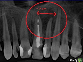
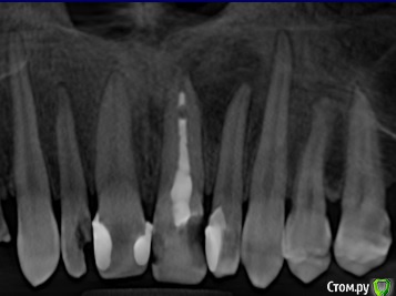
WhiteJaguar Опубликовано 30 сентября, 2017 Поделиться Опубликовано 30 сентября, 2017 (изменено) Здравствуйте, такая ситуация. Давно ещё в 90 + годах, лечил зуб. Удалили нерв, заполнили канал, поставили пломбу. Зуб передний резец слева. Спустя много лет, ~ 2010г. врач лечил другой зуб, но направил на рентген этого. Рентген я сделал, но к врачу больше не попал из-за обстоятельств. Так это дело и зависло. Потом в ~2015 на челюсти появился флюс над этим зубом. Я обратился к врачу, прописали метронидозол и найз, вскрывать не стали. Так как я пришел не в свою больницу и без записи. А раб. день заканчивался и врачи торопились домой. Начал пить метронидозол, всё как рукой сняло и флюс пропал и боль. Я думал что всё хорошо. Но в конце 2016 опять вскочил флюс на коренных зубах с той же стороны, сделали разрез, всё почистили, поставили дренаж коренной зуб удалили. Врач направила на КТ. КТ я сразу делать не стал. Совсем недавно, на прошлой неделе опять вскочил флюс на нёбе, в районе корней этого переднего зуба. Пошел делать КТ. По КТ врач сказал, что все из за некачественной пломбы и образовавшейся пустоты в канале или десне, не помню.. Это стало очагом воспаления. В результате чего образовалась киста диам. ~2см.Врач сказала, что киста рассосала кость, но кость можно восстановить если зуб не удалять, а перелечить - убрать очаг воспаления и пролечить зуб. А киста пропадёт если зарастёт костью. А удаление будет выглядеть не эстетично и потом дорогостоящее заполнение пустоты и установка импланта. У меня такие вопросы: 1. как будет выглядеть не эстетично если я зуб удалю и образуется полость из-за кисты ? Внешне ? То есть с виду на лице будет вмятина или внутри в полости рта ? 2. может ли киста играть роль каркаса для образования кости ? Читал, что кость восстановиться может, но ей нужен каркас. 3. Если я зуб пролечу, какова вероятность, что именно с этим зубом всё повторится ? Останется ли он таким же проблемным после лечения если всё удачно пролечится или он станет на ровне с остальными зубами ? 4. что всё таки делать, удалять или лечить и почему ? Сейчас у меня флюс так же остался, пью амоксиклав, прикладываю левомеколь. Болей нет но при надавливании в нёбе на это место чувствуется неприятное ощущение и шишечка от флюса осталась.Вот сижу думаю что дальше делать. Снимок прилагается Просьба ответить на все вопросы ! Благодарю. p.s. интересно пчму врач предложила сразу перелечивать зуб без прореза флюса. Ведь до того что бы удалить зуб сказали надо сначала почистить полость с флюсом, а потом удалять что б не было заражения. А тут сказали всё через канал уйдет.. Изменено 30 сентября, 2017 пользователем WhiteJaguar Ссылка на комментарий
shishok Опубликовано 30 сентября, 2017 Поделиться Опубликовано 30 сентября, 2017 Лечить,вероятнее всего,придется два зуба(21 и 22). Ссылка на комментарий
St. Опубликовано 30 сентября, 2017 Поделиться Опубликовано 30 сентября, 2017 1. как будет выглядеть не эстетично если я зуб удалю и образуется полость из-за кисты ? Внешне ? То есть с виду на лице будет вмятина или внутри в полости рта ? На лице ничего не изменится, а во рту при улыбке в области этого зуба может быть "яма" на десне. 2. может ли киста играть роль каркаса для образования кости ? Читал, что кость восстановиться может, но ей нужен каркас. Вы путаете теплое с мягким. "Киста" это груб говоря пустота, если убрать то что провоцирует воспаление организм сам ее может заместить костью. 3. Если я зуб пролечу, какова вероятность, что именно с этим зубом всё повторится ? Останется ли он таким же проблемным после лечения если всё удачно пролечится или он станет на ровне с остальными зубами ? Если все получится успешно то будет таким же как другие зубы. . что всё таки делать, удалять или лечить и почему ? Решение в любом остается за Вами, оба варианта имеют право на существование, но я за лечение. как минимум с этого стоит начать. и да, возможно соседний зуб тоже потребует лечение каналов 1 Ссылка на комментарий
DmitrySH Опубликовано 30 сентября, 2017 Поделиться Опубликовано 30 сентября, 2017 4. что всё таки делать, удалять или лечить и почему ? Лечить, нет поводов для удаления. 2 Ссылка на комментарий
IvanK Опубликовано 2 октября, 2017 Поделиться Опубликовано 2 октября, 2017 +1 за лечение Ссылка на комментарий
