Руслан81 Опубликовано 5 октября, 2017 Поделиться Опубликовано 5 октября, 2017 Шестерка-верхняя челюсть. Провели пломбировку каналов после пульпита. Пульпит упорно не видели, пока не сделали 3Д. До этого запломбировали живой зуб , но чувствительность не уходила. После диагностики по 3Д увидели старый пульпит, удалили нервы и запломбировали каналы. При пломбировке один канал кровоточил, ждали неделю с лекарством, только после этого провели пломбировку.Через месяц после пломбировки у зуба появилась чувствительность, отличная от других зубов. Боли нет, но ощущения неприятные. При нажатии ничего нет, при постукивании неприятное ощущение-не боль.Хотел бы узнать правильно ли и до конца ли запломбированы каналы (по фото).До ремонта зуба была парестезия с этой же стороны по ходу 1-й ветви тройничного нерва. Все врачи-невропатологи, в том числе зарубежные, ничего по части неврологии не нашли. Эта парестезия прошла после удаления нервов зуба, но вот месяц спустя вернулась вместе с чувствительностью 6-ки. Или может это вообще связано с 8-кой которая там лежит почти в полости гайморовой пазухи и даже не показывается?Спасибо за любые комментарии. Ссылка на комментарий
kramer Опубликовано 5 октября, 2017 Поделиться Опубликовано 5 октября, 2017 Я бы сначала удалил 8, дальше по ситуации 2 Ссылка на комментарий
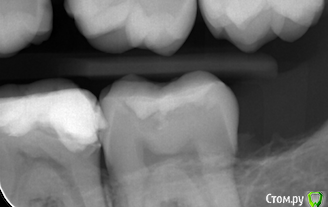
krokomot Опубликовано 5 октября, 2017 Поделиться Опубликовано 5 октября, 2017 http://http://s019.radikal.ru/i639/1710/da/f5e5ba37932d.pngканалы запломбированы до верхушек в 6-ом зубе, но вопросы к 7-ому 2 Ссылка на комментарий
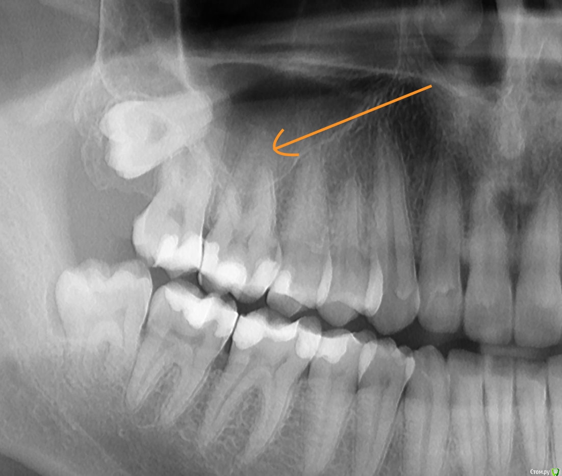
Руслан81 Опубликовано 5 октября, 2017 Автор Поделиться Опубликовано 5 октября, 2017 (изменено) Спасибо за ответы! В 7-м ничего не болит, но он упирается в 8-ку (верхнюю), которую удалять нужно только с открытием гайморовой пазухи. Стоматолог ничего вразумительного сказать не может по этому вопросу. Изменено 5 октября, 2017 пользователем Руслан81 Ссылка на комментарий
Руслан81 Опубликовано 5 октября, 2017 Автор Поделиться Опубликовано 5 октября, 2017 (изменено) Я бы сначала удалил 8, дальше по ситуацииДо него так просто не добраться по словам ЛОРа верхняя 8-ка лежит в пазухе и никак себя не проявляет. Чтобы ее удалить нужно вскрывать пазуху.Нижнюю удалил на прошлой неделе. Изменено 5 октября, 2017 пользователем Руслан81 Ссылка на комментарий
Руслан81 Опубликовано 5 октября, 2017 Автор Поделиться Опубликовано 5 октября, 2017 С левой стороны тоже веселая ситуация- часть корня лежит в пазухе. Удаляли зуб в 20 лет, (сейчас 36) и "хирург" при тампонировании протолкнул часть корня внутрь. Об этом я узнал год назад, когда сделал КТ гайморовой пазухи. Причем с этой стороны вообще ничего не беспокоит, но по назначению иду на прием к максофациальному хирургу в ноябре. Ссылка на комментарий
