Перейти к содержанию
Стоматология для всех

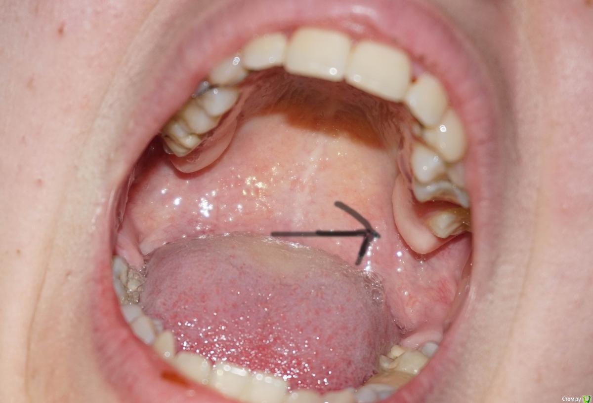
Увеличение кости в конце, небольшая припухлость.


Соня45

Рекомендуемые сообщения

Здравствуйте, помогите, пожалуйста, с консультацией.(фото ниже) Два дня назад произошло небольшое воспаление десны на верхней челюсти.Боли нет, только при расшатывании кусочка зуба, есть припухлость, еще беспокоит увеличение кости.Не дай Бог, зуб мудрости, очень боюсь этой операции.

post-52891-0-91607000-1508686152_thumb.jpg

post-52891-0-06609800-1508686157_thumb.jpg

post-52891-0-29777700-1508686161_thumb.jpg

Ссылка на комментарий

 

 

Не дай Бог, зуб мудрости, очень боюсь этой операции.

не о том беспокоитесь...

Сделайте и  выкладывайте панорамный рентгеновский снимок. 

Ссылка на комментарий

Для публикации сообщений создайте учётную запись или авторизуйтесь

Вы должны быть пользователем, чтобы оставить комментарий

Создать аккаунт

Зарегистрируйте новый аккаунт в нашем сообществе. Это очень просто!

Регистрация нового пользователя

Войти

Уже есть аккаунт? Войти в систему.

Войти
×
×
  • Создать...
Вверх