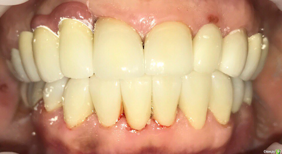
ksenistom Опубликовано 15 октября, 2017 Поделиться Опубликовано 15 октября, 2017 8мес назад на 1.2; 1.3; зафиксированы цельноциркониевые коронкина имплантаты с цементной фиксацией,на временный цемент"Temp Bond"(фото сделано,непосредственно после фиксации). Пациенту рекомендовано использование ирригатора. Были проведены осмотры:через месяц, 3мес и 6мес - каждый раз жалобы на дискомфорт под искусственной десной в области 1.2;1.3;,неделю назад пациентка обратилась с жалобой на попадание пищи и непроходящий неприятный запах в этой области, на контрольном рентгене изменений в области имплантатов 1.2;1.3 не выявлено.Подскажите пожалуйста,как быть в этой ситуации?И что Вы делаете при отказе пациента от костной пластики в эстетически значимой зоне,в случае резорбции костной ткани? Ссылка на комментарий
bakagaidzin Опубликовано 15 октября, 2017 Поделиться Опубликовано 15 октября, 2017 (изменено) Ж-жадность.Снимайте коронки,откручивайте абатменты,чистите.Меняйте дизайн промывного пространства.нафиг тут эта розовая вообще не понятно Изменено 15 октября, 2017 пользователем bakagaidzin 4 Ссылка на комментарий
chervoncevdaniil Опубликовано 15 октября, 2017 Поделиться Опубликовано 15 октября, 2017 Какую форму сделал техник коронок с искусственной десной?Как туда пища попадает? Ссылка на комментарий
Карен Аванесов Опубликовано 15 октября, 2017 Поделиться Опубликовано 15 октября, 2017 Надо вначале пациенту все объяснить, на временных коронках обыграть ситуацию, если линия улыбки низкая. этот розовый массив не к месту вообще. Ссылка на комментарий
krokomot Опубликовано 15 октября, 2017 Поделиться Опубликовано 15 октября, 2017 Десна очень темная , как нарыв, как определяли цвет десны? Покажите рентген. Ссылка на комментарий
vesvova Опубликовано 15 октября, 2017 Поделиться Опубликовано 15 октября, 2017 Жесть Ссылка на комментарий
Карен Аванесов Опубликовано 15 октября, 2017 Поделиться Опубликовано 15 октября, 2017 Пацаны, девочка сейчас заплачет. Ссылка на комментарий
krokomot Опубликовано 15 октября, 2017 Поделиться Опубликовано 15 октября, 2017 Поможем, только больше инфы Ссылка на комментарий
ksenistom Опубликовано 15 октября, 2017 Автор Поделиться Опубликовано 15 октября, 2017 Рентген скину позже,фото в наличии нет.розовая десна плотно прилегала к слизистой,со временем появилось небольшое пространство,куда стали забиваться остатки пищи. Может ли от излишнего давления произойти деструкция под иск десной?Улыбка высокая,это мой первый опыт с иск десной Ссылка на комментарий
АнтонТЛТ Опубликовано 15 октября, 2017 Поделиться Опубликовано 15 октября, 2017 Надо овойдами делать прилегание к натур.десне, а не седлом.Есть фото без абатментов? 1 Ссылка на комментарий
chervoncevdaniil Опубликовано 15 октября, 2017 Поделиться Опубликовано 15 октября, 2017 Надо овойдами делать прилегание к натур.десне, а не седлом.Есть фото без абатментов?Там мне кажется уже овоиды не из чего формировать Ссылка на комментарий
колесников Опубликовано 15 октября, 2017 Поделиться Опубликовано 15 октября, 2017 Какая система? Покажите срезы кт. Можно попробовать поработать с мягкими тканями. Как мотивировать пациента на пластику? Один из действенных вариантов-показать такой результат лечения без предварительной костной и мягкотканной подготовки. Ссылка на комментарий
chervoncevdaniil Опубликовано 16 октября, 2017 Поделиться Опубликовано 16 октября, 2017 А как переделывать то сейчас автору? Ссылка на комментарий
