НДА Опубликовано 28 сентября, 2017 Поделиться Опубликовано 28 сентября, 2017 (изменено) Здравствуйте. Вчера случайно заметил вот такую шишку на верхней десне. Что это? Никак не беспокоит. Стамотолог сказал эпулис уздечки верхней губы (он находится над зубом, который я обломил 30 лет назад). Отправил к хирургу. Я пришел, он мне говорит:" А ты что только увидел и сразу прибежал. Он же тебе не мешает. " Смотрел и говорит можно не удалять пока, ну если хочешь, то удалим планово на той неделе. Что мне делать? Вдруг не правильно удалят. Вспомнил, полгода назад камень с этих зубов удаляли. Изменено 28 сентября, 2017 пользователем НДА Ссылка на комментарий
dok1 Опубликовано 28 сентября, 2017 Поделиться Опубликовано 28 сентября, 2017 Вам бы впринципе ртом заняться. Есть проблемы посерьёзнее у вас. Ссылка на комментарий
IvanK Опубликовано 2 октября, 2017 Поделиться Опубликовано 2 октября, 2017 покажите панорамный снимок (ОПТГ) 1 Ссылка на комментарий
НДА Опубликовано 3 октября, 2017 Автор Поделиться Опубликовано 3 октября, 2017 Я был у стамотолога, говорит все нормально. Ссылка на комментарий
НДА Опубликовано 3 октября, 2017 Автор Поделиться Опубликовано 3 октября, 2017 Что такое панорамный снимок? Ссылка на комментарий
НДА Опубликовано 3 октября, 2017 Автор Поделиться Опубликовано 3 октября, 2017 Я знаю, что у меня зубы кривые. И все. Ссылка на комментарий
НДА Опубликовано 4 октября, 2017 Автор Поделиться Опубликовано 4 октября, 2017 Удали в ЧЛХ ресбольницы. Ссылка на комментарий
IvanK Опубликовано 4 октября, 2017 Поделиться Опубликовано 4 октября, 2017 Я был у стамотолога, говорит все нормально.если так, то к чему тема?...Вас же беспокоит? Что такое панорамный снимок?это вид рентгенологического исследования я бы советовал сделать кт (компьютерную томограмму) Я знаю, что у меня зубы кривые. И все.Ваша правда Удали в ЧЛХ ресбольницы.??? Ссылка на комментарий
red_butler Опубликовано 6 октября, 2017 Поделиться Опубликовано 6 октября, 2017 Удали в ЧЛХ ресбольницы.что удалили??? Ссылка на комментарий
