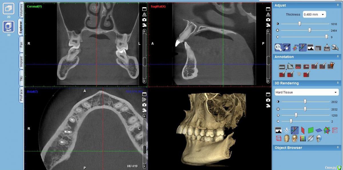
Volha Опубликовано 27 сентября, 2017 Поделиться Опубликовано 27 сентября, 2017 Посоветуйте, что делать с зубами. Здравствуйте!Нужна помощь. После лечения пульпита у премоляра, появился гнойник на десне (с внутренней стороны). На последнем сделанном снимке, помимо имеющегося воспаления, видно воспаление у корней 47 зуба. Врач предположил, что это все может быть трещина корня и нужно перелечивать все каналы под микроскопом. При этом нет никаких гарантий что это поможет. Есть вероятность того, что после всего проделанного лечения эти зубы придется удалять. Может есть другой вариант как это исправить? Судя по ценам, как я понимаю, выдернуть эти зубы и вставить импланты выйдет не слишком дороже лечения. P.s Посмотрев снимки, увидела что у меня действительно "убогий прикус" =). Буду признательна советам как это можно исправить. Ссылка на комментарий
DmitrySH Опубликовано 28 сентября, 2017 Поделиться Опубликовано 28 сентября, 2017 видно воспаление у корней 47 зуба. Нет. Только 45,46 Ссылка на комментарий
Volha Опубликовано 28 сентября, 2017 Автор Поделиться Опубликовано 28 сентября, 2017 Нет. Только 45,46 Не исключаю, что могла перепутать. Два рядом стоящих зуба, маляр и премоляр. Ссылка на комментарий
Рекомендуемые сообщения
Для публикации сообщений создайте учётную запись или авторизуйтесь
Вы должны быть пользователем, чтобы оставить комментарий
Создать аккаунт
Зарегистрируйте новый аккаунт в нашем сообществе. Это очень просто!
Регистрация нового пользователяВойти
Уже есть аккаунт? Войти в систему.
Войти