WhiteJaguar Опубликовано 3 октября, 2017 Автор Поделиться Опубликовано 3 октября, 2017 Всем большое спасибо за ответы !Но у меня ещё есть несколько вопросов. Скажите пожалуйста, какова адекватная стоимость такого "перелечивания" старого канала у одного зуба в сибирском регионе ? Так же интересует какова ~ стоимость лечебного материала ?И как я могу узнать какой именно материал будут использовать при лечении корня и в конечном заполнении канала ? Ссылка на комментарий
shishok Опубликовано 3 октября, 2017 Поделиться Опубликовано 3 октября, 2017 Вопросы ценообразования на форуме не обсуждаются.А по поводу пломбировочного материала в канале-выбирайте не материал,а врача,которому Вы доверяете. 3 Ссылка на комментарий
WhiteJaguar Опубликовано 9 октября, 2017 Автор Поделиться Опубликовано 9 октября, 2017 Вопросы ценообразования на форуме не обсуждаются.А по поводу пломбировочного материала в канале-выбирайте не материал,а врача,которому Вы доверяете.К сожалению, а может быть и к счастью, я никому особо не доверяю, собственно поэтому тут и пишу ) И всё таки, скажите есть ли такая практика, что б пациенты интересовались названием, производителем материала ? Например, мне почему то кажется, что некоторые врачи неохотно говорят об анестезии это из личной практики. Особенно там где она бесплатна. Так же я слышал, что врач обязан давать\показывать пустую ампулу от анестетика.Просто из статьи на этом же сайте, в "записках доброго стоматолога" я понял, что от материала зависит многое. И вполне мой случай, как раз из относится именно к этому случаю с плохим материалом. Развейте пожалуйста или подтвердите эти мифы и скажите пожалуйста, обязан ли врач, говорить рассказать об используемом материале ? Ссылка на комментарий
red_butler Опубликовано 10 октября, 2017 Поделиться Опубликовано 10 октября, 2017 К сожалению, а может быть и к счастью, я никому особо не доверяю, собственно поэтому тут и пишу ) Трудно Вам будет... И всё таки, скажите есть ли такая практика, что б пациенты интересовались названием, производителем материала ? Редко, но спрашивают. Так же я слышал, что врач обязан давать\показывать пустую ампулу от анестетика. нет Развейте пожалуйста или подтвердите эти мифы и скажите пожалуйста, обязан ли врач, говорить рассказать об используемом материале ? После заключения договора, по Вашей просьбе будет составлен предварительный план лечения, в котором в частности можно расписать и используемые материалы. P. s. а вообще не о том Вы думаете.... 2 Ссылка на комментарий
WhiteJaguar Опубликовано 10 октября, 2017 Автор Поделиться Опубликовано 10 октября, 2017 После заключения договора, по Вашей просьбе будет составлен предварительный план лечения, в котором в частности можно расписать и используемые материалы. А до заключения договора я могу узнать ? P. s. а вообще не о том Вы думаете.... Подскажите о чём надо, если не трудно ? Ссылка на комментарий
red_butler Опубликовано 10 октября, 2017 Поделиться Опубликовано 10 октября, 2017 Подскажите о чём надо, если не трудно ? Врача искать, а не материалы.... Ссылка на комментарий
WhiteJaguar Опубликовано 10 октября, 2017 Автор Поделиться Опубликовано 10 октября, 2017 Врача искать, а не материалы.... Так как же его найти ? Если на собственном опыте, а эти поиски могут быть чреваты. Материалы хоть какую -то уверенность дают )Если уж зашла речь как по вашему от чего у меня образовалась полость ? Некачественная работа или материал ? Ссылка на комментарий
DmitrySH Опубликовано 10 октября, 2017 Поделиться Опубликовано 10 октября, 2017 Материалы хоть какую -то уверенность дают Очень глубоко заблуждаетесь. Уверенность дает только репутация врача. 3 Ссылка на комментарий
DmitrySH Опубликовано 10 октября, 2017 Поделиться Опубликовано 10 октября, 2017 Если уж зашла речь как по вашему от чего у меня образовалась полость ? Некачественная работа или материал ? Могут быть разные причины.. Гибель пульпы в зубе 22 из-за глубокой кариозной полости, нарушение герметизма корневого канала в зубе 21 и тп. Снимок 2010 года было бы интересно посмотреть. 1 Ссылка на комментарий
Рекомендуемые сообщения
Для публикации сообщений создайте учётную запись или авторизуйтесь
Вы должны быть пользователем, чтобы оставить комментарий
Создать аккаунт
Зарегистрируйте новый аккаунт в нашем сообществе. Это очень просто!
Регистрация нового пользователяВойти
Уже есть аккаунт? Войти в систему.
Войти