Перейти к содержанию
Стоматология для всех

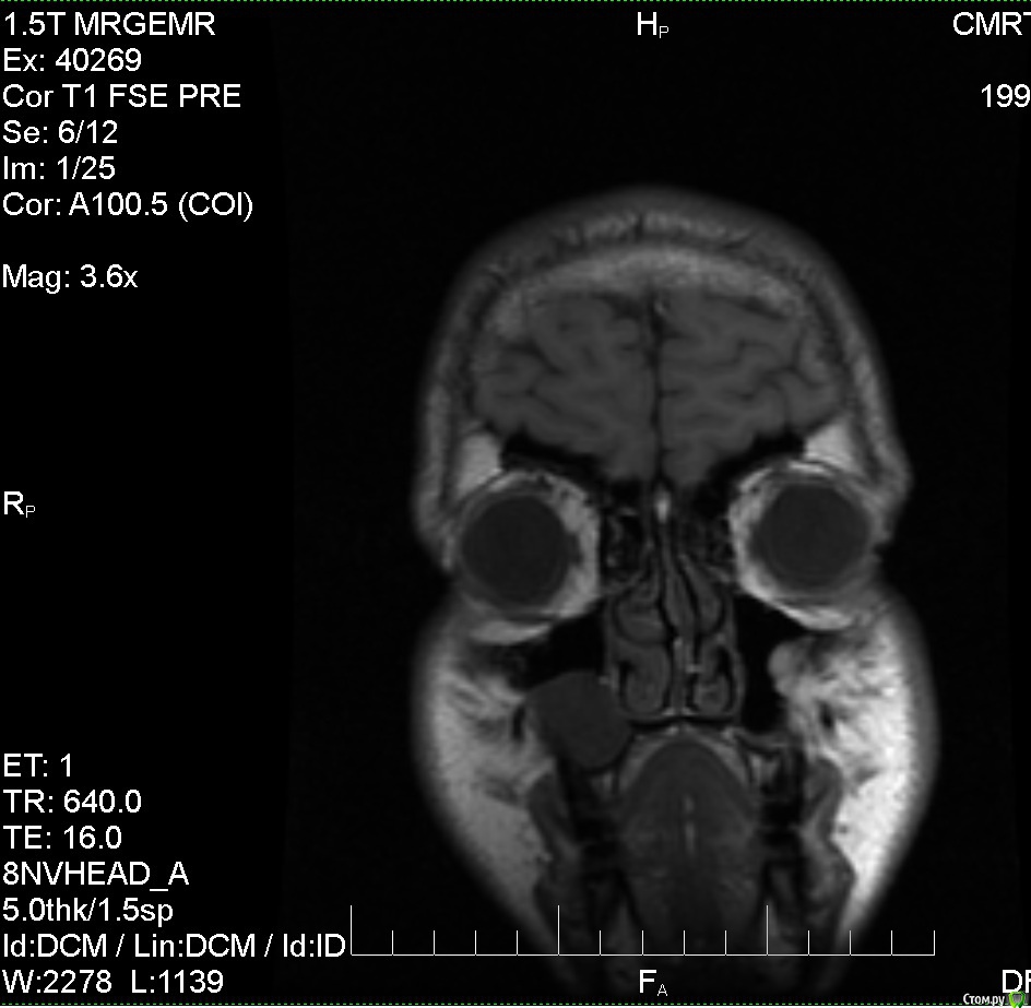
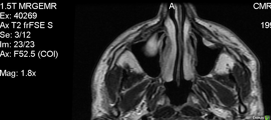
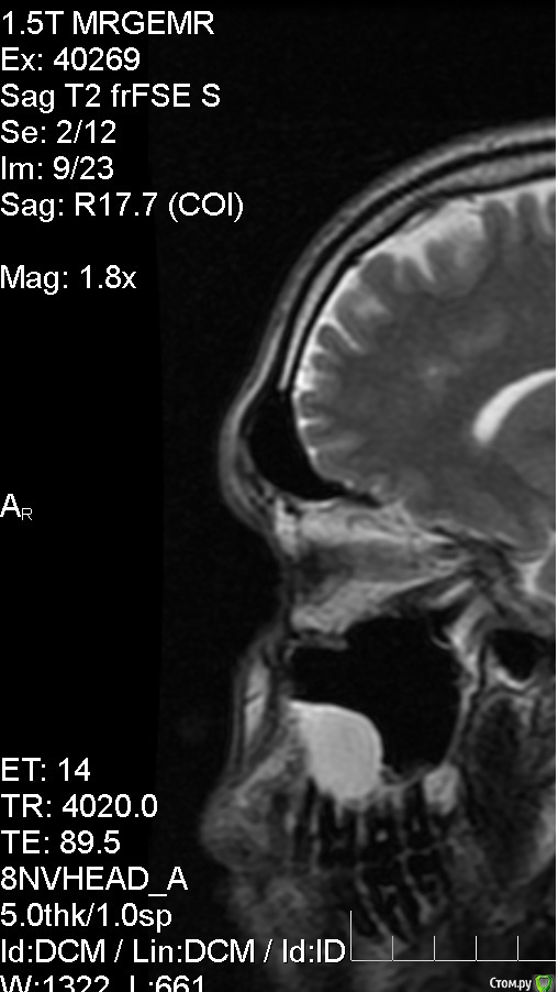
Верхнечелюстная киста из-за зубов


Рекомендуемые сообщения

Здравствуйте. 
Сделал МРТ головного мозга с контрастом и без, в мозге патологий не выявлено, по заключению киста верхечюлестной правой пазухи. МРТ делал по причине непонятного тянущего ощущения в правой половине головы, не боль, просто стал себя чувствовать не как обычно. Ходил к лору, еле убедил вставить диск и посмотреть снимки, на, что получил ответ, что это от зубов и дорога моя к стоматологу. Высказала мнение, что достаточно вылечить зубы и корни, а кисту можно не трогать. Хочу получить мнение со стороны, и примерную тактику лечения в таких случаях. 
Анамнез: уже 1.5 года немного воспалены/набухшие (гингивит?) края десны на верхней челюсти у 8,7,6,5 зуба, больше у 7 и 6. (Небольшая кровоточивость при чистки) На ощупь десны не болят, и зубы тоже. В них нет пломб. После заключения стал ощущать еле заметную тяжесть над перечисленными зубами. 
Прилагаю фото снимков. 


Заранее благодарю за консультацию!

post-52739-0-04719200-1507467312_thumb.jpg

post-52739-0-11372600-1507467317_thumb.jpg

post-52739-0-49225900-1507467323_thumb.jpg

Ссылка на комментарий

Для публикации сообщений создайте учётную запись или авторизуйтесь

Вы должны быть пользователем, чтобы оставить комментарий

Создать аккаунт

Зарегистрируйте новый аккаунт в нашем сообществе. Это очень просто!

Регистрация нового пользователя

Войти

Уже есть аккаунт? Войти в систему.

Войти
×
×
  • Создать...
Вверх