Руслан81 Опубликовано 5 октября, 2017 Автор Поделиться Опубликовано 5 октября, 2017 каналы запломбированы до верхушек в 6-ом зубе, но вопросы к 7-ому а что с 7-м? Ссылка на комментарий
shishok Опубликовано 5 октября, 2017 Поделиться Опубликовано 5 октября, 2017 В дополнение:попросите своего стоматолога проверить 37 зуб(нижний крайний левый) на возможное наличие скрытой кариозной полости на передней поверхности(ближе к 36 зубу). Ссылка на комментарий
shishok Опубликовано 5 октября, 2017 Поделиться Опубликовано 5 октября, 2017 а что с 7-м? Близкое расположение пульпы к дну кариозной полости. 1 Ссылка на комментарий
Руслан81 Опубликовано 5 октября, 2017 Автор Поделиться Опубликовано 5 октября, 2017 В дополнение:попросите своего стоматолога проверить 37 зуб(нижний крайний левый) на возможное наличие скрытой кариозной полости на передней поверхности(ближе к 36 зубу).Оба зуба пролечены в августе. Сомневаюсь, что он что-то скажет по этому поводу. В карте написано, что они норм. Ссылка на комментарий
Руслан81 Опубликовано 5 октября, 2017 Автор Поделиться Опубликовано 5 октября, 2017 Близкое расположение пульпы к дну кариозной полости.Тоже сказал пока можно не трогать. Ссылка на комментарий
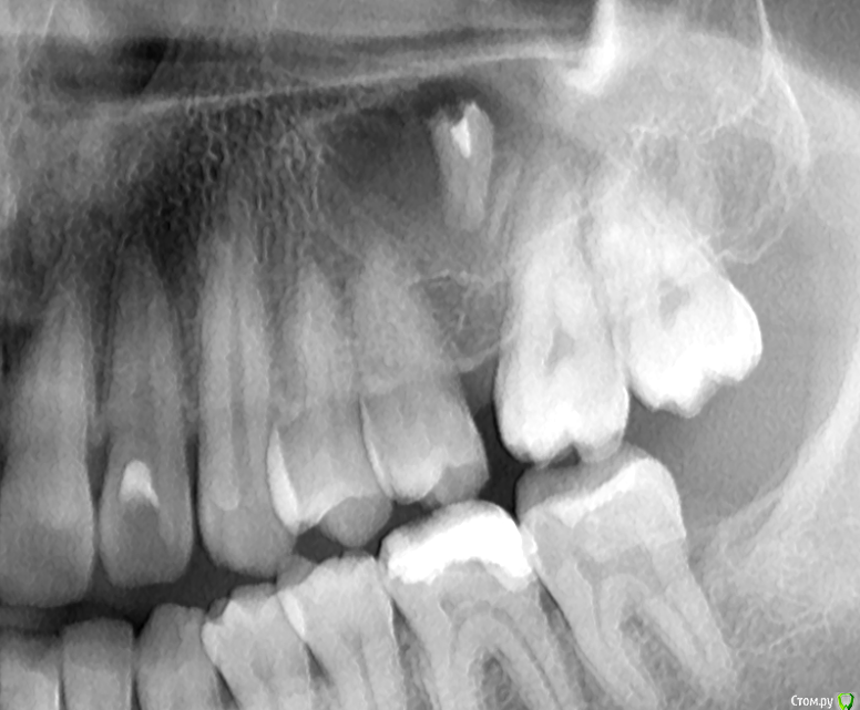
Руслан81 Опубликовано 5 октября, 2017 Автор Поделиться Опубликовано 5 октября, 2017 (изменено) А вот тут сказал на нижней 6-ке нужно переделать пломбу-межзубной кариес Изменено 5 октября, 2017 пользователем Руслан81 Ссылка на комментарий
DmitrySH Опубликовано 5 октября, 2017 Поделиться Опубликовано 5 октября, 2017 А вот тут сказал на нижней 6-ке нужно переделать пломбу-межзубной кариесПломба обширная, в идеале поменять на керамическую вкладку. Будет долговечнее. Но сперва вылечить соседний 37 зуб 1 Ссылка на комментарий
Руслан81 Опубликовано 5 октября, 2017 Автор Поделиться Опубликовано 5 октября, 2017 (изменено) Пломба обширная, в идеале поменять на керамическую вкладку. Будет долговечнее. Но сперва вылечить соседний 37 зубЯ совсем запутался с этим форумом. Что лечить то в 37? Врач смотрел все снимки и проблемы там не увидел. Изменено 5 октября, 2017 пользователем Руслан81 Ссылка на комментарий
DmitrySH Опубликовано 5 октября, 2017 Поделиться Опубликовано 5 октября, 2017 на снимке в посте №6 видна кариозная полость на передней поверхности зуба 37, на последнем снимке хуже видно Ссылка на комментарий
