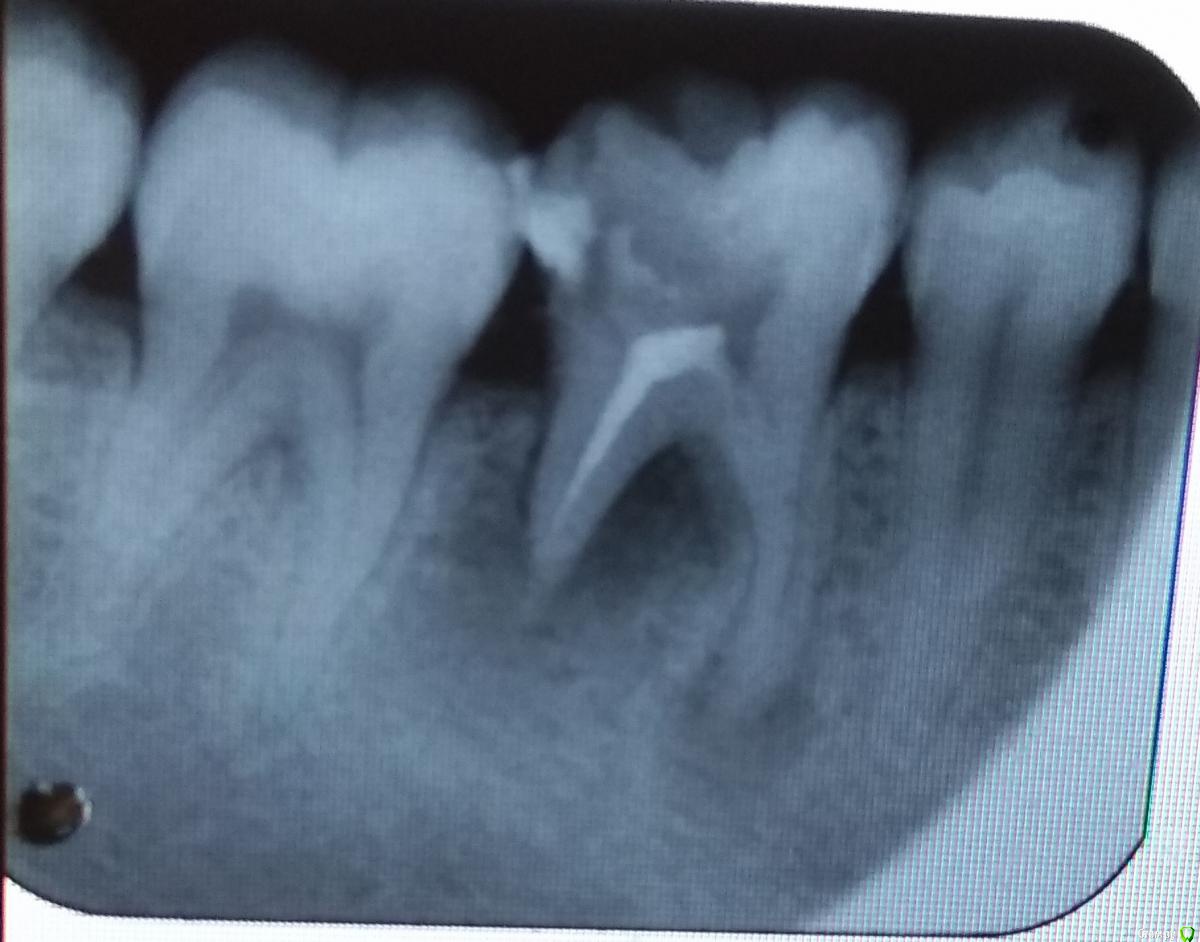
Андре931 Опубликовано 2 октября, 2017 Поделиться Опубликовано 2 октября, 2017 Добрый день уважаемые доктора!Подскажите, возможно ли сохранение зуба и лечение в данном случае? Ссылка на комментарий
red_butler Опубликовано 2 октября, 2017 Поделиться Опубликовано 2 октября, 2017 Подскажите, возможно ли сохранение зуба и лечение в данном случае? нужен очный осмотр, если есть мотивация, то лечить Ссылка на комментарий
Андре931 Опубликовано 2 октября, 2017 Автор Поделиться Опубликовано 2 октября, 2017 нужен очный осмотр, если есть мотивация, то лечить Благодарю за быстрый ответ, но к сожалению я проживаю в республике Молдова.Сохранить зуб желание очень велико. Можете ли вы примерно описать порядок и методику лечения?Местные доктора не берутся за мой случай Ссылка на комментарий
red_butler Опубликовано 2 октября, 2017 Поделиться Опубликовано 2 октября, 2017 Можете ли вы примерно описать порядок и методику лечения? механическая и медикаментозная обработка корневых каналов в условиях изоляции коффердамом, с последующей обтурацией и протезированием зуба. Местные доктора не берутся за мой случай Приезжайте в Россию Ссылка на комментарий
Андре931 Опубликовано 2 октября, 2017 Автор Поделиться Опубликовано 2 октября, 2017 механическая и медикаментозная обработка корневых каналов в условиях изоляции коффердамом, с последующей обтурацией и протезированием зуба. Приезжайте в Россию Благодарю за приглашение. В одной из стоматологических клиник мне предложили попробовать лечение депофорезом. Немного почитав этот форум, у меня сложилось мнение что данный метод не очень эффективен, правильно ли я понимаю? Ссылка на комментарий
St. Опубликовано 2 октября, 2017 Поделиться Опубликовано 2 октября, 2017 Благодарю за приглашение. В одной из стоматологических клиник мне предложили попробовать лечение депофорезом. Немного почитав этот форум, у меня сложилось мнение что данный метод не очень эффективен, правильно ли я понимаю?Правильное впечатление, так и есть. Ссылка на комментарий
IvanK Опубликовано 6 октября, 2017 Поделиться Опубликовано 6 октября, 2017 я бы удалил Ссылка на комментарий
Рекомендуемые сообщения
Для публикации сообщений создайте учётную запись или авторизуйтесь
Вы должны быть пользователем, чтобы оставить комментарий
Создать аккаунт
Зарегистрируйте новый аккаунт в нашем сообществе. Это очень просто!
Регистрация нового пользователяВойти
Уже есть аккаунт? Войти в систему.
Войти