Перейти к содержанию
Стоматология для всех

Периодонтит и сломанный инструмент?


lowryder

Рекомендуемые сообщения

Здравствуйте.

 

Ситуация такая:

Стояла пломба с 2002 года, появился небольшой периодонтит, иногда беспокоил от горячего или холодного.

Один канал пройти до конца не удалось, в конце на повороте он закрылся, заложили кальций, прошел почти месяц, зуб полностью перестал беспокоить, уже собирался на повторный прием и простыл, беспокоили горло и жкт. Через несколько дней разболелся зуб как раньше никогда не беспокоил. Сходил на прием, врач развела руками, сделали снимок, ничего не увидели, сказали долечиться и приходить через 5-7 дней. Острая боль стала невыносимой, нимесил + нурофен почти никак не помогали.

Обратился в другую клинику. Врач машинным способом грубовато пыталась пройти до конца канал, но в итоге как мне кажется сломала инструмент, ничего про это не сказав (я слышал что-то напоминающее хруст, резкой боли вроде в этот момент не почувствовал, хотя и так все очень сильно болело). Сделала депофорез, первые сутки боль была еще сильнее, потом постепенно прошла боль, которая не снималась нимесилом и нурофеном (отдавала в челюсть и на соседние зубы). Осталась боль как будто воспаленной десны с очагом на самом дне зуба, и зуб на этой воспаленной десне ходил туда сюда от сжатия челюсти. Мне даже показало что может обломилось окончание корня, либо просто сильно травмировали десну при выходе инструмента из каналов (врач проходила каналы с большим усилием и крайне неаккуратно).

На 7 день боль при накусывании почти прошла, воспаление десны тоже почти прошло (зуб вроде перестал шататься как мне казалось), пришел на второй сеанс депофореза. Попросил врача на всякий случай снимок сделать, сказала сейчас это бессмысленно и начала делать депофорез, зуб начал болеть все сильнее с каждым каналом, думал сознание потеряю когда ставила пломбу и надавливала на нее. После настоял на снимке (если что не так чтобы можно было уверенно доказать что это сделала именно этот врач), она сказала, что все норм никаких переломов нет, "а это белое тоже нормально?" - сказала "да, тут все хорошо, продолжаем лечение".

Через несколько часов острая боль начала проходить и к ночи почти полностью прошла, с учетом выпитого нимесила.

 

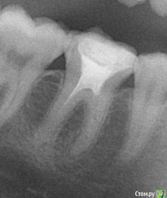
1. Прошу подсказать что на снимке, сломанный инструмент? пломбирования каналов не делалось, там может быть только материал для депофореза, но он вроде не может быть таким яркобелым как металл.

2. Если сломан инструмент, как я понимаю шансы на успешное лечение гораздо меньше? и зуб может теперь гораздо чаще обостряться?

3. Можно ли предъявлять претензию врачу за это и что можно требовать?

4. Что делать, пытаться лечить или сразу удалять зуб?

 

до начала первоначального лечения

post-52871-0-94628400-1508571764_thumb.png

 

через месяц после лечения, кальций еще в каналах, острая боль перед началом лечения в другой клинике

http://s018.radikal.ru/i501/1710/b2/52c3360c970ft.jpg

 

после 2 сеансов депофореза

http://s41.radikal.ru/i093/1710/58/3e2739c62d30t.jpg

Ссылка на комментарий

 

 

1. Прошу подсказать что на снимке, сломанный инструмент? пломбирования каналов не делалось, там может быть только материал для депофореза, но он вроде не может быть таким яркобелым как металл.

Да, есть небольшой фрагмент инструмента в ближнем корне зуба.

 

 

 

2. Если сломан инструмент, как я понимаю шансы на успешное лечение гораздо меньше? и зуб может теперь гораздо чаще обостряться?

И да и нет, вероятность успеха действительно чуть меньше, но поскольку отлом произошел не в самом начале лечения а в процессе, то шансы на успех все равно достаточно высокие.

Если все хорошо пролечено зуб не должен обостряться ни чаще ни реже, он должен перестать вас беспокоить. 

 

 

 

3. Можно ли предъявлять претензию врачу за это и что можно требовать?

Нет, ничего. Лечение каналов это не гарантийная процедура, а перелечивание тем более. такая работа очень сложная и кропотливая, и в процессе иногда так случается что фрагмент инструмента может отделиться. Обусловлено это чаще всего сложным строением каналов в зубах, изгибами которые могут быть не видны на снимках. К сожалению, так бывает и никто от этого не застрахован. Когда Вы соглашаетесь заниматься лечением каналов Вы автоматически принимаете определенные риски.

 

 

 

4. Что делать, пытаться лечить или сразу удалять зуб?

Пытаться лечить, только депофорез  лечением лично я не считаю, имхо это околонаучное шаманство.

  • Поддерживаю 2
Ссылка на комментарий

 

 

4. Что делать, пытаться лечить или сразу удалять зуб?
 

 

Самое худшее что делает отломок, невозможность полной обработки канала. но отлом маленького фрагмента инструмента в апикальной части - это достаточно безобидно, т.к. канала дальше и нет. В вашем случае требуется тщательная обработка всех каналов, пломбировка и наблюдение. Потом при необходимости можно сделать резекцию верхушки корня. 

 

И да, повторное эндодонтическое лечение не бывает гарантированным в силу своей специфики. Даже при идеальной обработке иногда случаются рецидивы. 

  • Поддерживаю 1
Ссылка на комментарий

Для публикации сообщений создайте учётную запись или авторизуйтесь

Вы должны быть пользователем, чтобы оставить комментарий

Создать аккаунт

Зарегистрируйте новый аккаунт в нашем сообществе. Это очень просто!

Регистрация нового пользователя

Войти

Уже есть аккаунт? Войти в систему.

Войти
×
×
  • Создать...
Вверх