НДА Опубликовано 28 февраля, 2018 Автор Поделиться Опубликовано 28 февраля, 2018 Здравствуйте. Эпулис удалили хирург стоматолог. Он хотел выкинуть этот кусочек. Я настоял на гистологии. Хирург положил его в скляночку и чем то залил, и отдал его мне. Я отдал врачу из нашей ведомственной поликлиники. Он его забрал и отвез на гистологию. Сказал, если всё нормально беспокоить не будем.А какие ещё проблемы у меня во рту? Я уже в нашем городе в 4 стоматологиях был говорят всё нормально. Подскажите пожалуйста. Ссылка на комментарий
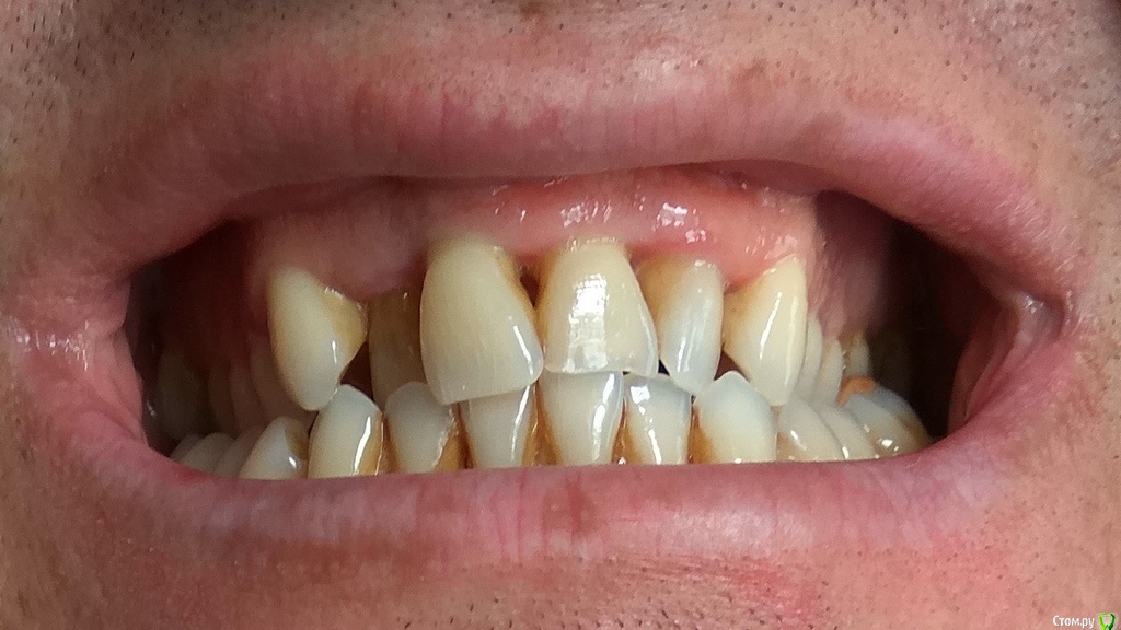
НДА Опубликовано 28 февраля, 2018 Автор Поделиться Опубликовано 28 февраля, 2018 Вот такая картина. В принципе, ничего не беспокоит. С чего начинать? Ссылка на комментарий
red_butler Опубликовано 28 февраля, 2018 Поделиться Опубликовано 28 февраля, 2018 Начинайте с профессиональной гигиены Ссылка на комментарий
НДА Опубликовано 28 февраля, 2018 Автор Поделиться Опубликовано 28 февраля, 2018 У меня сейчас на передних нижних зубах камень. Так вот когда его уберут между зубами появятся дырки. Как потом это убирать? Ссылка на комментарий
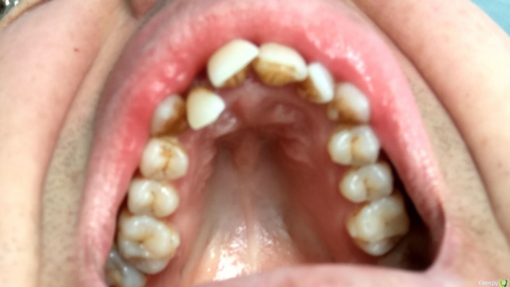
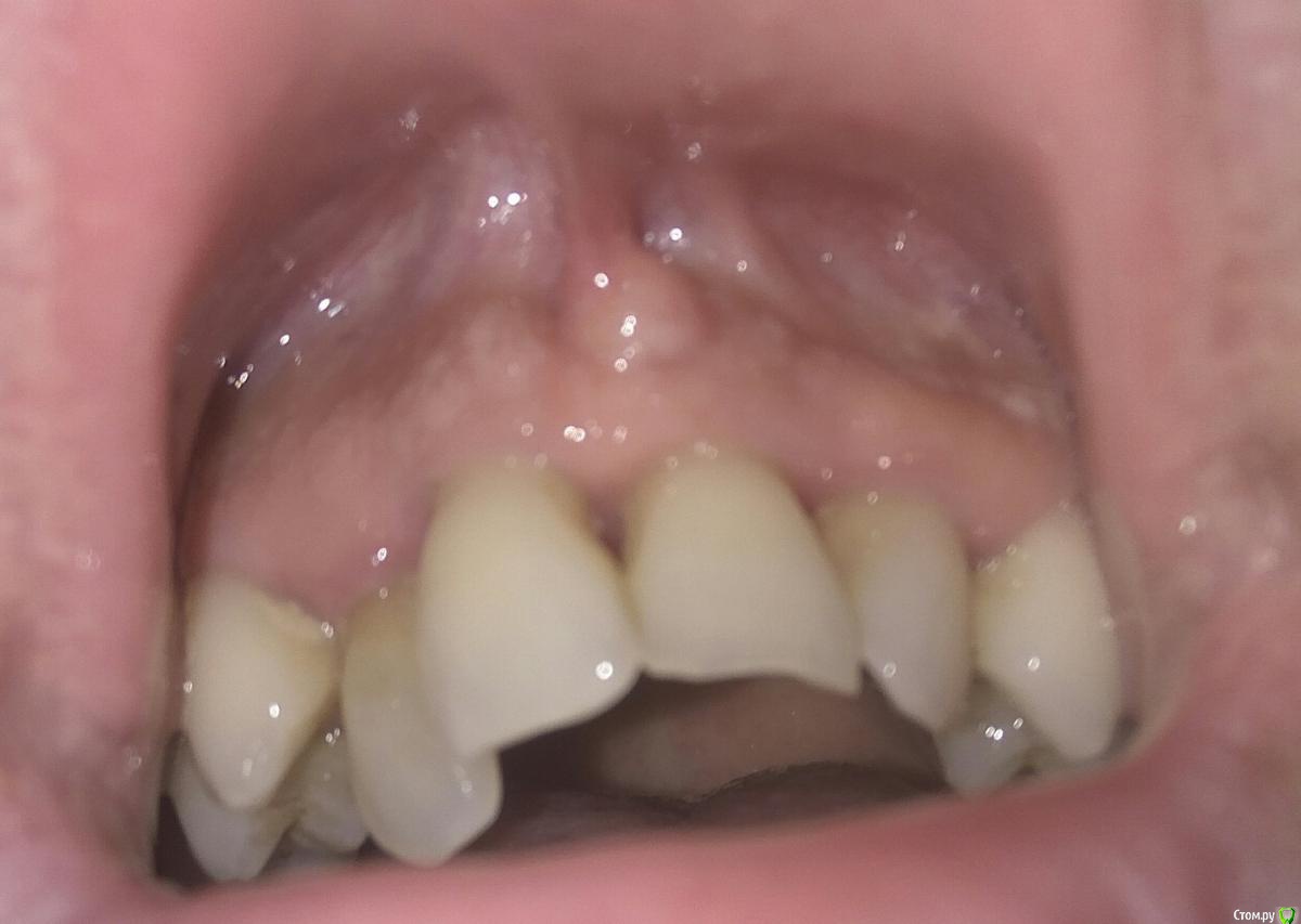
НДА Опубликовано 5 апреля, 2018 Автор Поделиться Опубликовано 5 апреля, 2018 Здравствуйте. А это что такое? Появилось до эпулиса. Был у трёх стамотологом, потом отправили к парадонтолог, он у нас один. Она почистила зубы и прописала АЕвит 15 дней по 2 раза, Метрогил Дента гель 7 дней по 2 раза и полоскать Хлоргексидином. Сказала начинается парадонтит. В марте был у парадонтолог в Красноярске, сказала, что это, скорее всего давно, такое строение слизистой рта. Ссылка на комментарий
НДА Опубликовано 5 апреля, 2018 Автор Поделиться Опубликовано 5 апреля, 2018 (изменено) В Красноярске зубы почистили от камня, осталось только удалить кариес на нижней шестёрке. Никто в радиусе 800 км не может сказать что это и от чего (пупырышки на верхней десне). Стамотолог нашей ведомственной поликлиники только пожимает плечами. Изменено 5 апреля, 2018 пользователем НДА Ссылка на комментарий
red_butler Опубликовано 5 апреля, 2018 Поделиться Опубликовано 5 апреля, 2018 Похоже на экзостозы Ссылка на комментарий
