katya_bond Опубликовано 12 октября, 2017 Поделиться Опубликовано 12 октября, 2017 Подскажите пожалуйста, существует ли какой то вариант, при котором можно обойтись без удаления зуба? Ссылка на комментарий
katya_bond Опубликовано 12 октября, 2017 Автор Поделиться Опубликовано 12 октября, 2017 Не прикрепилось фото сразу Ссылка на комментарий
red_butler Опубликовано 12 октября, 2017 Поделиться Опубликовано 12 октября, 2017 Что Вас беспокоит? И почему тема в этом разделе? Ссылка на комментарий
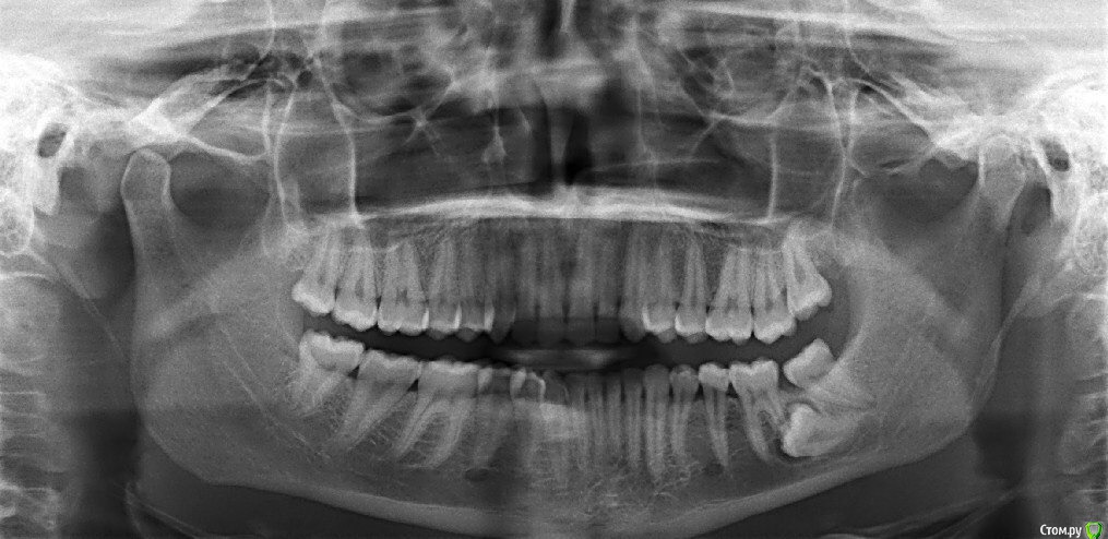
katya_bond Опубликовано 13 октября, 2017 Автор Поделиться Опубликовано 13 октября, 2017 Беспокоило расстояние между зубами, из-за которого приём пищи причиняешь дискомфорт. Записалась на консультацию к ортодонту, попросили прийти со снимком. На снимке видно, что там не просто расстояние, а зуб. Существует ли какой-то вариант, при котором можно избежать удаления данного зуба? Ссылка на комментарий
red_butler Опубликовано 13 октября, 2017 Поделиться Опубликовано 13 октября, 2017 Существует ли какой-то вариант, при котором можно избежать удаления данного зуба? возможно.Делайте Кт и - http://forum.stom.ru/topic/4655-patcientam/ Ссылка на комментарий
DmitrySH Опубликовано 13 октября, 2017 Поделиться Опубликовано 13 октября, 2017 Про какой зуб вопрос? Который крайний или который не вырос там где надо? Ссылка на комментарий
katya_bond Опубликовано 13 октября, 2017 Автор Поделиться Опубликовано 13 октября, 2017 Про какой зуб вопрос? Который крайний или который не вырос там где надо?Который не вырос там где надо Ссылка на комментарий
DmitrySH Опубликовано 14 октября, 2017 Поделиться Опубликовано 14 октября, 2017 Тогда делайте КТ 1 Ссылка на комментарий
Рекомендуемые сообщения
Для публикации сообщений создайте учётную запись или авторизуйтесь
Вы должны быть пользователем, чтобы оставить комментарий
Создать аккаунт
Зарегистрируйте новый аккаунт в нашем сообществе. Это очень просто!
Регистрация нового пользователяВойти
Уже есть аккаунт? Войти в систему.
Войти