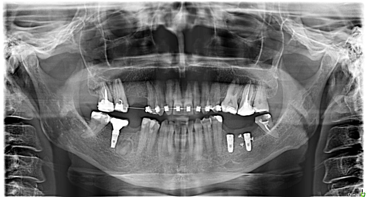
bullbull Опубликовано 5 октября, 2017 Поделиться Опубликовано 5 октября, 2017 Здравствуйте. Пациентка 50 лет (примерно) проходит ортодонтическое лечение. Планируется имплантация в области 46. На панораме и КТ образование как раз на уровне 46. За год в размере не изменилось. Никак не беспокоит.Что это может быть? Фолликулярная киста? Корень? Ссылка на комментарий
dok1 Опубликовано 5 октября, 2017 Поделиться Опубликовано 5 октября, 2017 Очень может быть корень. Сам недавно столкнулся с ситуациями один в один. В одной ситуации имплант всё же поставил. В другой - нет. Вычистился и зашился. Позже закручусь. 1 Ссылка на комментарий
kramer Опубликовано 5 октября, 2017 Поделиться Опубликовано 5 октября, 2017 Похоже на корень Ссылка на комментарий
red_butler Опубликовано 5 октября, 2017 Поделиться Опубликовано 5 октября, 2017 Что это может быть? Фолликулярная киста? Корень? "вскрытие" покажет... 1 Ссылка на комментарий
bullbull Опубликовано 5 октября, 2017 Автор Поделиться Опубликовано 5 октября, 2017 Спасибо! Ссылка на комментарий
red_butler Опубликовано 10 октября, 2017 Поделиться Опубликовано 10 октября, 2017 Спасибо!ну как, появилась ясность? Если это не корень, хорошо бы гистологию получить Ссылка на комментарий
bullbull Опубликовано 11 октября, 2017 Автор Поделиться Опубликовано 11 октября, 2017 В среду пойду на имплантацию. Предупредил, что может быть просто удаление. Отпишусь. Ссылка на комментарий
Бендер Опубликовано 12 октября, 2017 Поделиться Опубликовано 12 октября, 2017 Я однажды здровенный такой кусок дренажа из перчатки вытащил в зоне планируемой имплантации, пролежал там лет 15. Вскрытие покажет в общем Ссылка на комментарий
Дмитрий Л. Опубликовано 19 октября, 2017 Поделиться Опубликовано 19 октября, 2017 Ds: одонтома-?Я бы направил в стационар... Хотя бы для гистологии. 1 Ссылка на комментарий
red_butler Опубликовано 30 октября, 2017 Поделиться Опубликовано 30 октября, 2017 В среду пойду на имплантацию. Предупредил, что может быть просто удаление. Отпишусь.up Ссылка на комментарий
bullbull Опубликовано 31 октября, 2017 Автор Поделиться Опубликовано 31 октября, 2017 Сорри!Корень. С окружающими тканями не связан. В процессе удаления распилил, канал есть. Но импл сразу не ставил. 1 Ссылка на комментарий
Рекомендуемые сообщения
Для публикации сообщений создайте учётную запись или авторизуйтесь
Вы должны быть пользователем, чтобы оставить комментарий
Создать аккаунт
Зарегистрируйте новый аккаунт в нашем сообществе. Это очень просто!
Регистрация нового пользователяВойти
Уже есть аккаунт? Войти в систему.
Войти