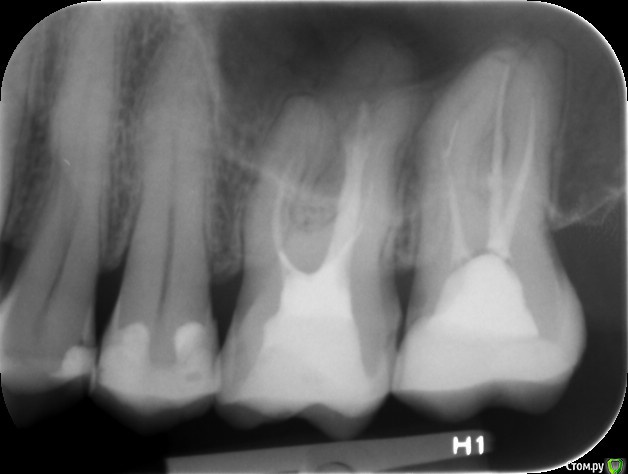
Pofigdym Опубликовано 17 октября, 2017 Поделиться Опубликовано 17 октября, 2017 (изменено) Доброго времени суток. Что то разболелось в верхней левой челюсти. По ощущениям думал на 25. На данный момент нахожусь в Нидерландах, пошел тут к стоматологу. Сделали снимок, на снимке стоматолог увидел воспаление под 26. Сказал, что скорей всего из за некачественной пломбировки каналов в 26. С антибиотиками сказал подождать, попросил связаться с клиникой где зубы депульпировали и попросить снимки первоначальной ситуации с зубом, что бы отценить, воспаление прогрессирует или уменьшается в сравнении с сегодняшним снимком.Интересует мнение уважаемых стоматологов этого форума, так ли все плохо с заполнением каналов? Заранее спасибо. Снимок: https://hostingkartinok.com/show-image.php?id=bdb3b5bb3d68a481103bd4b0b6181a0e Изменено 17 октября, 2017 пользователем Pofigdym Ссылка на комментарий
red_butler Опубликовано 17 октября, 2017 Поделиться Опубликовано 17 октября, 2017 Шестой и седьмой зубы нужно повторно лечить каналы.Опишите Ваши жалобы, характер боли, есть ли её локализация, провоцирующие факторы... 1 Ссылка на комментарий
Pofigdym Опубликовано 17 октября, 2017 Автор Поделиться Опубликовано 17 октября, 2017 (изменено) Шестой и седьмой зубы нужно повторно лечить каналы.Опишите Ваши жалобы, характер боли, есть ли её локализация, провоцирующие факторы...Обрадовали ))) Неделю назад жевал что то твердое, на момент появилась довольно резкая боль где то в районе 25/26.После этого жевал только на правой стороне. Потом появились лёгкие покалывание и ощущения какого-то беспокойства в районе 25/26. Вчера вечером покалывание довольно сильно, сегодня ощущения пульсации без боли в районе 25/26. На холодное/горячее реакции нет, если сильно надавить то болит.Спасибо за Ваш ответ. Изменено 17 октября, 2017 пользователем Pofigdym Ссылка на комментарий
DmitrySH Опубликовано 17 октября, 2017 Поделиться Опубликовано 17 октября, 2017 естой и седьмой зубы нужно повторно лечить каналы. +1Седьмой перелечивать обязательно под контролем микроскопа. Иначе нет смысла. Ссылка на комментарий
Чертков Александр Опубликовано 18 октября, 2017 Поделиться Опубликовано 18 октября, 2017 +1Седьмой перелечивать обязательно под контролем микроскопа. Иначе нет смысла.А шестой так можно? Без оптики? Ссылка на комментарий
DmitrySH Опубликовано 18 октября, 2017 Поделиться Опубликовано 18 октября, 2017 А шестой так можно? Без оптики? Да, можно. Но как повезет. Мы же авансом не знаем что там внутри. От рук тоже многое зависит. До 2011 года - спокойно без оптики перелечивал. Сейчас уже никак без нее не могу и не буду. Ссылка на комментарий
Pofigdym Опубликовано 18 октября, 2017 Автор Поделиться Опубликовано 18 октября, 2017 На 7 сам вижу что гуттаперча то ли загнулась то ли зацепилась за что то а в 6 понять не могу, вроде все пройдены и заполненв. Воспаление вроде как идёт от не до конца заполненного канала у 7? Стоматолог в Латвии, тот что делал, согласен, что надо перелечить 7 но 6 оставить в покое и пить антибиотики. Говорит, у обоих зубов кальцификация каналов и кривизна, очень трудно проходить и не факт, что эндодонтолог с микроскопом поможет. Стоматолог в Нидерландах хочет 6 и 7 перелечить и антибиотики амоксицилл. Возможно ли что каналы непроходимы? Ссылка на комментарий
Stomart Опубликовано 18 октября, 2017 Поделиться Опубликовано 18 октября, 2017 На 7 сам вижу что гуттаперча то ли загнулась то ли зацепилась за что то...Это ступень в канале и похоже на обломок инструмента. Ссылка на комментарий
DmitrySH Опубликовано 18 октября, 2017 Поделиться Опубликовано 18 октября, 2017 а в 6 понять не могу, вроде все пройдены и заполненв Нет, не пройдены. на 2/3 только На 7 сам вижу что гуттаперча то ли загнулась то ли зацепилась за что то Фрагмент инструмента, видимо пытались обойти и получили ступень. Но это все не очень глубоко, с микроскопом вполне решаемо Ссылка на комментарий
Pofigdym Опубликовано 18 октября, 2017 Автор Поделиться Опубликовано 18 октября, 2017 Последний вопрос: Кальцификация каналови связанные с этим трудности прохождения каналов это приговор или решаемо? Заранее спасибо. Ссылка на комментарий
Marika Опубликовано 18 октября, 2017 Поделиться Опубликовано 18 октября, 2017 В 6м зубе не найден 4й канал, он то и может давать такую реакцию. Ссылка на комментарий
DmitrySH Опубликовано 19 октября, 2017 Поделиться Опубликовано 19 октября, 2017 Последний вопрос: Кальцификация каналови связанные с этим трудности прохождения каналов это приговор или решаемо? Заранее спасибо. Решаемо в большинстве случаев, но не 100% Ссылка на комментарий
Рекомендуемые сообщения
Для публикации сообщений создайте учётную запись или авторизуйтесь
Вы должны быть пользователем, чтобы оставить комментарий
Создать аккаунт
Зарегистрируйте новый аккаунт в нашем сообществе. Это очень просто!
Регистрация нового пользователяВойти
Уже есть аккаунт? Войти в систему.
Войти