Audutor Опубликовано 5 октября, 2017 Поделиться Опубликовано 5 октября, 2017 Модераторы, избавьтесь от человека, очевидно ведь, неадекватен... 5 Ссылка на комментарий
Большой Зеленый Опубликовано 5 октября, 2017 Поделиться Опубликовано 5 октября, 2017 Модераторы, избавьтесь от человека, очевидно ведь, неадекватен...Человек правильные вещи говорит. Согласен, немного дерзко и грубовато.. Не исправится выгоним. Ссылка на комментарий
pit Опубликовано 5 октября, 2017 Поделиться Опубликовано 5 октября, 2017 Если без ортодонта и по простому, я бы в первую очередь загипсовал бы в артикулятор (или хотя бы в хлопушку), поднял бы высоту прикуса на 5-6 мм и прикинул бы что к чему ( какие зубы спилить, какие удлинить). Оценил бы ОПТГ, наверняка какие-нибудь зубы нужно будет удалить. На основании этого уже бы заказывал моделировку зубов в ЗТЛ, а после анализа воска снимал бы старые коронки. Не считая что нужно сделать тотал, проблема в 3-х зубах верхней челюсти и 3-х зубах нижней. Какие-то из них удалить, а оставшимся изменить наклоны вкладками. 6 Ссылка на комментарий
Astronaft Опубликовано 6 октября, 2017 Поделиться Опубликовано 6 октября, 2017 Если без ортодонта и по простому, я бы в первую очередь загипсовал бы в артикулятор (или хотя бы в хлопушку), поднял бы высоту прикуса на 5-6 мм и прикинул бы что к чему ( какие зубы спилить, какие удлинить). Оценил бы ОПТГ, наверняка какие-нибудь зубы нужно будет удалить. На основании этого уже бы заказывал моделировку зубов в ЗТЛ, а после анализа воска снимал бы старые коронки. Не считая что нужно сделать тотал, проблема в 3-х зубах верхней челюсти и 3-х зубах нижней. Какие-то из них удалить, а оставшимся изменить наклоны вкладками.Лучший совет.Я сразу ложу малевые тампоны на моляры с двух сторон при осмотре. Легко можно увеличить толщину свернув в двое-четверо. Сразу видно скольно надо поднять и какие зубы как будут выглядеть. 3 Ссылка на комментарий
Большой Зеленый Опубликовано 6 октября, 2017 Поделиться Опубликовано 6 октября, 2017 Валики мягкие .Я использую какой нибудь жесткий инструмент. Ссылка на комментарий
red_butler Опубликовано 6 октября, 2017 Поделиться Опубликовано 6 октября, 2017 Модераторы, избавьтесь от человека, очевидно ведь, неадекватен...Dr.Stomatolog, на форуме с 2009, а подобные посты только сейчас. Может у человека, что то случилось... 1 Ссылка на комментарий
Audutor Опубликовано 6 октября, 2017 Поделиться Опубликовано 6 октября, 2017 Dr.Stomatolog, на форуме с 2009, а подобные посты только сейчас. Может у человека, что то случилось... Приятно удивляет политкорректность форумчан, особенно на фоне всеобщей взаимоненависти в фейсбуке..) Ссылка на комментарий
