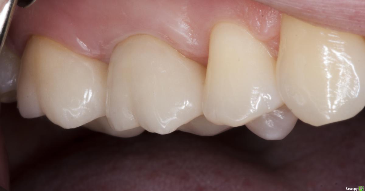
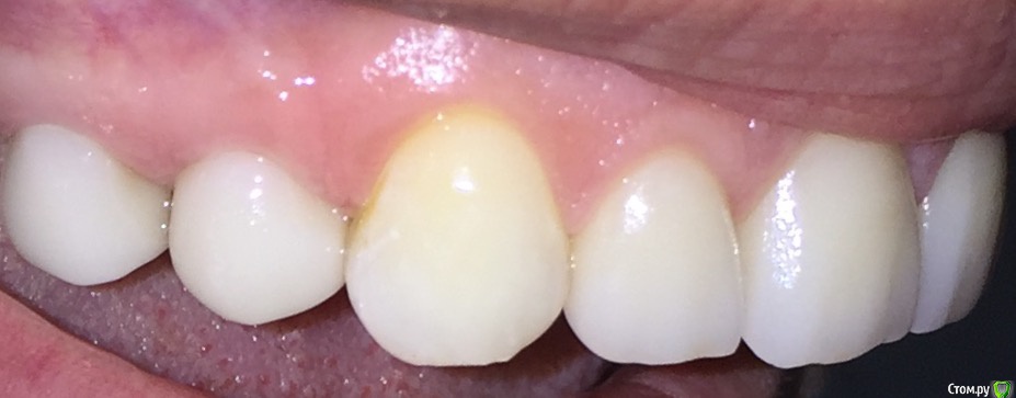
Женя4545 Опубликовано 7 октября, 2017 Поделиться Опубликовано 7 октября, 2017 Всем доброго дня. Пару дней назад поставила коронки на 14 и 15 зубы. Каждая коронка стоила около 60000 тысяч. Коронки выточены на CEREC машине. Я сомневалась, но врач уверил, что у них есть необходимые пигменты, чтобы это выглядело эстетично. В кабинете на столе это выглядело прилично. На следующий день при дневном свете коронки выглядели намного хуже ожидаемого. Я позвонила в клинику обсудить это с доктором, но его не было. Меня заверили, что он перезвонит в понедельник. Первое фото - коронки 14, 15. Второе - показать 24 и 25. Хочу спросить специалистов: как вы считаете, у меня обоснованные претензии, что коронки выглядят как коронки, а не зубы. У них нет пигментации, они слишком круглые, цвет монолитный. И главное, мои зубы вообще по-другому выглядят 1 1 Ссылка на комментарий
chervoncevdaniil Опубликовано 7 октября, 2017 Поделиться Опубликовано 7 октября, 2017 (изменено) Коронки для технологии Cerec сделаны приемлимо Изменено 7 октября, 2017 пользователем chervoncevdaniil 1 2 Ссылка на комментарий
red_butler Опубликовано 7 октября, 2017 Поделиться Опубликовано 7 октября, 2017 Сделать профгигиену нужно 2 Ссылка на комментарий
Женя4545 Опубликовано 7 октября, 2017 Автор Поделиться Опубликовано 7 октября, 2017 Профгигиена была сделана 4 дня назад, перед постановкой коронок. Спасибо за мнение, но вопрос был не об этом. Ссылка на комментарий
Женя4545 Опубликовано 7 октября, 2017 Автор Поделиться Опубликовано 7 октября, 2017 Коронки для технологии Cerec сделаны приемлимоСпасибо. Ссылка на комментарий
Большой Зеленый Опубликовано 7 октября, 2017 Поделиться Опубликовано 7 октября, 2017 Перед протезированием надо было сделать небольшое удлинение коронок 3 1 Ссылка на комментарий
Bier Опубликовано 8 октября, 2017 Поделиться Опубликовано 8 октября, 2017 церек без доработки техником не может выдать приличного с точки зрения эстетики результата.В самом простом случае они должны быть дораскрашены. А если претендовать на идеальный эстетический вариант, то и вовсе покрыты керамикой в лаборатории. 9 Ссылка на комментарий
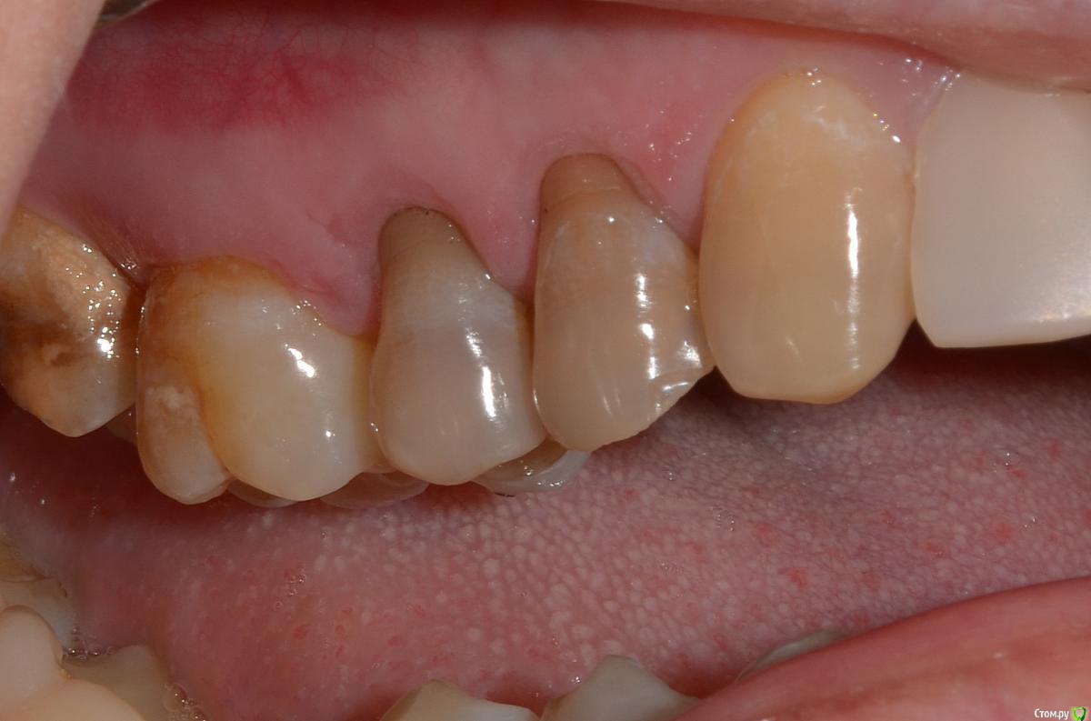
