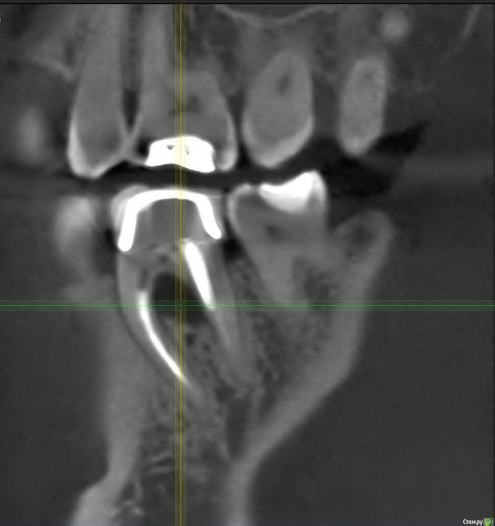
skyw Опубликовано 15 октября, 2017 Поделиться Опубликовано 15 октября, 2017 Прилагаю картинку зуба. Коронка стоит лет 12. Как я понимаю начался воспалительный процесс и уменьшение объема кости. Последние пару месяцев периодически воспаляется десна с внешней стороны этого зуба.Был у нескольких стоматологов - все говорят, что нужно удалять и ставить имплант. В том месте, которое я выбрал для проведения операции врач предлагает два варианта:1) удалять (с распилом зуба и удалением корней по отдельности чтобы максимально сохранить кость), если есть гнойный процесс, то все почистить\обработать, заполнить био-оссом разъеденный участок кости\лунки, зашить и через пару месяцев когда сформируется нормальная кость имплантироваться с установкой формирователя. 2) удалять с одномоментной имплантацией (в случае если какого-то нагноения серьезного там не окажется). Также с заполнением био-оссом пустот.Но при этом по центру имплант вкрутить как говорит врач не получится т.к. разрушится междукорневая перегородка. Т.е. имплант будет вкручиваться в зону одной из лунок (т.е. стоять не по центру, что как лично мне кажется несколько усложнит в дальнейшем установку коронки и понизит прочность конструкции под нагрузкой). Вопрос к специалистам - как считаете каким путем лучше пойти ? По поводу непосредственно импланта предлагаются два качественных с точки зрения врача варианта: бюджетно - Osstem, небюджетно - Astra Tech.Как считаете, остановится на Осстем в разрезе того, что цена зуба в итоге в два раза ниже чем с Астрой ? Или же эта экономия потом боком выйдет и лучше не рисковать ? Не хотелось бы через 10-15 лет чинить этот зуб опять.Врач говорит, что Астра приживается несколько быстрей, работать лично ему с ней удобнее и за счет микрорезьбы в районе шейки импланта меньше риск того, что кость с годами будет убывать в этой зоне. Особенно последний пункт меня заинтересовал. Ссылка на комментарий
red_butler Опубликовано 15 октября, 2017 Поделиться Опубликовано 15 октября, 2017 Я бы удалил без биоосса и через 3-4 месяца имплантировал. Голосую за астру. Ссылка на комментарий
колесников Опубликовано 15 октября, 2017 Поделиться Опубликовано 15 октября, 2017 Никаких сложностей с позиционированием импланта быть не должно,перегородка останется. Ставить лучше одномоментно и с формирователем десны. Наличие или отсутствие микрорезбы при одномоментной имплантации ,не сказывается на убыль кости в дальнейшем. Астра тек и осстем имеют аналогичное внутреннее коническое соединение. В вашем случае прекрасно и осстем сработает. Ссылка на комментарий
skyw Опубликовано 15 октября, 2017 Автор Поделиться Опубликовано 15 октября, 2017 Вы могли бы на моей картинке нарисовать схематично позицию импланта при одномоментной установке как Вы это видите ? С учетом почти наполовину сгнившей перегородки не понимаю как его по центру зафиксировать. А устанавливать в одну из оставшихся от корня лунку как предлагает врач тоже не нравится идея - получится что имплант будет ближе к 5 или 7 зубу (совсем не по центру) и коронка соответственно также будет также асиметрично крепиться. Никаких сложностей с позиционированием импланта быть не должно,перегородка останется. Ставить лучше одномоментно и с формирователем десны. Наличие или отсутствие микрорезбы при одномоментной имплантации ,не сказывается на убыль кости в дальнейшем. Астра тек и осстем имеют аналогичное внутреннее коническое соединение. В вашем случае прекрасно и осстем сработает. Ссылка на комментарий
skyw Опубликовано 15 октября, 2017 Автор Поделиться Опубликовано 15 октября, 2017 Может быть с биоосом процесс быстрее пойдет ? Я думал, что за пару месяцев уже кость сформируется при таком варианте. Я бы удалил без биоосса и через 3-4 месяца имплантировал.Голосую за астру. Ссылка на комментарий
red_butler Опубликовано 15 октября, 2017 Поделиться Опубликовано 15 октября, 2017 Может быть с биоосом процесс быстрее пойдет ? Я думал, что за пару месяцев уже кость сформируется при таком варианте.Совсем на оборот Ссылка на комментарий
колесников Опубликовано 15 октября, 2017 Поделиться Опубликовано 15 октября, 2017 Срез некорректный. Вам не нужно понимать как будет все происходить,доверьтесь доктору. С биосом кость за 2 месяца не сформируется. 3 Ссылка на комментарий
red_butler Опубликовано 23 октября, 2017 Поделиться Опубликовано 23 октября, 2017 skyw, решили проблему? Ссылка на комментарий
Рекомендуемые сообщения
Для публикации сообщений создайте учётную запись или авторизуйтесь
Вы должны быть пользователем, чтобы оставить комментарий
Создать аккаунт
Зарегистрируйте новый аккаунт в нашем сообществе. Это очень просто!
Регистрация нового пользователяВойти
Уже есть аккаунт? Войти в систему.
Войти