Kazankov.Egor Опубликовано 6 октября, 2017 Поделиться Опубликовано 6 октября, 2017 Если без ортодонта и по простому, я бы в первую очередь загипсовал бы в артикулятор (или хотя бы в хлопушку), поднял бы высоту прикуса на 5-6 мм и прикинул бы что к чему ( какие зубы спилить, какие удлинить). Оценил бы ОПТГ, наверняка какие-нибудь зубы нужно будет удалить. На основании этого уже бы заказывал моделировку зубов в ЗТЛ, а после анализа воска снимал бы старые коронки. Не считая что нужно сделать тотал, проблема в 3-х зубах верхней челюсти и 3-х зубах нижней. Какие-то из них удалить, а оставшимся изменить наклоны вкладками.Если Вы говорите о изменении vdo на 5-6 мм, то скорее всего речь идёт от измении во фронтальном отделе, так как в стандартном артикуляторы 1мм в жевательной отделе даст порядка 3мм во фронте. Удобно пользоваться одноразовыми шпателями для разобщения во фронтальном отделе, это даст примерное понятие о нужной высоте в жевательном отделе. Начинать такой кейс стоит с фиксации моделей в артикулятор по дуге, hip и др. Далее убедиться в стабильности положения нижней челюсти, для этого отожмите пресс-капу на любую из челюстей (я обычно выбираю челюсть с большим количеством отсутствующих зубов) и изготовьте передний депрограмматор, отдайте на неделю ночного сна, достройте полный ортотик прямо во рту и пришлифовывайте его до окончания миграции контактов. Зафиксируйте соотношение. Далее воск/пришлифовывайте и Вам уже виднее, я не ортопед))) 2 Ссылка на комментарий
Kazankov.Egor Опубликовано 6 октября, 2017 Поделиться Опубликовано 6 октября, 2017 Кстати при гипсовке учитывайте погрешность на регистрат. Ссылка на комментарий
Freelancer1981 Опубликовано 6 октября, 2017 Поделиться Опубликовано 6 октября, 2017 где прочитать про такой депрограмматор? Ссылка на комментарий
Kazankov.Egor Опубликовано 6 октября, 2017 Поделиться Опубликовано 6 октября, 2017 (изменено) Я на курсах был разных. У Доусона есть обзорник по ним, но, как известно, Дьявол кроется в деталях. Изменено 6 октября, 2017 пользователем Kazankov.Egor Ссылка на комментарий
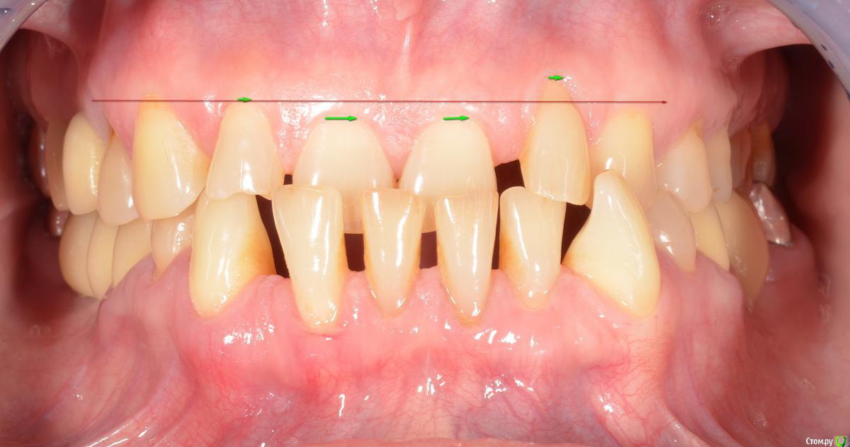
iya Опубликовано 28 ноября, 2017 Поделиться Опубликовано 28 ноября, 2017 (изменено) Хирургически поднять зениты у передних зубов справа, чтобы выровнять линию улыбки. Изменено 28 ноября, 2017 пользователем iya Ссылка на комментарий
gum Опубликовано 4 декабря, 2017 Поделиться Опубликовано 4 декабря, 2017 Поддерживаю решение с поднятием зенитов, но только, как сказал Dr.Stomatolog, после полноценной диагностики и с поднятием окклюзии.Вообще столько времени прошло, что-то сделали или нет? Ссылка на комментарий
Рекомендуемые сообщения
Для публикации сообщений создайте учётную запись или авторизуйтесь
Вы должны быть пользователем, чтобы оставить комментарий
Создать аккаунт
Зарегистрируйте новый аккаунт в нашем сообществе. Это очень просто!
Регистрация нового пользователяВойти
Уже есть аккаунт? Войти в систему.
Войти