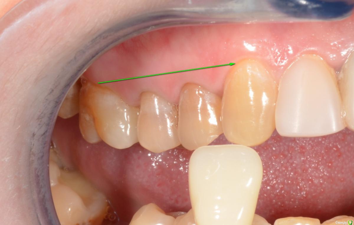
M@estro Опубликовано 9 октября, 2017 Поделиться Опубликовано 9 октября, 2017 (изменено) Хочу спросить специалистов: как вы считаете, у меня обоснованные претензии, что коронки выглядят как коронки, а не зубы. У них нет пигментации, они слишком круглые, цвет монолитный. И главное, мои зубы вообще по-другому выглядят Если эти пожелания зафиксированы в карте, и Вы их согласовали с доктором - то Ваши претензии обоснованы. В противном случае - Вы получили обычные коронки CAD-CAM. Эстетически гармоничная работа выглядит вот таким образом : (зубы 6 и 7,это не CAD-CAM ) Изменено 9 октября, 2017 пользователем M@estro 2 Ссылка на комментарий
Женя4545 Опубликовано 9 октября, 2017 Автор Поделиться Опубликовано 9 октября, 2017 Если эти пожелания зафиксированы в карте, и Вы их согласовали с доктором - то Ваши претензии обоснованы. В противном случае - Вы получили обычные коронки CAD-CAM. Эстетически гармоничная работа выглядит вот таким образом : 777.jpg(зубы 6 и 7,это не CAD-CAM ) Нет, устно обсудили, что хочу максимально естественный вариант. Чтобы выглядело как обычные зубы. В подробности не влезала. Объяснил, что есть специальные пигменты (которых я что-то не наблюдаю). Ссылка на комментарий
chervoncevdaniil Опубликовано 10 октября, 2017 Поделиться Опубликовано 10 октября, 2017 Нет, устно обсудили, что хочу максимально естественный вариант. Чтобы выглядело как обычные зубы. В подробности не влезала. Объяснил, что есть специальные пигменты (которых я что-то не наблюдаю).Почему выбрали именно коронки по технологии Cerec?были варианты заказать в лаборатории? Ссылка на комментарий
Audutor Опубликовано 10 октября, 2017 Поделиться Опубликовано 10 октября, 2017 Коронки как коронки, если хотите особенного эстетического результата, заявляйте так с порога. 1 1 Ссылка на комментарий
red_butler Опубликовано 23 октября, 2017 Поделиться Опубликовано 23 октября, 2017 Тему можно закрывать? Ссылка на комментарий
Рекомендуемые сообщения
Для публикации сообщений создайте учётную запись или авторизуйтесь
Вы должны быть пользователем, чтобы оставить комментарий
Создать аккаунт
Зарегистрируйте новый аккаунт в нашем сообществе. Это очень просто!
Регистрация нового пользователяВойти
Уже есть аккаунт? Войти в систему.
Войти