Перейти к содержанию
Стоматология для всех

Подскажите по поводу плана лечения 5


kamranchick

Рекомендуемые сообщения

Господа, прошу помощи...

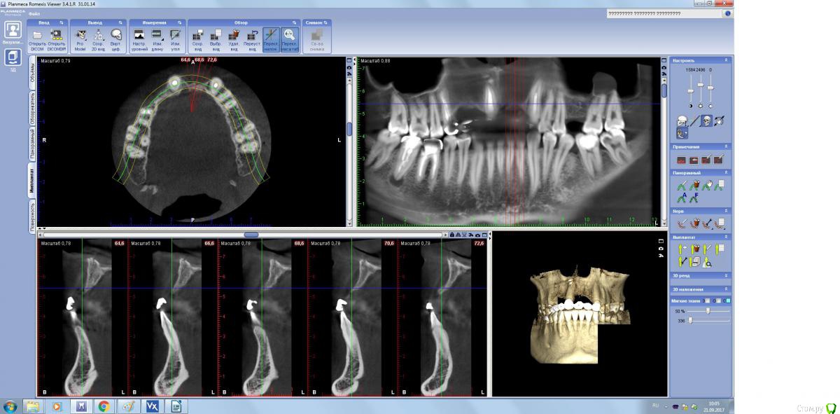
Пришел парнишка на имплантацию, но как видите ряд проблем присутствуют.

Хочу восстановить ламинатами... и есть ряд вопросов.

1. Можно ли восстановить сначала один сегмент а потом второй сегмент, почему спрашиваю, если идти двух этапно, какой дизайн разреза должен быть во второй раз и как мобилизоваться? 

2.Надо ли перекрывать ССТ?

3. Можно ли пока оставить зубы? они конечно негодные, но хоть как то помогут мне в пластике...

Благослови Вас Господь))

post-19251-0-99781400-1505974734_thumb.jpg

post-19251-0-48696000-1505974738_thumb.jpg

post-19251-0-67940300-1505974740_thumb.jpg

post-19251-0-04163400-1505974743_thumb.jpg

post-19251-0-75000300-1505974745_thumb.jpg

post-19251-0-37202800-1505974748_thumb.jpg

post-19251-0-01055400-1505974751_thumb.jpg

post-19251-0-69271200-1505974753_thumb.jpg

Ссылка на комментарий

1ый сегмент не очень удобен для фиксации пластины. Проще будет сосидж и перекрыть Вип ст. Зубы (11,23)лучше оставить. А какой дизайн разреза будет в первый раз?

Ссылка на комментарий

1ый сегмент не очень удобен для фиксации пластины. Проще будет сосидж и перекрыть Вип ст. Зубы (11,23)лучше оставить. А какой дизайн разреза будет в первый раз?

Не верю я особо в сосидж то во фронте, в цитопласт верю, но его не успеют привезти.. а дизайн разреза стандартная трапеция.

post-19251-0-23930800-1506056240_thumb.jpg

Ссылка на комментарий

Для публикации сообщений создайте учётную запись или авторизуйтесь

Вы должны быть пользователем, чтобы оставить комментарий

Создать аккаунт

Зарегистрируйте новый аккаунт в нашем сообществе. Это очень просто!

Регистрация нового пользователя

Войти

Уже есть аккаунт? Войти в систему.

Войти
×
×
  • Создать...
Вверх