red_butler Опубликовано 6 октября, 2017 Поделиться Опубликовано 6 октября, 2017 До него так просто не добраться по словам ЛОРа верхняя 8-ка лежит в пазухе и никак себя не проявляет. Чтобы ее удалить нужно вскрывать пазуху. это мягко говоря не так Ссылка на комментарий
red_butler Опубликовано 6 октября, 2017 Поделиться Опубликовано 6 октября, 2017 С левой стороны тоже веселая ситуация- часть корня лежит в пазухе. Причем с этой стороны вообще ничего не беспокоит, но по назначению иду на прием к максофациальному хирургу в ноябре. нужен ЛОР работающий эндоскопически. Ссылка на комментарий
Руслан81 Опубликовано 6 октября, 2017 Автор Поделиться Опубликовано 6 октября, 2017 нужен ЛОР работающий эндоскопически. Такие бывают?Все ЛОРы кому показывал, сказали-не трогай Ссылка на комментарий
Руслан81 Опубликовано 6 октября, 2017 Автор Поделиться Опубликовано 6 октября, 2017 на снимке в посте №6 видна кариозная полость на передней поверхности зуба 37, на последнем снимке хуже видноэто не кариес, снимок просто такой Ссылка на комментарий
Руслан81 Опубликовано 6 октября, 2017 Автор Поделиться Опубликовано 6 октября, 2017 это мягко говоря не так а как? хирурги-стоматологи отправили к челюстно-лицевому хирургу. Сами удалять не берутся эту 8-ку Ссылка на комментарий
red_butler Опубликовано 6 октября, 2017 Поделиться Опубликовано 6 октября, 2017 а как? хирурги-стоматологи отправили к челюстно-лицевому хирургу. Сами удалять не берутся эту 8-ку никаких технических сложностей с удалением Вашего зуба нет, и уж точно ЧЛХ не нужно тревожить. Ищите хирурга для которого это рутина. Такие бывают? Все ЛОРы кому показывал, сказали-не трогай и ЛОРа тоже... 1 Ссылка на комментарий
Руслан81 Опубликовано 6 октября, 2017 Автор Поделиться Опубликовано 6 октября, 2017 (изменено) никаких технических сложностей с удалением Вашего зуба нет, и уж точно ЧЛХ не нужно тревожить. Ищите хирурга для которого это рутина.а если этот зуб не беспокоит? Я в Германии живу, тут "ищи" не работает. Тут есть мой дантист, который дает направление. Он дает направление к ЧЛХ. Изменено 6 октября, 2017 пользователем Руслан81 Ссылка на комментарий
DmitrySH Опубликовано 6 октября, 2017 Поделиться Опубликовано 6 октября, 2017 это не кариес, снимок просто такой блаженны верующие Ссылка на комментарий
Руслан81 Опубликовано 7 октября, 2017 Автор Поделиться Опубликовано 7 октября, 2017 блаженны верующие Ну я думаю немецкий специалист, как и московский (ваш коллега) который до него смотрел снимки увидели бы "такой" обширный кариес. Ссылка на комментарий
krokomot Опубликовано 7 октября, 2017 Поделиться Опубликовано 7 октября, 2017 Думаю если бы вы им доверяли, то не писали бы сюда. 4 Ссылка на комментарий
Рекомендуемые сообщения