НДА Опубликовано 5 апреля, 2018 Автор Поделиться Опубликовано 5 апреля, 2018 (изменено) Это что такое? Что делать? В Красноярске парадонтолог сказала, что у меня скученность зубов и у передних большая чувствительность. Чищу зубы пастой Rocs. Изменено 5 апреля, 2018 пользователем НДА Ссылка на комментарий
red_butler Опубликовано 5 апреля, 2018 Поделиться Опубликовано 5 апреля, 2018 Это что такое? строение челюсти Что делать? ничего Ссылка на комментарий
НДА Опубликовано 28 мая, 2018 Автор Поделиться Опубликовано 28 мая, 2018 Здравствуйте. Сегодня был у стамотологом. Хороший специалист. Долго смотрел верхнюю десну. Сказал, что это не лейкоплакия и скорее всего не экзостозы. Сфотографировал, сказал отправит занокомым в институт. Предположил, что это такое строение десны. В разговоре употребил термин онкологическая настороженность. Как можно определить диагноз затрудняется ответить. Ссылка на комментарий
НДА Опубликовано 28 мая, 2018 Автор Поделиться Опубликовано 28 мая, 2018 (изменено) Сегодня на диспансеризации сдал анализы крови (ОАК, биохим, анализ мочи) всё в норме. Изменено 28 мая, 2018 пользователем НДА Ссылка на комментарий
НДА Опубликовано 28 мая, 2018 Автор Поделиться Опубликовано 28 мая, 2018 Фотография Ссылка на комментарий
НДА Опубликовано 28 мая, 2018 Автор Поделиться Опубликовано 28 мая, 2018 Фотография Ссылка на комментарий
НДА Опубликовано 28 мая, 2018 Автор Поделиться Опубликовано 28 мая, 2018 Фотография Ссылка на комментарий
НДА Опубликовано 1 июня, 2018 Автор Поделиться Опубликовано 1 июня, 2018 Скажите пожалуйста куда мне с этим обратиться. Или оставить как есть. Ссылка на комментарий
red_butler Опубликовано 1 июня, 2018 Поделиться Опубликовано 1 июня, 2018 Или оставить как есть. ну наконец то Ссылка на комментарий
Рекомендуемые сообщения
Для публикации сообщений создайте учётную запись или авторизуйтесь
Вы должны быть пользователем, чтобы оставить комментарий
Создать аккаунт
Зарегистрируйте новый аккаунт в нашем сообществе. Это очень просто!
Регистрация нового пользователяВойти
Уже есть аккаунт? Войти в систему.
Войти