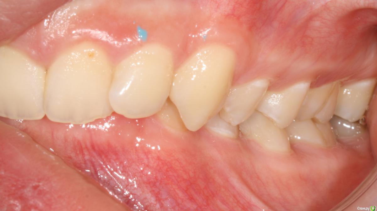
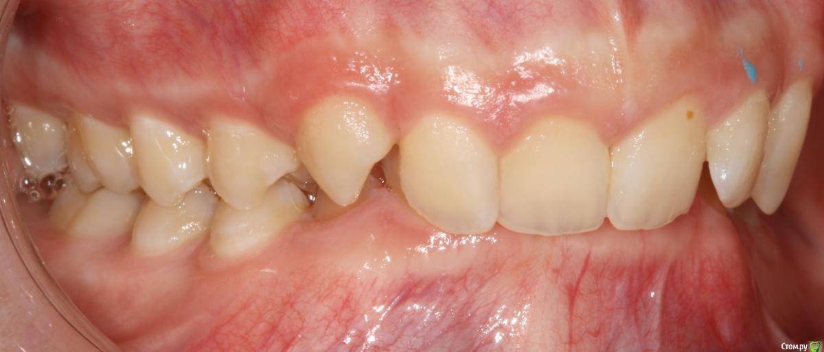
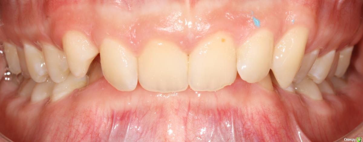
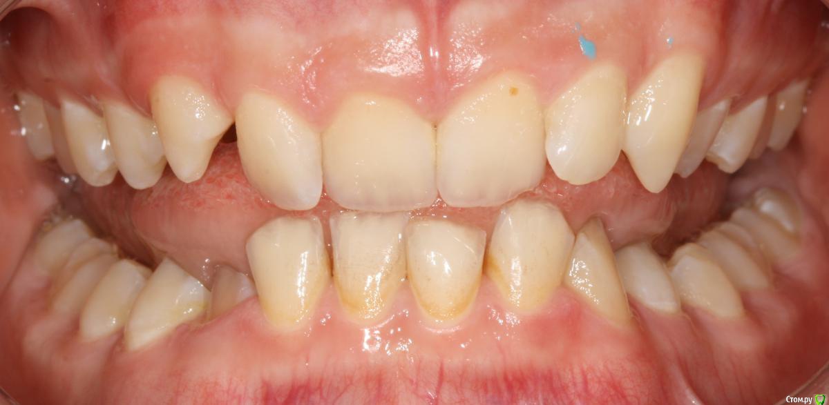
Opdihatop Опубликовано 24 октября, 2017 Поделиться Опубликовано 24 октября, 2017 И еще раз здравствуйте! Сразу хочу презентовать еще одного мальчика. Лично я такого еще не видел, а потому хочу понять, что тут делать. Думаю, невооруженным взглядом видно гипертонус и гиперплазию массетеров и гиперплазию углов н/ч из-за этого. Из-за чего это может быть и что тут делать? Как расслабить и что вообще делать с мышцами? Слать ли на сцинтиграфию (мало ли, может рост продолжается)? Есть ли шанс повысить прикус или такие мышцы все равно вколотят? Члх или нет? Заранее спасибо! Ссылка на комментарий
Brigita Опубликовано 24 октября, 2017 Поделиться Опубликовано 24 октября, 2017 (изменено) рост продолжается. по позвонкам можно посмотреть. даже не пик еще.а с мышцами... ну однозначно с какого то функционального аппарата начать надо... миомассаж редко где можно найти. да он и как припарка тут. Аппаратное расслабление если только. А вообще он на спортсмена похож, на футболиста. Изменено 24 октября, 2017 пользователем Brigita 1 Ссылка на комментарий
Opdihatop Опубликовано 24 октября, 2017 Автор Поделиться Опубликовано 24 октября, 2017 Что-то никакой аппарат в голову не приходит. Не подскажете? Ссылка на комментарий
krokomot Опубликовано 24 октября, 2017 Поделиться Опубликовано 24 октября, 2017 Ботокс хорошо расслабляет, в данной ситуации, следует дифференцировать от остеодисплазии, херувизма. 1 Ссылка на комментарий
ReaperGanzA Опубликовано 25 октября, 2017 Поделиться Опубликовано 25 октября, 2017 И еще раз здравствуйте! Сразу хочу презентовать еще одного мальчика. Лично я такого еще не видел, а потому хочу понять, что тут делать. Думаю, невооруженным взглядом видно гипертонус и гиперплазию массетеров и гиперплазию углов н/ч из-за этого. Из-за чего это может быть и что тут делать? Как расслабить и что вообще делать с мышцами? Слать ли на сцинтиграфию (мало ли, может рост продолжается)? Есть ли шанс повысить прикус или такие мышцы все равно вколотят? Члх или нет? Заранее спасибо!Извините за оффтоп, но вспомнился анекдот: -как накачать мышцы лица?-жуй эспандер 1 Ссылка на комментарий
Brigita Опубликовано 25 октября, 2017 Поделиться Опубликовано 25 октября, 2017 (изменено) дифференцировать от остеодисплазии, херувизма.точно не херувизм. там в полости рта другая картина совсем, а по поводу дисплазии - она чаще односторонняя, может быть.... Изменено 25 октября, 2017 пользователем Brigita Ссылка на комментарий
Brigita Опубликовано 25 октября, 2017 Поделиться Опубликовано 25 октября, 2017 (изменено) Может с эластопозиционера начать пока... Изменено 25 октября, 2017 пользователем Brigita Ссылка на комментарий
krokomot Опубликовано 25 октября, 2017 Поделиться Опубликовано 25 октября, 2017 Выкладывайте кт, сильно сомневаюсь что повышенный тонус массетер привел к гиперплазии углов. Перестройка да, гиперплазия нет. Ссылка на комментарий
Рекомендуемые сообщения
Для публикации сообщений создайте учётную запись или авторизуйтесь
Вы должны быть пользователем, чтобы оставить комментарий
Создать аккаунт
Зарегистрируйте новый аккаунт в нашем сообществе. Это очень просто!
Регистрация нового пользователяВойти
Уже есть аккаунт? Войти в систему.
Войти