил внимание на это, варианта два либо контроль через каждые три месяца, либо уже сейчас всё вылечить. герметик лучше заменить, если он прокрашивается по краям, то он уже не герметичен.а глубокий то кариес на каком зубе определили? Ссылка на комментарий
exxxtreme Опубликовано 1 ноября, 2017 Автор Поделиться Опубликовано 1 ноября, 2017 (изменено) не тех фото что есть, я бы назвала уже кариесом эти пятна, но это чисто визуально. ваш доктор прав, что обратил внимание на это, варианта два либо контроль через каждые три месяца, либо уже сейчас всё вылечить. герметик лучше заменить, если он прокрашивается по краям, то он уже не герметичен.а глубокий то кариес на каком зубе определили?На том, куда стрелка показывает на первой фотке - на 5. Изменено 1 ноября, 2017 пользователем exxxtreme Ссылка на комментарий
ЕленаВалерьевна Опубликовано 2 ноября, 2017 Поделиться Опубликовано 2 ноября, 2017 На том, куда стрелка показывает на первой фотке - на 5.визуально на глубокий не похож Ссылка на комментарий
Рекомендуемые сообщения
Для публикации сообщений создайте учётную запись или авторизуйтесь
Вы должны быть пользователем, чтобы оставить комментарий
Создать аккаунт
Зарегистрируйте новый аккаунт в нашем сообществе. Это очень просто!
Регистрация нового пользователяВойти
Уже есть аккаунт? Войти в систему.
Войти