dr.Dre Опубликовано 25 сентября, 2017 Поделиться Опубликовано 25 сентября, 2017 Добрый день коллеги.Такая ситуация пациентка 50 лет 3 месяца тому поставили мк,все было нормально.Теперь обнаружил в промежуточной части с обеих сторон десна припухла,рыхлая .Перкусия зубов отрицательная ,что ето может быть? Ссылка на комментарий
gum Опубликовано 25 сентября, 2017 Поделиться Опубликовано 25 сентября, 2017 Сделайте снимки, лучше 3Д и пару фото в полости рта. Ссылка на комментарий
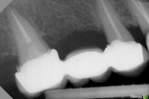
dr.Dre Опубликовано 25 сентября, 2017 Автор Поделиться Опубликовано 25 сентября, 2017 Правая сторона пока только таие данные имею Ссылка на комментарий
dok1 Опубликовано 25 сентября, 2017 Поделиться Опубликовано 25 сентября, 2017 Ну ступени... чё. 2 Ссылка на комментарий
dr.Dre Опубликовано 25 сентября, 2017 Автор Поделиться Опубликовано 25 сентября, 2017 Ну ступени... чё.? Ссылка на комментарий
dok1 Опубликовано 25 сентября, 2017 Поделиться Опубликовано 25 сентября, 2017 Стык коронки с уступом. Поднутрения ну и дальше классически. Ссылка на комментарий
dr.Dre Опубликовано 25 сентября, 2017 Автор Поделиться Опубликовано 25 сентября, 2017 Стык коронки с уступом. Поднутрения ну и дальше классически.что мне делать ? Ссылка на комментарий
dok1 Опубликовано 25 сентября, 2017 Поделиться Опубликовано 25 сентября, 2017 По идее переделка. Ссылка на комментарий
bakagaidzin Опубликовано 25 сентября, 2017 Поделиться Опубликовано 25 сентября, 2017 нависающие края и хреновое прилегание судя по всему 2 Ссылка на комментарий
chervoncevdaniil Опубликовано 25 сентября, 2017 Поделиться Опубликовано 25 сентября, 2017 Преп с уступом был?почему такой оверконтур? Ссылка на комментарий
krokomot Опубликовано 25 сентября, 2017 Поделиться Опубликовано 25 сентября, 2017 Шляпа, переделывать. Ссылка на комментарий
StomV Опубликовано 28 сентября, 2017 Поделиться Опубликовано 28 сентября, 2017 И еще ко всему плюсом уступ на пломбе почти вещде,возмодно подтекание и отсюда воспаление. Ссылка на комментарий
Audutor Опубликовано 2 октября, 2017 Поделиться Опубликовано 2 октября, 2017 Добрый день коллеги.Такая ситуация пациентка 50 лет 3 месяца тому поставили мк,все было нормально.Теперь обнаружил в промежуточной части с обеих сторон десна припухла,рыхлая .Перкусия зубов отрицательная ,что ето может быть?Почитайты азы несьемного протезирования, шиленбурга к примеру... Ссылка на комментарий
Рекомендуемые сообщения
Для публикации сообщений создайте учётную запись или авторизуйтесь
Вы должны быть пользователем, чтобы оставить комментарий
Создать аккаунт
Зарегистрируйте новый аккаунт в нашем сообществе. Это очень просто!
Регистрация нового пользователяВойти
Уже есть аккаунт? Войти в систему.
Войти