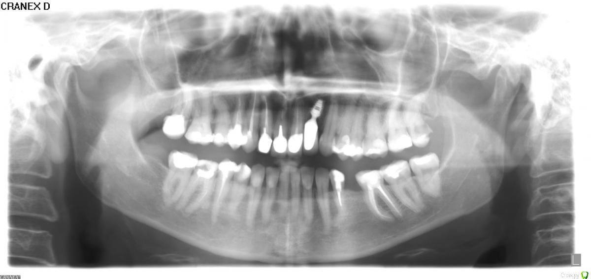
Новикова И.А. Опубликовано 2 октября, 2017 Поделиться Опубликовано 2 октября, 2017 Добрый день, уважаемые доктора. В связи с тем, что у меня стоят большие пломбы ортопеды настаивают на удалении нервов и установке коронок практически на всех зубах кроме нижних передних. Подскажите, пожалуйста, действительно ли необходимы коронки на всех жевательных зубах и удаление всех нервов? Ссылка на комментарий
Bier Опубликовано 2 октября, 2017 Поделиться Опубликовано 2 октября, 2017 Добрый день, уважаемые доктора. В связи с тем, что у меня стоят большие пломбы ортопеды настаивают на удалении нервов и установке коронок практически на всех зубах кроме нижних передних. Подскажите, пожалуйста, действительно ли необходимы коронки на всех жевательных зубах и удаление всех нервов? нервы конечно же не удалять. Протезировать безметалловыми накладками. Но у вас куча зубов, где нервы уже удалены и не мешало бы перелечить каналы. 28зуб - удалить. Ссылка на комментарий
Новикова И.А. Опубликовано 3 октября, 2017 Автор Поделиться Опубликовано 3 октября, 2017 нервы конечно же не удалять. Протезировать безметалловыми накладками. Но у вас куча зубов, где нервы уже удалены и не мешало бы перелечить каналы. 28зуб - удалить.Спасибо большое за ответ. Подскажите еще, пожалуйста, а зубы в которых нервы удалены тоже можно протезировать накладками или на них нужно делать коронки? Ссылка на комментарий
IvanK Опубликовано 6 октября, 2017 Поделиться Опубликовано 6 октября, 2017 коронки Ссылка на комментарий
Новикова И.А. Опубликовано 17 октября, 2017 Автор Поделиться Опубликовано 17 октября, 2017 коронки Спасибо. Ссылка на комментарий
IvanK Опубликовано 18 октября, 2017 Поделиться Опубликовано 18 октября, 2017 на здоровье, закрываем тему? Ссылка на комментарий
Новикова И.А. Опубликовано 19 октября, 2017 Автор Поделиться Опубликовано 19 октября, 2017 Тему закрываем, и еще раз спасибо за время которые Вы на нас тратите. Ссылка на комментарий
IvanK Опубликовано 19 октября, 2017 Поделиться Опубликовано 19 октября, 2017 Тему закрываем, и еще раз спасибо за время которые Вы на нас тратите. на здоровье) Ссылка на комментарий
Рекомендуемые сообщения