ksenistom Опубликовано 16 октября, 2017 Автор Поделиться Опубликовано 16 октября, 2017 Надо овойдами делать прилегание к натур.десне, а не седлом.Есть фото без абатментов? Ссылка на комментарий
dok1 Опубликовано 16 октября, 2017 Поделиться Опубликовано 16 октября, 2017 Сколько глубина шахты до платформ? По-моему все условия под овоид есть. Пусть коронки длоннее смотрятся, за то долгосрочнее проэкт. 2 Ссылка на комментарий
АнтонТЛТ Опубликовано 16 октября, 2017 Поделиться Опубликовано 16 октября, 2017 А фото в анфас? Ссылка на комментарий
АнтонТЛТ Опубликовано 16 октября, 2017 Поделиться Опубликовано 16 октября, 2017 Сколько глубина шахты до платформ? По-моему все условия под овоид есть. Пусть коронки длоннее смотрятся, за то долгосрочнее проэкт.+1 Ссылка на комментарий
chervoncevdaniil Опубликовано 16 октября, 2017 Поделиться Опубликовано 16 октября, 2017 Да судя по фото там мягких тканей полно,все можно решить без нашлепки розовой Ссылка на комментарий
ksenistom Опубликовано 16 октября, 2017 Автор Поделиться Опубликовано 16 октября, 2017 (изменено) что посоветуетеСпиливать коронки,раскручивать все и промывать,и потом спиливать розовый цвет,создавать овоид и увеличивать высоту коронки? Изменено 16 октября, 2017 пользователем ksenistom Ссылка на комментарий
chervoncevdaniil Опубликовано 16 октября, 2017 Поделиться Опубликовано 16 октября, 2017 что посоветуете,доктора?Спиливать коронки,раскручивать все и промывать,а что дальше???Ну по логике,временные коронки,формировать овоиды,оттиск с индивидуализированным трансфером,новые индивидуальные абатменты и новые циркониевые коронки 2 Ссылка на комментарий
ksenistom Опубликовано 16 октября, 2017 Автор Поделиться Опубликовано 16 октября, 2017 Ну по логике,временные коронки,формировать овоиды,оттиск с индивидуализированным трансфером,новые индивидуальные абатменты и новые циркониевые коронкиСпасибо,доктор!!! Будем работать Ссылка на комментарий
bakagaidzin Опубликовано 16 октября, 2017 Поделиться Опубликовано 16 октября, 2017 (изменено) Тут хочется посоветовать для начала немного научиться планировать работы и препарировать зубы,а уже потом браться за тоталы Изменено 16 октября, 2017 пользователем bakagaidzin Ссылка на комментарий
chervoncevdaniil Опубликовано 16 октября, 2017 Поделиться Опубликовано 16 октября, 2017 Тут хочется посоветовать для начала немного научиться планировать работы и препарировать зубы,а уже потом браться за тоталыНу ладно вам,не так уж тут с препом все плохо Ссылка на комментарий
Bruks Опубликовано 22 октября, 2017 Поделиться Опубликовано 22 октября, 2017 Сколько глубина шахты до платформ? По-моему все условия под овоид есть. Пусть коронки длоннее смотрятся, за то долгосрочнее проэкт.Скажите пожалуйста, а как вы определили, что есть достаточный объем мягких тканей для формирования овоида? Ссылка на комментарий
chervoncevdaniil Опубликовано 22 октября, 2017 Поделиться Опубликовано 22 октября, 2017 (изменено) Скажите пожалуйста, а как вы определили, что есть достаточный объем мягких тканей для формирования овоида?Ну топикстартер же выложила фото рабочих моделей без абатментов Изменено 22 октября, 2017 пользователем chervoncevdaniil Ссылка на комментарий
Рекомендуемые сообщения
Для публикации сообщений создайте учётную запись или авторизуйтесь
Вы должны быть пользователем, чтобы оставить комментарий
Создать аккаунт
Зарегистрируйте новый аккаунт в нашем сообществе. Это очень просто!
Регистрация нового пользователяВойти
Уже есть аккаунт? Войти в систему.
Войти